Паразитарная киста печени: что это
Печеночная киста, вызванная паразитами, представляет собой аномалию в ткани печени, возникающую при проникновении паразитов в этот орган. Она проявляется образованием полостей различного размера в ткани печени.
Киста может возникать внутри органа или на его поверхности. Аномальные полости заполняются жидкостью и окружены стенками, ограничивающими их со всех сторон.
Наиболее часто встречающимися видами паразитических кист являются:
- Эхинококковые – возникают при заражении человека личиночной формой ленточного червя эхинококка (Echinococcus granulosus), небольшого паразита размером до 5 мм в длину и 0,7 мм в ширину.
- Альвеококковые – развиваются при попадании в организм личинок гельминта альвеококка (Echinococcus multilocularis). По размеру он меньше эхинококка, его длина составляет около 2,2 мм.
Пузырьковая образование, вызванное эхинококками, чаще всего представляет собой отдельный пузырь, содержащий оболочки и жидкость, в которой плавают паразитарные головки, но также может быть образовано несколько пузырьков. При увеличении размеров такая киста может оказывать давление на окружающие печень органы.
Echinococcus granulosus
Альвеококковая формация представляет собой плотный узел, состоящий из волокнистой (фиброзной) ткани и тесно прижатых друг к другу маленьких пузырьков, которые объединяются между собой. В каждом из этих пузырьков содержится от 1 до 3 зародышей червя.
Echinococcus multilocularis
По мере своего развития узел проявляет довольно агрессивное поведение. Он не сжимает и не отталкивает окружающие ткани, а проникает в них подобно злокачественной опухоли. Увеличиваясь в размерах, патологический узел врастает в правое легкое, диафрагму, поджелудочную железу.
Маленькие пузырьки с гельминтами, отделившиеся от первоначального узла и попавшие в кровеносные сосуды, могут оторваться. После этого они перемещаются вместе с кровью или лимфой в другие органы, где способствуют развитию вторичного паразитарного узла. Этот процесс известен как «экстранепеченочное метастазирование».
Печеночная киста, вызванная паразитами, может серьезно навредить здоровью и даже стать причиной смерти. Поэтому необходимо немедленно начать лечение.
Симптомы
Характерной чертой паразитической кисты является медленное увеличение размеров и развитие. В течение продолжительного периода времени, иногда даже десятилетиями, она может проявляться без каких-либо симптомов. Иногда пациент узнает о ее присутствии во время проведения УЗИ по поводу совершенно другого заболевания.
Маленькие отдельные «кисточки» обычно не проявляют себя. Признаки становятся заметными, когда размер образования достигает 6-8 сантиметров, а также при поражении объема ткани печени более чем на 20%.
В настоящее время наблюдаются следующие симптомы заболевания:
- Ощущение жжения в области груди.
- Дискомфорт в верхней части живота.
- Проблемы с пищеварением.
- Неприятное ощущение тяжести и дискомфорта в верхней части живота, справа под ребрами.
- Неприятное ощущение в желудке.
- Рвотные позывы.
- Неприятный привкус во рту.
С появлением прогрессирующей болезни появляются следующие признаки:
- Уменьшение желания есть вплоть до полного отторжения пищи.
- Нарушение процесса пищеварения (упорная диарея).
- Постоянное ощущение усталости.
- Повышение температуры (иногда).
- Мелкая сыпь на коже и зуд.
- Увеличение печени.
- Вздутие живота.
- Кахексия (истощение).
- Изменение цвета мочи и кала.
Эти признаки являются типичными как для кистозных образований, вызванных эхинококками, так и для узлов, связанных с альвеококками.
Тем не менее, поражение холаса альвеококком сопровождается характерным признаком – постоянной желтухой, которая не исчезает на протяжении длительного времени, иногда даже годов. Это происходит из-за прорастания опухоли в желчные протоки. Кроме того, у более чем у половины пациентов наблюдается увеличение селезенки (спленомегалия).
Если возникнет даже незначительное на первый взгляд недомогание, важно немедленно обратиться к специалисту для получения консультации и профессионального обследования.
