Причины патологии
Инфицирование организма вирусом папилломы человека (ВПЧ) часто приводит к развитию респираторного или ларингеального папилломатоза, который, как правило, вызывается папилломавирусами типа 11 (реже 6) в 80-100% случаев.
Эти инфекции вызываются вирусами, которые могут привести к увеличению количества клеток в эпителиальном слое слизистой оболочки дыхательных путей и образованию папилломатозных опухолей. Папилломатоз гортани чаще всего встречается у взрослых мужчин и детей младшего возраста.
Инфекция ПЧ встречается очень часто.
Рост опухоли в дыхательных путях обусловлен присутствием вируса папилломы человека. Наиболее часто обнаруживают генотипы 6 и 11 данного вируса в тканях удалённых элементов.
Существует два вида передачи вируса:
- Интимные отношения.
Информация свидетельствует о том, что ВПЧ в основном передается через половой контакт. Оральный секс является основной причиной увеличения числа случаев заражения ВПЧ в области миндалин.
Вероятность заражения увеличивается при увеличении количества сексуальных партнеров в любом виде сексуальной активности (например, вагинальный или оральный секс). При наличии 20 и более сексуальных партнеров за всю жизнь, риск заражения ВПЧ в области рта составляет 20%.
Люди, которые употребляют табак, сталкиваются с более высоким риском, чем те, кто не курит.
- Хозяйственное сообщение.
Путем анализа собранных данных врач определяет, каким образом пациент был заражен. Для этого он проводит оценку следующих факторов:
- проявления заболевания;
- местоположение папилломы в гортани;
- область поражения слизистой оболочки;
- возраст пациента.
Появление папилломы в горле у детей до 5 лет связано с заражением в перинатальном периоде, иногда — при заболеваниях дыхательных путей. У взрослых инфицирование ВПЧ обычно происходит половым путем, при этом поражения обычно незначительны (встречаются единичные папилломы).
Вызывающие образование ВПЧ могут быть различные факторы:
- постоянные воспалительные процессы в области горла, носа и ушей;
- у маленьких пациентов: корь, скарлатина;
- привыкание к алкоголю и курению;
- ослабление иммунитета организма.
Папиллома в горле представляет собой доброкачественную опухоль. Это заболевание чаще всего встречается у детей в возрасте от 2 до 5 лет и у женщин в возрасте от 20 до 40 лет.
Главный фактор возникновения – вирус папилломы человека (ВПЧ), обычно передается из-за неправильного ухода за собой.
Необходимо осознавать, что если женщина в период беременности заразилась вирусом, то существует риск передачи инфекции даже еще нерожденному ребенку.
Полностью излечить заболевание с помощью медицины невозможно, однако его можно успешно контролировать.
Также возможными причинами, вызвавшими заболевание, могут быть:
- заболевания, передаваемые от человека к человеку;
- длительные заболевания;
- курение, употребление наркотиков;
- неправильные и небезопасные сексуальные контакты;
- заболевания, вызванные инфекцией;
- нерациональное питание.
Регулярные посещения бассейнов, общественных саун и бань могут способствовать возникновению папиллом. В случае, если они достигают значительных размеров, это может привести к возникновению угрозы удушения.
Лечение
Исцеление заболевания осуществляется в комплексе, с использованием одного из методов хирургического удаления папиллом и консервативного лечения:
- Внутригортанная процедура:
- Криодеструкция (замораживание с использованием жидкого азота). Применяется для удаления мелких образований, поскольку обработка крупных опухолей может вызвать образование рубцов, что ухудшает состояние пациента.
- Электрокоагуляция (использование электрического тока для «прижигания» папилломы).
- Воздействие высокочастотными ультразвуковыми волнами.
- Микрохирургические вмешательства.
- Лазер. Высокоэнергетический свет оказывает тепловое воздействие на папилломы, вызывая местный ожог, обугливание и испарение. Из-за небольшой глубины проникновения (примерно 1,2 мм) он применяется для удаления небольших наростов.
- Аргоноплазменная коагуляция (тепловое воздействие в среде инертного газа аргона). Позволяет удалять папилломы толщиной до 3 мм.
