У детей молочный кариес развивается быстро, и он может повредить не только один зуб, но и соседние. Если родители не предпринимают никаких мер, это может привести к серьезным проблемам.
Кариес — чем он опасен
Многие пренебрегают заботой о молочных зубах, полагая, что они все равно выпадут со временем. Однако кариесная инфекция не только поражает твердую часть зуба, но и распространяется на мягкие ткани вокруг корня, что может привести к серьезным заболеваниям, таким как абсцесс, тромбофлебит, сепсис, менингит и тромбоз вен шеи и других сосудов. Почему у детей гниют молочные зубы? Когда ребенок переохлаждается или испытывает стресс, его иммунная система ослабевает, и в такие моменты кариозная инфекция может вызвать серьезные осложнения, такие как боли в ушах или отиты, гаймориты и насморк, ангина и расстройство желудочно-кишечного тракта. Чтобы обеспечить здоровье и нормальное развитие ребенка, необходимо незамедлительно обратиться к стоматологу и удалить поврежденный зуб. В противном случае, это может быть рассмотрено как преступление против детской жизни. Посмотрите на фотографии запущенных кариесом гнилых зубов в галерее данной статьи. Вы действительно хотите, чтобы ваш ребенок столкнулся с этим? Статистика показывает, что 12% детей до года уже имеют молочный кариес, а к пяти годам этому поражению подвергается уже 73% детей. Почему зубы начинают гнить — причины?
Отчего возникает молочный кариес
Ретроградный кариес, или гниение зубов изнутри, вызывается инфекцией, передаваемой от матери к ребенку. Бактерии, такие как стрептококковые микроорганизмы, могут попасть в ротовую полость ребенка через общие столовые приборы, поцелуи или облизывание детских ложек и сосок. Эти бактерии вызывают разрушение зубов. Особенно важно учитывать это, когда у детей начинают прорезываться зубки, так как в этом раннем возрасте они наиболее подвержены кариесогенным микроорганизмам. Однако наличие таких бактерий в слюне само по себе не означает, что зубы начнут разрушаться. Наследственность, гигиена ротовой полости, особенности слюны и привычки в режиме питания также играют роль. На практике установлено, что у детей молочный кариес может быть связан с регулярным сосанием бутылочки с содержащей сахар молочной смесью, соком или другой сладкой жидкостью. Бактерии питаются сахаром и углеводами, вырабатывая кислоты, которые разрушают зубную эмаль. Кариозное разрушение начинается под эмалевой поверхностью, затем охватывает эмаль, образуя полости. Если зубы ребенка начинают гнить, необходимо принять соответствующие меры.
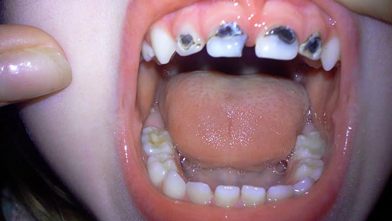
Как понять, что у малыша кариес
Первые признаки кариеса могут проявляться в виде пятен различного цвета на молочных передних зубах. Со временем эти пятна прогрессируют и становятся видимыми невооруженным глазом в виде кариозных полостей. Кариес может поражать зубные корни, смежные стенки и в более запущенных случаях охватывать большую часть зубной коронки.
Фотографии в галерее наглядно демонстрируют, как кариес проявляется в виде белых пятен на эмали, указывая на деминерализацию.
Молочные зубы имеют ямки, известные как фиссуры. Когда эти ямки поражаются кариесом, они приобретают черный или темно-коричневый цвет. Если не обратиться к стоматологу вовремя, кариес будет продолжать прогрессировать, разрушая эмаль в ямке и приводя к образованию полости в зубе. Фотографии на сайте наглядно показывают, как выглядят гнилые зубы у детей.
Итак, можно выделить несколько симптомов, по которым лучше всего распознавать кариес:
- Визуальные признаки в виде пятен.
- Болевые ощущения, которые возникают при употреблении горячей, холодной или сладкой пищи.
- Неприятный запах из ротовой полости, вызванный гниением пищевых частиц под воздействием кариесогенных микроорганизмов.
- Множественные очаги поражения, обусловленные задержкой пищи в области десен, межзубных щелей и фиссур, что способствует развитию бактерий и разрушению эмали нескольких соседних зубов.
Есть ли связь между молочным кариесом и грудным вскармливанием
«Бутылочный» кариес, также известный как кефирный или ясельный кариес, сосочный или кариес ночного вскармливания, это состояние, которое проявляется у детей от рождения до четырех лет. Стоматологи утверждают, что основная причина этого типа кариеса — кормление ребенка по ночам, независимо от того, получает ли он бутылочное молоко или сосет грудь матери. Оба варианта содержат молочный сахар в виде лактозы, что создает идеальную среду для размножения бактерий. Кариес «бутылочный» часто поражает передние зубы у корней, охватывая коронку по всей окружности, что объясняет его название «циркулярный кариес». Если у ребенка обнаружен циркулярный кариес, его необходимо немедленно лечить, так как это может привести к ломкости и отколам зубов, нарушению их нормального функционирования, проблемам с жеванием пищи и ухудшению общего состояния организма ребенка.
Современное лечение детского кариеса
Детские стоматологи используют разнообразные методы и технологии для лечения кариеса у детей, особенно в раннем возрасте, чтобы минимизировать травматичность процедуры и сохранить психическое благополучие ребенка. Если кариес находится на стадии белых пятен на эмали, то возможно его полное восстановление с помощью специальных гелей, которые назначает детский стоматолог. Одна из эффективных методик — система Айкон, которая включает обработку пористой поверхности эмали инфильтрантами. При наличии кариозной дырки в зубе, рекомендуется использовать специальные ручные инструменты для очистки полости и последующей обработки антисептиками и установки пломбы. Важно помнить, что гнилые зубы у ребенка всегда требуют лечения, чтобы избежать негативных последствий и проблем, таких как комплексы неполноценности. Поэтому родители должны своевременно обратиться к детскому стоматологу, чтобы обеспечить своему ребенку идеальные зубы и возможность широко улыбаться.