Пузырчатые образования в печени, вызванные паразитами, представляют опасность из-за возможных осложнений, иногда с трагическим результатом.
Возможные осложнения могут иметь различные проявления:
- Развитие гнойного процесса в кисте с последующим отравлением организма.
- Разрыв оболочки опухоли с выходом ее содержимого в брюшную полость, что может привести к распространению возбудителя заболевания по всему организму – это может вызвать сильную аллергическую реакцию, включая анафилактический шок.
- Развитие недостаточности функций печени.
Эти условия требуют немедленного хирургического вмешательства.
Причины
Появление паразитической кисты в печени связано с тем, что личинки гельминтов, таких как эхинококк и альвеококк, проникают в организм человека и развиваются там.
Эти паразитические черви относятся к биогельминтам. Они требуют наличия промежуточного хозяина, в организме которого обитают их личиночные формы, а также дефинитивного (окончательного) хозяина, в котором зрелые особи осуществляют жизненный цикл и размножение.
Хищники играют ключевую роль в жизненном цикле гельминтов, являясь их основными хозяевами и распространителями. Собаки занимают первое место по частоте заражения, в то время как домашние кошки реже подвергаются этому риску. Кроме того, зрелые гельминты обитают в кишечнике волков, шакалов, рысей и лисиц.
Сельскохозяйственные животные, такие как овцы, коровы, козы и свиньи, а также грызуны, выступают в роли промежуточных хозяев. Иногда промежуточным звеном может быть и человек.
В кишечнике основного хозяина может обитать огромное количество половозрелых паразитов. Тело гельминтов состоит из проглоттид (члеников), и самый зрелый из них содержит от 600 до 800 яиц.
Вместе с отходами собак или других хищников созревшие сегменты выделяются в окружающую среду. Они попадают на растения, в воду и почву. Через определенное время сегменты раскалываются, распространяя сотни вредоносных яиц.
Кстати, проглоттиды очень подвижные и способны самостоятельно выбираться из заднего прохода, оставляя яйца глистов на шерсти животного. В результате собака или другие животные могут распространить их по всему дому.
Травоядные животные вместе с растениями и водой проглатывают яйца червей. Освободившись от яйцевой оболочки зародыши «пробуравливают» стенки кишечника и с кровотоком разносятся по различным органам. Большая часть личинок оседает в холасе и легких. Затем начинается формирование эхинококкового пузыря. Этот процесс длится несколько лет.
Паразиты передаются от человека к человеку вот таким образом:
- Если у вас есть привычка употреблять недоваренное или недожаренное мясо, а также недостаточно вымытые овощи, фрукты, зелень или ягоды.
- Если вы любите собирать ягоды и растения в лесу или на поляне и есть их в сыром виде.
- Если вы предпочитаете пить воду из природных водоемов.
- Если вы не следите за гигиеной после контакта с собакой (не моете руки своевременно).
Возможность заражения этими видами паразитических червей значительно увеличивается у людей, живущих в районах с развитым животноводством, особенно разведением овец, поскольку стада часто охраняются большим количеством собак.
Сотрудники звероферм, охотники, любители приключений на природе, заводчики собак, работники скотобойни — все они относятся к группе риска.
Диагностика
Для точного установления диагноза и различения паразитарной кисты от обычной требуется провести ряд лабораторных и инструментальных методов исследования.
При проведении лабораторного анализа пациенту предписывают:
- Проведение анализа крови на общие показатели (увеличенное содержание эозинофилов и скорость оседания эритроцитов свидетельствуют о защитной реакции организма на наличие чужеродных белков).
- Проведение биохимического анализа крови (повышенный уровень фермента аланинаминотрансферазы (АЛТ) указывает на поражение тканей печени).
- Иммуноферментный анализ (ИФА) (используется для обнаружения антител к возбудителю заболевания в крови).
- Проба Касони (диагностическое исследование аллергической реакции, проводимое методом внутрикожного тестирования).