- Фотодинамическая терапия. Пациенту внутривенно вводят специальный препарат, повышающий чувствительность тканей к свету, затем воздействуют на папилломы лазером с низкой световой интенсивностью. В результате окислительных процессов образуются свободные радикалы, которые уничтожают опухоль. Недостатком метода является необходимость соблюдения определенного светового режима после процедуры.
- Внегортанная хирургия: открытая операция с установкой ларинго- или трахеостомы. Применяется только для экстренного восстановления проходимости дыхательных путей.
- Лекарственное лечение в течение 1,5-2 лет:
- Противовирусные препараты (Панавир, Ацикловир, Изопринозин и другие).
- Иммуномодулирующие средства интерферонового ряда (Реаферон, Амиксин, Циклоферон, Виферон и другие), используемые системно и в виде ингаляций.
- Комплексные витамины для общего укрепления организма.
- Ферментативные препараты, используемые для предотвращения образования рубцов и сужения гортани (Лонгидаза и ее аналоги, вводимые в виде инъекций во время операции по удалению папиллом).
У пациентов с отдельными папилломами в гортани их удаление может быть проведено в поликлинике, но при наличии нескольких наростов требуется госпитализация в стационар. Предпочтительным является первый метод хирургического вмешательства, поскольку он менее травматичен для пациента. При использовании всех методов эндогортанной терапии пациенту делают местную анестезию.
Открытая операция имеет ряд недостатков, которые могут привести к следующим последствиям:
- возникновение рецидива в более краткие сроки;
- ускоренное увеличение папиллом в зоне трахеостомического отверстия;
- образование сужения трахеи в виде рубцов;
- постоянное нарушение функций голосовых связок.
После операции применение противоопухолевого препарата Проспидин показывает хорошие результаты в реабилитационном периоде. Этот препарат применяется у детей в возрасте от двух лет и у взрослых до 70 лет. Лекарство может быть введено внутривенно, внутримышечно, а также местно в виде мази, которую втирают в раневую поверхность, или орошают аэрозолем. Внутривенное введение является более эффективным, особенно при часто возникающем рецидиве заболевания. Повторные курсы проводят через 6-8 месяцев.
Несмотря на всестороннее лечение, эффективность удаления папиллом остается невысокой, и у многих пациентов возникает рецидив заболевания через некоторое время. Это объясняется тем, что при операции удаляется лишь очаг папилломатоза, но не устраняется сама причина заболевания, что приводит к повторному развитию опухолевого процесса. Вирус ВПЧ также характеризуется высокой устойчивостью к противовирусным и иммуномодулирующим препаратам (до 70% всех случаев). Поэтому в определенных ситуациях пациентам требуется проведение множества операций на протяжении многих лет.
Примеры образцов материалов, полученных в процессе операции, отправляют в специализированную лабораторию для проведения цитологического и гистологического анализа с целью выявления возможных злокачественных изменений в клетках. При выявлении ракового процесса ЛОР-врач направляет пациента для проведения дополнительного обследования и лечения в онкологическое медицинское учреждение. При благоприятном течении папилломатоза рекомендуется проходить регулярные осмотры не реже 1 раза в полгода. В случае наличия у пациента стойких нарушений голоса, ему назначается курс речевой фонопедии.
Папилломатоз ротовой полости
В полости рта, доброкачественные опухоли чаще возникают в областях, подверженных трению и микротравмам, таких как:
- орган речи: кончик, боковые части, область подъязычная;
- небо твердое;
- десны;
- щеки – внутренняя сторона.
Папилломы на слизистой оболочке десен и твердом небе обычно имеют плоскую форму, в то время как на щеках и языке – они выглядят висячими. Чаще всего проблему обнаруживают случайно или при возникновении затруднений при разговоре, глотании или приеме пищи. При повреждении они могут вызвать кровотечение и дискомфорт.
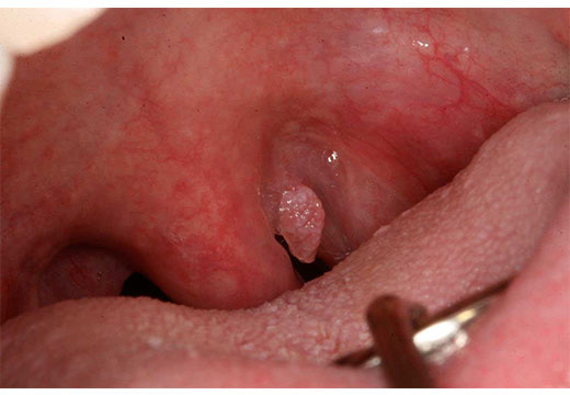
Давайте сначала обсудим папилломатоз языка. На его поверхности возникает небольшая опухоль, похожая на сосочек с широкой ножкой. Пациент ощущает ее как маленькую горошинку. Папиллома отличается от окружающих тканей и имеет характерный бледно-розовый оттенок.
