При взгляде на свои зубы в зеркале, многие люди могут быть удивлены обнаружением пятен на их поверхности. Это явление может вызвать беспокойство у заботливых родителей, которые следят за здоровьем зубов своих детей. Здоровые зубы играют важную роль в нормальном пищеварении, общем здоровье и привлекательной улыбке, поэтому они требуют особого внимания каждого человека.
Причины
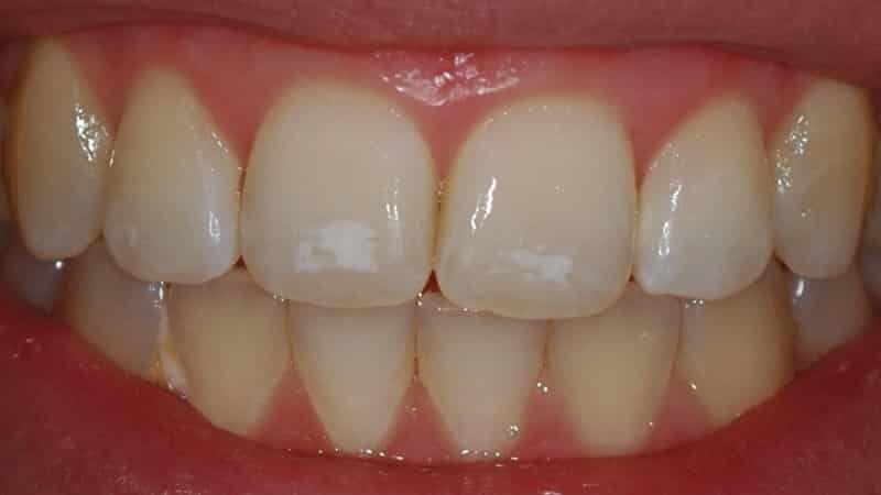
Многие люди не знают, как справиться с проблемой появления белых пятен на зубах. Они задаются вопросом, насколько опасна эта проблема и какие заболевания могут быть ее причиной. Белые пятна могут покрывать поверхность одного зуба или всего зубного ряда.
Точный диагноз возникновения белых пятен может быть установлен только стоматологом после осмотра полости рта. Дома можно предположить причину, осмотрев подозрительный зуб с помощью зеркала, подсушив его салфеткой и рассмотрев пятно.
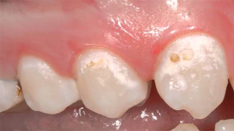
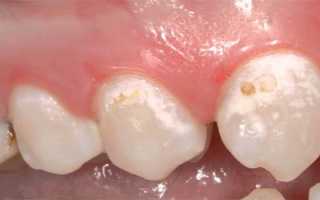
Многих пациентов стоматологической клиники интересует вопрос о причинах появления белых пятен на зубах у взрослых и о том, как с ними бороться. Одними из наиболее распространенных причин появления пятен считаются кариес, флюороз и гипоплазия.
При кариесе сначала появляются белые пятна. Лечение может проводиться без применения бормашины с помощью реминерализации и фторирования. При поражении эмали она становится мягкой и шершавой, и если не начать лечение, пятна становятся темнее и проникают вглубь, переходя в следующую стадию кариеса. Часто пятна образуются на пришеечной и боковой поверхностях.
Гипоплазия — это врожденный дефект, который может вызываться проблемами в период эмбрионального развития. Это состояние может быть обусловлено токсикозами во время беременности матери, а также родовыми травмами и инфекциями. Если у ребенка появляется белое пятно на зубе, причиной может быть нарушение обменных процессов или недоразвитие. В молочном периоде пятна обычно появляются на передних зубах ребенка. Имея гипоплазию, зубы становятся уязвимыми, поэтому требуются защитные процедуры с использованием специальных средств. Стоматолог может определить возраст нарушения эмали по месту положения пятен.
Недостаток фтора проявляется в образовании белых, меловидных пятен на поверхности эмали. Избыток фтора также может быть вредным для зубов, вызывая образование твердой ткани зуба. Это заболевание может иметь профессиональную или эндемическую форму. В первом случае оно передается через воздух, а во втором — через питьевую воду. Лечение включает применение специальных лекарств и диет с повышенным потреблением молочных продуктов, фруктов и овощей. Во время лечения рекомендуется пить только бутилированную воду.
При глубоком поражении белых пятен возможно лечение с использованием реставрационных стоматологических методов, а также протезирование с помощью виниров или металлокерамики.