Методы обследования пациента с использованием инструментов включают в себя:
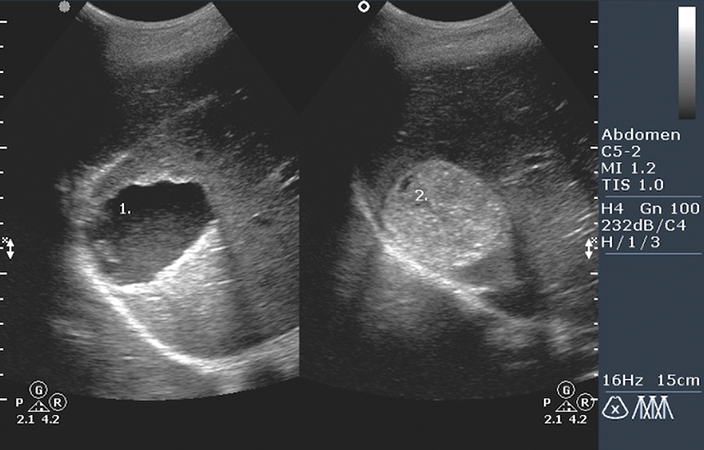
- Ультразвуковое исследование (УЗИ) – используется для обнаружения различных образований, определения их численности и размеров.
- Рентгеновское исследование полости живота – помогает определить изменения контуров живота и выявить смещение диафрагмы.
- Компьютерная томография (КТ) – позволяет обнаружить кисты, определить их размеры и выявить изменения контуров печени.
- Магнитно-резонансная томография (МРТ) – используется для определения числа образований и их расположения в организме.
При подозрении на наличие паразитарной кисты не рекомендуется проводить диагностическую пункцию. Повреждение оболочки капсулы может привести к распространению личинок глистов в другие органы, что является серьезной угрозой.
Для выявления альвеококковой «опухоли» используются те же методы, что и для опухоли, вызванной эхинококком.
Лечение
После внимательного сбора анамнеза и проведения диагностических процедур, эксперты принимают решение о том, каким образом устранить патологию.
Лечение эхинококковой кистомы
Использование лекарственных препаратов для лечения заболевания возможно в начальной стадии развития, при условии, что размер опухоли не превышает 3 см и капсула еще не окостенела. В противном случае применение лекарств не приведет к желаемому эффекту.
В качестве лекарственного лечения пациенту прописывают следующие препараты:
- Препараты от паразитов (например, Альбендазол).
- Обезболивающие средства (как, например, Папаверин).
- Средства для защиты печени (например, Эссенциале, Гепабене).
- Препараты от тошноты (например, Мотинорм).
Для лечения применяют препарат альбендазол (Немозол) в количестве 400 мг на каждый килограмм веса, принимая 2 раза в день в течение одного месяца, сделав перерыв на 14 дней. После этого курс приема повторяется еще дважды с интервалом в две недели.
Витамины, иммуномодуляторы и строгая диета также назначаются пациенту в дополнение.
Во время проведения химиотерапии необходимо регулярно проверять уровень антител в крови пациента. Если они уменьшаются, это означает успешное завершение курса химиотерапии.
Если другие методы не помогают, то приходится прибегать к операции для удаления кисты.
Не существует универсального метода удаления. Объем хирургического вмешательства и способ доступа зависят от местоположения опухоли, ее размера и возможных осложнений.
Имеется несколько вариантов процедур:
- Экстракция эхинококков (проводится в большинстве случаев). Во время операции выполняется вскрытие кистозного пузыря с откачиванием его содержимого. Затем производится удаление герминативной и хитиновой оболочек. Фиброзная капсула остается нетронутой. Ее полость обрабатывается гермецидами (спиртом 96%, перекисью водорода 3%, глицерином 100%) с экспозицией в течение 15 минут. После этого производится зашивание фиброзной оболочки, а при наличии гнойного процесса – дренирование. Этот вид операции проводится у пациентов с кистами больших размеров, расположенными рядом с желчными протоками и крупными сосудами холаса.
- Расширенная (идеальная) экстракция эхинококков. В этом случае новообразование удаляется полностью, вместе с фиброзной оболочкой, вскрытие просвета не производится. Операция показана пациентам при наличии кисты маленького размера с краевым расположением.