Если образование находится на боковых поверхностях, то оно имеет более темный оттенок. Папилломы на языке могут достигать двух сантиметров. Они могут быть единичными или встречаться группами. При слиянии визуально напоминают цветную капусту. Новообразования могут подвергаться травмам, что приводит к дополнительным проблемам при глотании.
Появление папиллом в полости рта является лишь одним из проявлений респираторного папилломатоза, поэтому лечение включает в себя целый комплекс мероприятий.
Плоские папилломы, которые обычно появляются на небе, редко вызывают какие-либо проблемы. Они практически не отличаются по цвету от окружающих тканей. Этот вид образований часто встречается у детей и пожилых людей, особенно у тех, кто использует вставные челюсти.
Когда речь идет об образованиях на десне, их довольно сложно обнаружить из-за их расположения в месте, недоступном для обычного визуального осмотра. Обычно обнаруживают их во время посещения стоматолога. Развитию таких образований могут способствовать заболевания зубов и десен, а также неудобные протезы. Хотя они, как правило, не вызывают дискомфорта у человека, но из-за риска возможного развития опухолей требуют проведения лечебных мероприятий.
При заболевании папилломатозом ротовой полости применяется следующая терапия:
- улучшение состояния полости рта, включая борьбу с кариесом, зубным налетом, пародонтозом и другими проблемами;
- поддержание здоровья зубов, использование зубной нити, применение специальных растворов;
- терапия против вирусов;
- применение витаминов для улучшения здоровья;
- хирургическое вмешательство, включая удаление, лазерное лечение, криодеструкцию, электрокоагуляцию, радиочирургию.
В роли дополнительной терапии применяются препараты традиционной медицины:
- если заметите первые признаки папиллом, можно попробовать использовать пристеночный белок куриного яйца для их смазывания;
- для обработки пораженного участка можно применить касторовое масло, смочив ватный тампон;
- для полезной обработки папиллом рекомендуется использовать спиртовую настойку из зеленой скорлупы и высушенных листьев грецкого ореха;
- для удаления папиллом можно попробовать натереть их долькой чеснока или свежевыжатым соком.
Терапия гортанного папилломатоза
Для лечения папилломатоза используются препараты, способствующие увеличению производства собственных интерферонов, а также интерфероны. Среди них можно выделить такие препараты, как Интераль, Реаферон, Амиксин, Циклоферон и другие. Учитывая вирусную природу заболевания, детям обычно назначают противовирусные препараты, такие как Ацикловир, Цидофовир, Аллокин-альфа.
Для остановки непроизвольного размножения клеток используют цитостатики. Эти препараты применяют для смазывания голосовых связок или для лечения новообразований. Сок каланхоэ также используется в качестве растительного средства с аналогичной целью. Инновационное лечение болезни осуществляется с использованием препарата Ронколейкин, который является цитокиновой терапией.
Хирургические приемы для лечения патологии включают в себя электрокоагуляцию, криодеструкцию, лазерную коагуляцию, а также ультразвуковую дезинтеграцию. Хирургическое вмешательство позволяет удалить папиллому, однако не избавляет от вируса, который продолжает пребывать в организме.
Что делать при появлении папиллом в гортани
Среди различных мест возможного появления папиллом на человеческом теле, папиллома гортани считается одним из самых серьезных проявлений этого заболевания.
Какова суть этого заболевания, каковы его угрозы для организма человека и как можно излечиться или предотвратить проявление вируса папилломы, мы рассмотрим далее.
Папиллома, возникшая в гортани, является выступающим образованием на слизистой оболочке.
- Вся представленная информация на данном веб-сайте имеет исключительно информационный характер и НЕ ЯВЛЯЕТСЯ руководством к действию!
- Только ВРАЧ может поставить ТОЧНЫЙ ДИАГНОЗ!