Белые пятна на зубах у детей
Белые оттенки на зубах ребенка могут иметь желтоватый или коричневатый цвет. Они могут появляться из-за различных факторов, таких как развитие кариеса, недостаточная гигиена полости рта, гипоплазия, употребление кислотной пищи, системные заболевания, травмы зубов, насыщение организма фтором и различные отклонения в развитии ребенка. Гипоплазия может проявляться в виде полос, затемнений или поражений одного или нескольких зубов. Ортодонтическое лечение также может быть причиной поражений, когда скобы предотвращают контакт зубной части с слюной, что препятствует минерализации. Важно обратиться к стоматологу, чтобы установить причину и своевременно устранить проблему. Молочные зубы с белыми пятнами также следует сохранить до появления постоянных зубов. Диагноз может быть сложным, но опытный стоматолог может определить время протекания патологии и факторы раздражения. Также важно уделить внимание иммунной системе ребенка. Появление белых пятен после инфекционных заболеваний, перенесенных зимой, наблюдается у многих детей. Поэтому рекомендуется проводить закаливающие процедуры, заниматься спортом и проводить время на свежем воздухе. Стоматолог учитывает информацию о болезнях матери во время беременности при диагностировании белых пятен на молочных зубах ребенка.
Процедура лечения и удаления белых пятен
Борьба с белыми пятнами на зубах: эффективные методы лечения
Одним из распространенных способов избавления от белых пятен на зубах является применение фтора местного действия. Если пятна появились из-за начального кариеса, стоматологи рекомендуют использовать пасту с кислотой и абразивными частичками для их удаления. Затем пятна покрываются специальным средством и наносится фторовый гель.
При появлении пятен из-за недоразвитой эмали, проводится процедура реминерализации. Она способствует восстановлению минеральных компонентов и плотности эмали. Для этого используется впитывающее средство с высоким содержанием микроэлементов, которым покрываются зубы. В зависимости от глубины пятна, оно может быть полностью удалено или затушевано. В случае необходимости достижения более высокого результата, может быть проведено отбеливание, но при этом необходимо предотвратить появление новых пятен.
Если белые пятна возникли из-за перенасыщения фтором, их лечение включает ограничение потребления этого вещества. Рекомендуется очищать воду, исключать использование средств и ополаскивателей, содержащих фтор. В питании следует увеличить потребление поливитаминов и рыбьего жира зимой.
Специалисты рекомендуют чередовать зубные пасты с фтором и без него, чтобы предотвратить повторное появление белых пятен на зубах. Регулярные посещения стоматолога также помогут поддерживать здоровье зубов и предотвращать проблемы.
Если белые пятна появились во время ношения брекет-системы, рекомендуется выбрать другую модель и провести очистку эмали зубов. Для предотвращения повторного появления пятен, врач может назначить комплексные процедуры ухода за брекетами. При флюорозе, помимо исключения потребления продуктов с фтором, проводится отбеливание эмали и при необходимости применяются композитные материалы для восстановления поврежденных участков.
При гиперплазии, основной целью лечения является остановка разрушения зубов и восстановление поврежденной эмали. Реконструктивное лечение может включать насыщение эмали фтором или кальцием. Даже незначительные пятна могут указывать на наличие заболеваний зубов или организма в целом.
Когда пятна на зубах вызваны кариесом, их можно лечить. Стоматологи удаляют пораженные участки и проводят микропломбирование с использованием специального лака. В случае молочных зубов, не проводится пломбирование, а используется процедура серебрения или покрытие лаком.
Корректируем питание
С появлением патологии необходимо внести изменения в рацион питания как для взрослых, так и для детей. Если причиной поражения является флюороз, то из рациона следует исключить рыбу, шпинат и бобовые. После лечения можно провести эстетическую реставрацию для улучшения внешнего вида. Если в организме наблюдается дефицит кальция, следует включить в рацион такие продукты, как творог, молоко и рыба, а также придерживаться специальной диеты с употреблением комплекса минералов и витаминов. Для повышения уровня кальция в организме рекомендуется увеличить потребление молочных продуктов. Беременным женщинам важно следить за своим здоровьем, чтобы избежать заражений вирусными заболеваниями и своевременно лечить токсикоз. В этот период особенно важно употреблять полноценную пищу, богатую витаминами, минералами и другими полезными компонентами, так как это оказывает значительное влияние на формирование зубного ряда будущего ребенка. Рекомендуется регулярно ухаживать за полостью рта, чистить зубы не менее двух раз в день — утром и вечером. Также важно контролировать использование химических средств для ухода за полостью рта, чтобы не повредить эмаль.