- Резекция печени. Радикальная операция с минимальной вероятностью возникновения рецидивов. Производится при наличии множественных кистозных пузырей, локализующихся в тесной близости друг от друга, если процесс захватил долю холаса. Полное излечение от заболевания возможно при своевременной диагностике и оперативном вмешательстве.
Лечение альвеококковой опухоли
При обнаружении альвеококкоза в ранней стадии и при размере узла менее 3 см применяется консервативное лечение. Пациенту назначаются:
- Препараты против гельминтов (Немозол).
- Препараты для облегчения боли (Кеторол).
- Препараты для защиты печени (Эссенциале форте).
Для пациентов с весом менее 60 кг дозировка Немозола (Альбендазола) составляет 30 мг на каждый килограмм веса, в то время как для пациентов с весом более 60 кг принимается 800 мг. Препарат следует принимать дважды в день в течение 28 дней. Рекомендуется провести 3 курса лечения с интервалом в 14 дней между ними.
Если не наблюдается улучшения, то возникает необходимость обсудить возможность проведения оперативного вмешательства.
В процессе выполнения операции осуществляются следующие действия:
- Удаление опухоли в пределах здоровых тканей или частичная резекция и вылущивание.
- Экстирпация желчного пузыря вместе с опухолевидным образованием, если пузырь распластан на нем.
- Частичное удаление опухоли (в случае невозможности проведения радикальной операции, при прорастании в нижнюю полую вену и при больших размерах).
Для уничтожения оставшихся участков используются препараты против гельминтов, такие как Трипофлавин и Формалин.
Используют использование дренажа и процедуры промывания с противопаразитарными средствами для полостей, которые находятся в центре опухоли и не могут быть удалены.
Когда железа поражена в значительной степени, возникает необходимость рассмотреть пересадку этого органа как единственный способ спасти пациента.
После хирургического вмешательства пациент будет регулярно проходить обследования в течение всей жизни. Диагностические процедуры будут проводиться каждые полгода, что поможет выявить возможное возвращение заболевания или увеличение опухоли вовремя.
Профилактика
Строгое соблюдение правил гигиены является ключевым условием, чтобы избежать заражения организма опасными паразитами.
Меры профилактики включают в себя следующие рекомендации:
- Основательная тепловая обработка мясных продуктов.
- Промывание свежей проточной водой всех фруктов, ягод, овощей, зелени.
- Запрет кормления собак внутренностями сельскохозяйственных животных после убоя без тепловой обработки.
- Кипячение воды перед употреблением.
- Запрет использования для питья воды из естественных водоемов.
- Обязательное мытье рук перед приемом пищи, после посещения туалета и после каждого контакта с животными.
- Регулярная дегельминтизация домашних собак и кошек.
Соблюдение указанных правил поможет предотвратить заражение.
Частые вопросы
Какие симптомы могут указывать на наличие паразитарной кисты печени?
Симптомы паразитарной кисты печени могут включать боль в правом верхнем квадранте живота, увеличение размеров печени, желтуху, общую слабость и утомляемость.
Каковы причины возникновения паразитарной кисты печени?
Паразитарная киста печени обычно вызывается паразитом под названием эхинококк. Человек может заразиться, потребив пищу или воду, загрязненную яйцами паразита, либо контактируя с зараженными животными.
Как проводится лечение паразитарной кисты печени?
Лечение паразитарной кисты печени может включать хирургическое удаление кисты, применение противопаразитарных препаратов, а также пункцию и аспирацию кисты под контролем ультразвука.
Полезные советы
СОВЕТ №1
Обратитесь к врачу при появлении симптомов, таких как боль в правом верхнем квадранте живота, тошнота, рвота, увеличение живота и желтушность кожи, чтобы получить точное диагностирование и назначение лечения.
СОВЕТ №2
Следуйте рекомендациям врача относительно лечения паразитарной кисты печени, которые могут включать в себя прием противопаразитарных препаратов, хирургическое вмешательство или лечение с помощью радиочастотной абляции.
СОВЕТ №3
Избегайте употребления некачественной воды и пищи, особенно в регионах с высоким уровнем заболеваемости паразитарными инфекциями, чтобы предотвратить возможное заражение паразитами, вызывающими кисты печени.