- Мы настоятельно рекомендуем Вам НЕ ЗАНИМАТЬСЯ самолечением, а обратиться к квалифицированному специалисту!
- Желаем Вам и Вашим близким крепкого здоровья!
Каков облик такого образования?
- Недавно возникшая папиллома обычно имеет розоватый оттенок, который схож с цветом окружающих тканей. Однако, если новообразование появилось давно, оно приобретает сероватый оттенок из-за покрытия соединительной тканью.
- Поверхность папиллом может быть как гладкой, так и бугристой, а их основание обычно достаточно широкое.
- Чаще всего образования в гортани относятся к доброкачественным, особенно если состоят из клеток плоского эпителия (плоскоклеточная папиллома).
- Однако, если папиллома инвертируемая, то она более склонна к преобразованию в злокачественную опухоль.
Какова суть инвертируемой папилломы?
- Это свежее образование из мерцающего эпителия, которое склонно проникать в глубокие слои тканей, включая даже хрящевые и костные.
- Именно это обуславливает повышенный риск превращения таких образований в злокачественные.
Эта болезнь внесена в международную классификацию болезней (МКБ-10). Информацию о ней можно найти в разделе доброкачественных опухолей гортани под кодом МКБ-10 D 14.1.
Диагностика
Исследование начинается собиранием жалоб и анализом анамнестических данных, которые включают в себя информацию о времени появления симптомов, их особенностях, наличии хронических процессов и так далее. Затем специалист проводит ларингоскопию – это визуальный осмотр гортани и микроларингоскопию, при которой используется операционный микроскоп.
Для оценки частоты встречаемости процесса используется рентгенография и КТ. Также возможно потребуется консультация других медицинских экспертов: хирурга, аллерголога, онколога.
Если у вас возникли один или несколько из перечисленных выше симптомов, то рекомендуется обратиться к врачу для проведения обследования. Папилломы в гортани легко выявляются во время ларингоскопии – осмотра стенок гортани с использованием специального медицинского прибора.
Их внешний вид напоминает небольшой узелок розового, красного или сероватого оттенка с неровной текстурой. Размеры могут варьироваться от 1-2 до 10 миллиметров. Папилломы могут появляться как на широком, так и на тонком, нитевидном основании.
Для тщательного изучения новообразований и их различения также проводят следующие процедуры:
- исследование с использованием эндоскопа, включая взятие биопсии и последующее изучение под микроскопом;
- рентгенография и компьютерная томография шеи;
- методы, основанные на автофлуоресценции.
Консультации проводятся специалистами по инфекционным заболеваниям, иммунологии и онкологии.
Для точного определения диагноза достаточно провести визуальный осмотр в кабинете врача. Новообразование покрыто слизистой оболочкой и развивается довольно медленно, не вызывая серьезных беспокойств у пациента. Папиллому можно ошибочно принять за увеличенные миндалины. При этом вирусе биопсия не требуется.
Хороший результат можно достичь только при своевременном и комплексном лечении. Удаление наростов в полости рта является обязательной процедурой, которая проводится на первом этапе лечения. Медикаментозное лечение не принесет желаемого результата, поэтому необходимы только хирургические вмешательства. Даже один такой опухоль может распространиться по всему организму. В домашних условиях не стоит пытаться справиться с этим недугом. Этим должен заниматься только опытный специалист.
При определении проблем нет никаких трудностей. Многочисленные выросты на языке, расположенные ближе к гортани, или бородавки в области неба явно свидетельствуют о наличии заболевания.
Для оценки уровня распространения и характеристики поражения специалисты применяют следующие подходы:
- Исследование гортани с помощью ларингоскопа.
- Исследование гортани и трахеи с помощью ларинготрахеоскопа.
- Микроскопическое исследование гортани.
- Анализ удаленных папиллом на гистологию.
- Рентгенологическое обследование.
- Компьютерное томографическое исследование.
- Полимеразная цепная реакция.
Обнаружение папиллом в горле не представляет сложностей для медицинских экспертов. Визуальный осмотр позволяет выявить наросты в горле, которые имеют характерный внешний вид. При этом больные могут не ощущать дискомфорта.
Исследование гортани, Исследование гортани и трахеи, Микроскопическое исследование гортани, Изучение тканей, Исследование гортани с помощью стробоскопа и микроскопическое исследование гортани с использованием стробоскопа, Электронное измерение голосовых связок, Рентгенологическое исследование, Компьютерная томография, Полимеразная цепная реакция.
Визуальный осмотр отоларингологом с использованием ларингоскопа – специального устройства для изучения состояния горла; проверка состояния горла с помощью операционного микроскопа – микроларингоскопия; проведение рентгенографии и компьютерной томографии для выявления нарушений в работе голосового аппарата, включая связки; применение ларингостробоскопии и электроглоттографии для выявления нарушений в работе голосового аппарата; анализ материала, полученного при биопсии наростов; изучение удаленных папиллом на предмет наличия раковых клеток; обязательное взятие крови на анализ.
Классификация
Существует две категории заболевания папилломатоз с различными сроками развития:
- детский возраст — время, когда возникает ювенильный астматический синдром;
- рецидивирующая форма — тип астмы, который часто возвращается и проявляется у взрослых людей.
В зависимости от того, насколько широко распространено заболевание, оно может быть:
- местной. Папилломы влияют только на одну сторону органа или определенный небольшой участок. Голосовая щель блокируется незначительно;
- распространенной. Орган поражен с обеих сторон, и голосовая щель блокируется в значительной мере;
- закупорочной. Происходит закупоривание голосовой щели.
Заболевание может протекать по-разному: иногда оно редко обостряется – ухудшение происходит не чаще двух раз в два года, а иногда часто обостряется – рецидив происходит три раза в год и чаще.
При наличии папилломы в горле, каким образом должно проводиться лечение? Для каждого пациента разрабатывается индивидуальная стратегия. Врач выбирает наиболее подходящий и безопасный метод лечения:
- Электродеструкция является наиболее востребованной и точной процедурой. Риск повреждения окружающих тканей исключен, удаление нароста осуществляется с использованием скальпеля и электрического тока.
- Криодеструкция проводится с применением жидкого азота. Этот процесс весьма малоболезненный и безопасный, однако не гарантирует полного устранения вируса. Существует возможность повреждения окружающих тканей.
- Лазерное удаление папиллом позволяет остановить кровотечение. Маленькие и большие наросты удаляются с помощью лазера.
Существует множество различных видов и классификаций папиллом.
Лишь при проведении осмотра врач способен определить тип опухоли и предписать соответствующую терапию.
Существует несколько типов герпеса: врожденный или полученный внутриутробно; заразившийся при бытовом или половом контакте; детский (ювенильный); рецидивирующий; и взрослый, который чаще встречается у мужчин при снижении выработки половых гормонов.
В определенной области горла наблюдается ограниченная видимость; во многих областях — широко распространенный; это препятствует нормальному прохождению воздуха через дыхательные пути.
Если возникают затруднения с вдохом и выдохом, появляется хрипота и шум при дыхании, это свидетельствует о первой компенсаторной степени. Одышка, недостаток кислорода, посинение кожи, беспокойство и холодный пот характерны для второй декомпенсаторной степени. Полная остановка дыхания и потеря сознания происходят из-за асфиксии на третьей степени папилломатоза.
Причины появления и симптомы
Появление бородавок и папилломатозных образований обусловлено заражением вирусом папилломы человека (ВПЧ). Передача происходит от человека-носителя к здоровому человеку:
- Заражение через половые контакты, особенно при нескольких сексуальных партнерах. Часто передается 6 тип вируса папилломы человека с низким риском развития рака, вид заражения распространен среди взрослого населения.
- Передача от матери к ребенку во время прохождения родовых путей – через дыхательные пути, проглатывание зараженных околоплодных вод во время родов.
- При использовании чужой зубной щетки и микротравмах слизистой оболочки рта, полоскание рта после чистки зубов способствует заражению окружающих тканей.
У каждого второго человека обнаруживается ВПЧ, однако проявление вируса происходит лишь в случае ослабленной защиты организма и под воздействием определенных провоцирующих факторов:
- частые заразные заболевания верхних путей дыхания (фарингит, ларингит, тонзиллит, глоссит, налет на связках, трахеит);
- долгосрочные очаги инфекции (длительный тонзиллит, гайморит, аденоидит, кариозные полости зубов);
- нарушения гормонального баланса различной природы (заболевания эндокринной системы, подростковый период, беременность, лактация, климакс, лечение кортикостероидами);
- ослабление иммунной защиты при аллергических реакциях гиперчувствительности немедленного типа;
- продолжительные стрессовые периоды, длительные депрессии;
- усталость, физическое истощение организма;
- потребление алкоголя, употребление наркотиков, курение табака;
- повреждение слизистой глотки химическими веществами, средствами нефтепереработки (моющие жидкости, спиртсодержащие горючие вещества, уксус);
- проживание в районах с высокой степенью загазованности воздуха, пыльностью помещений;
- профессиональное напряжение голосовых связок (учителя, лекторы, онлайн-коучи, тренера);
- воздействие радиоактивного излучения при рентгенологическом обследовании может способствовать развитию папиллом, увеличивать риск злокачественных опухолей гортани;
- травма слизистой глотки инородным телом (рыбья кость, сухая корка, чужеродный металлический предмет), чаще у маленьких детей;
- повышенная уязвимость после установки трахеостомы.
Папилломатозные наросты в клинике подразделяются на несколько типов в зависимости от следующих характеристик:
- наросты в гортани, которые чаще всего встречаются у детей в возрасте до подросткового периода;
- тип наростов, который чаще проявляется у взрослых и характеризуется повторяющимися проявлениями;
- в зависимости от распространения: отдельный нарост (иногда может быть незаметным), распространенный парный папилломатоз, вид, который может привести к сужению дыхательных путей и возникновению проблем с дыханием, вплоть до летального исхода.
Появление папиллом в горле сопровождается разнообразными проявлениями:
- первичные образования могут проявляться незаметной симптоматикой, появление признаков указывает на рост папиллом, их возможное превращение в раковую опухоль и необходимость тщательного обследования у специалиста-врача;
- первым делом меняется тембр голоса, возникает носовитость, хрипота, при поражении голосовых связок голос может стать более грубым или появляется потеря голоса;
- при приеме пищи может возникать дискомфорт, ощущение чужеродного тела, боль при глотании воды или пищи;
- при увеличении размеров нарушается дыхательный процесс – ночные одышки, риск остановки дыхания во сне, неврологические расстройства (бессонница, головная боль, неврозы);
- сужается просвет гортани, что приводит к нарушению дыхательной функции (хрипы, свист при вдохе-выдохе);
- может вызываться кашлевой рефлекс без наличия инфекционных причин, иногда – кровохарканье при повреждении папиллом на слизистых оболочках.
Методы лечения патологии
Если обнаружена папиллома в горле, то ее лечение может быть осуществлено различными методами:
- хирургическое вмешательство для удаления образований;
- терапия с применением местных препаратов, процедуры полоскания антисептическими средствами;
- использование аппаратных методов для устранения папиллом;
- использование народных средств при помощи домашних методов лечения под наблюдением врача.
Основная задача всех подходов к лечению заключается в удалении опухолевых образований, восстановлении нормальной работы желудочно-кишечного тракта и дыхательной системы, а также укреплении иммунитета для предотвращения повторного возникновения папилломатоза.
Противовирусные и иммуностимулирующие препараты
Часто применяются препараты, которые стимулируют иммунную систему и борются с вирусами, такие как виферон, ликопид, зовиракс, ганаферон, иммунофлазид, протефлазид, циклоферон. Также используются антисептические растворы для полоскания рта, такие как веррукозный раствор, хлоргексидин, мирамистин, сода. Гормональные средства, которые замедляют рост папиллом, редко используются из-за их способности снижать иммунный ответ организма. Антибиотики применяются только по рекомендации врача для устранения вторичной инфекции.
Операция по удалению папиллом
Хирургическая процедура является наиболее эффективным способом лечения ВПЧ-разрастаний в гортани. Операция по удалению опухоли с использованием скальпеля (внутригортанный и внешний доступ, с последующим наложением трахеостомы) не применяется из-за низкой эффективности, большого количества осложнений, высокого риска рецидива и вторичной инфекции. Более распространены эндоскопические аппаратные методы:
- удаление с использованием лазерного луча, проводится быстро, эффективно и малоинвазивно. Может быть применено у детей, и время восстановления занимает до двух суток;
- диатермоэлектрокоагуляция осуществляется путем удаления электроножом;
- криодеструкция с применением жидкого азота выполняется при местном обезболивании: азотная струя замораживает пораженные ткани ВПЧ, но оставляет рану, требуется несколько дней для восстановления, необходим прием обезболивающих препаратов;
- разрушение папиллом аппаратом с радиоволновым полем – инновационный метод, который путем радиодеструкции клеток вируса устраняет наросты в любой области гортани.
Решение о неотложном вмешательстве принимается врачом с учетом индивидуальных особенностей пациента.
Ингаляции и другие народные средства
Использование народных средств для лечения, применение небулайзера с медикаментами, травяные настои для ингаляций и полоскание горла травяными отварами.
Перед применением домашних методов лечения рекомендуется проконсультироваться с медицинским специалистом, так как нежная слизистая может подвергаться ожогам и легко травмироваться. Раны могут заживать долго, что может затруднить процессы дыхания и пищеварения.
Из наиболее распространенных и безопасных методов можно выделить следующие: проведение ингаляций (использование сока чистотела, картофельного сока, вдыхание паров каланхоэ), употребление отваров из трав (лавровые листья, почки березы, можжевеловые ягоды, шиповник), а также полоскание горла (применение аптечной ромашки, шалфея, полыни).
Домашние методы эффективны, когда папилломы только появились и нет явных признаков заболевания. В остальных случаях такие меры могут негативно повлиять на состояние папиллом.
Локализация папиллом
Папилломы могут возникать на слизистой оболочке полости рта, в глотке и на языке. Иногда новообразования могут распространяться на область гортани, трахеи и верхнюю часть пищевода.
Риск папилломатоза для органов дыхания заключается в том, что большое количество образований может блокировать дыхательные пути, затрудняя поступление воздуха в легкие.
В горле
Чаще всего папилломы в горле возникают на миндалинах и дужках, боковых стенках глотки, мягком небе, иногда распространяясь в область гортани и на голосовые связки. Встречаются очень редко бородавки на язычке. У детей часто встречается обильное появление наростов на мягком небе, а также их наличие в глубоких частях горла, на задней дужке и язычке.
В гортани
Самое опасное — это рост папиллом в гортани.
Нередко возникают новообразования на территории голосовых связок, что может привести к нарушению речи. Поскольку эти образования находятся близко к дыхательным путям, их распространение в область трахеи может вызвать нарушение дыхания, вплоть до возникновения асфиксии.
Если у маленького ребенка образуется много наростов в гортани, это может иметь серьезные последствия из-за сужения дыхательного прохода: затрудненное дыхание, недостаток кислорода в мозге и даже смертельный исход.
У взрослых случаи сильного увеличения папиллом в области гортани встречаются нечасто.
В пищеводе
Паппиломатоз способен распространяться на верхний отдел пищевода, блокируя пространство и нарушая способность глотать пищу.
Иногда доброкачественная опухоль может превратиться в злокачественную форму.
Появление папиллом в пищеводе вызывает следующие признаки:
- появляется неприятное ощущение кома в горле;
- становится сложнее проглатывать пищу;
- ощущается боль в верхней части за грудиной.
Если папиллома в пищеводе повреждается, это может вызвать появление рвоты или стула с примесями крови.
Исследование папилломатоза пищевода проводит специалист по желудочно-кишечным заболеваниям.
В носу
Встреча папиллом на внутренних стенках носа или в его преддвериях — это явление, которое встречается достаточно часто.
Полипы обычно имеют небольшие размеры, но могут вызывать затруднения с носовым дыханием. Они чаще возникают у детей старше 6 лет и у взрослых.
Существует несколько типов папиллом в полости носа:
Экзофитная опухоль — небольшой выступ в виде шишки на тонкой ножке; инвертированная опухоль — развивается на боковых стенках носа и может вызывать кровотечения;
Цилиндроклеточная форма рака часто встречается в области пазух носа и считается наиболее опасной разновидностью, способной вызвать рак путем разрушения мягких и хрящевых тканей носа.
Причины возникновения
Заражение дыхательных путей может возникнуть по различным причинам:
- заражение вирусными болезнями;
- ослабление защитных сил организма;
- наследственные предрасположенности;
- близкий контакт с человеком, переболевшим вирусной инфекцией;
- изменения в работе гормонов;
- повреждение органов;
- воздействие радиации и химических веществ;
- продолжительное пребывание в загазованных и запыленных помещениях;
- нарушения работы эндокринной системы;
- реакция организма на аллергены;
- курение, злоупотребление алкоголем;
- продолжительное воздействие ультрафиолетового излучения.
Заражение чаще всего происходит через половой контакт. Люди, ведущие беспорядочную сексуальную жизнь и часто меняющие половых партнеров, находятся в группе риска. Особенностью ВПЧ является то, что он может находиться в организме длительное время, не проявляя себя. Патоген может активизироваться при ослаблении иммунной системы.
Сопротивляемость организма может уменьшиться из-за простудных заболеваний, продолжительных стрессов, курения, недостатка витаминов и так далее.
Следствием различных факторов может стать образование папилломы гортани. Причина этого заболевания заключается в воздействии вируса папилломы человека типа 6 (чаще у детей) и типа 11 (чаще у взрослых), который имеет разрушительное воздействие. Развитию выраженных клинических симптомов могут способствовать:
- частые простудные заболевания и инфекции ЛОР-органов;
- вредное воздействие ультрафиолетового излучения, радиации, химических веществ;
- вдыхание промышленной пыли в процессе работы на производстве;
- ослабление иммунной системы из-за неполноценного питания, стрессов, неблагоприятных условий жизни;
- заболевания желез внутренней секреции;
- курение, чрезмерное употребление алкоголя;
- сопутствующие длительные вирусные инфекции (цитомегаловирус, герпес);
- травмы, повреждения гортани;
- у детей – искусственное питание.
Основной способ передачи вируса папилломы человека у взрослых остается половым контактом. Дети могут заразиться от матери во время родов. Время инкубационного периода заболевания (то есть время от момента заражения до появления первых симптомов) может варьироваться от 2-3 месяцев до 10-15 лет.
Папиллома в горле представляет собой образование, имеющее доброкачественную природу. Это заболевание чаще всего встречается у детей в возрасте от 2 до 5 лет и у женщин в возрасте от 20 до 40 лет. Основной причиной появления папилломы является вирус человеческой папилломы (ВПЧ), который в большинстве случаев попадает из-за ненадлежащей личной гигиены.
Необходимо осознавать, что если женщина в период беременности заразилась вирусом, то существует риск передачи инфекции даже нерожденному ребенку. Полное излечение от этого заболевания в настоящее время недоступно, однако его можно успешно контролировать при помощи медицинских методов.
Также факторами, спровоцировавшими заболевание, могут быть:
- заболевания, передающиеся от человека к человеку;
- длительные заболевания;
- употребление табака, наркотиков;
- неправильные и небезопасные сексуальные контакты;
- заболевания, вызванные инфекцией;
- недостаточно сбалансированное питание.
Регулярные посещения бассейнов, общественных саун и бань могут способствовать возникновению бородавок. В случае, если они достаточно крупные, это может привести к возможности задыхания.
Основной причиной возникновения бородавок на слизистых оболочках является активация вируса папилломы человека (ВПЧ), который постоянно присутствует в организме, но не вызывает никакого вреда.
https://youtube.com/watch?v=ty8DfHZYZfI
Особые защитные клетки играют ключевую роль в подавлении вирусов, обеспечивая как местный, так и системный иммунитет.
Изображение: дискомфорт в горле может указывать на поражение вирусом папилломы человека (ВПЧ).
Уменьшение защитных сил организма приводит к тому, что бактерии и вирусы начинают интенсивно увеличиваться, что приводит к патологическому росту эпителия и образованию папиллом.
Частые вопросы
Каковы основные симптомы респираторного папилломатоза гортани у детей?
Основные симптомы респираторного папилломатоза гортани у детей включают хриплый голос, затрудненное дыхание, кашель и проблемы с глотанием.
Каковы методы лечения респираторного папилломатоза гортани у детей?
Лечение респираторного папилломатоза гортани у детей может включать хирургическое удаление опухолей, применение лекарственных препаратов и иммунотерапию.
Полезные советы
Рекомендация №1
Обратитесь к врачу-лору для проведения диагностики и определения оптимального лечения респираторного папилломатоза гортани у вашего ребенка.
Рекомендация №2
Избегайте passivnogo курения и контакта с табачным дымом, так как это может усугубить симптомы заболевания.
Рекомендация №3
Следите за иммунитетом ребенка, обеспечивайте ему здоровое питание, физическую активность и полноценный сон для поддержания защитных функций организма.







