Появление неожиданной опухоли в области шеи вызывает у человека беспокойство и стресс. Это состояние может быть вызвано различными причинами. Вместо паники, стоит рассмотреть различные возможные объяснения этого симптома.
Припухлость под челюстью
Шишка, возникающая под челюстью слева или справа, может быть вызвана различными причинами. Это явление часто появляется внезапно, и отек формируется всего за несколько часов. Обычно такая ситуация имеет эстетический характер и портит внешность, но не вызывает болевых ощущений.
Этот симптом довольно распространен, так как в этой области находится много лимфатических узлов, и проблема может быть связана с их функционированием, особенно если шишка находится под нижней челюстью справа или слева.
Причиной может быть патогенная микрофлора, попадающая в лимфатическую систему. Воспаление подчелюстных лимфоузлов также может быть причиной.
Также известно множество факторов, которые могут вызвать этот симптом, такие как кисты, злокачественные и доброкачественные опухоли, фолликулит.
Многие люди начинают паниковать, когда видят подобные симптомы на своем лице. Характерной чертой является отсутствие боли, поэтому не стоит сразу подозревать онкологию или другие серьезные заболевания.
Шишки под челюстью: терапия
Если появляется болезненная шишка, важно незамедлительно обратиться к врачу, чтобы выяснить причину ее возникновения. Первым шагом следует обратиться к терапевту или дантисту. Если вам диагностирован лимфаденит, врач назначит медикаментозное лечение, которое поможет снизить воспаление.
При правильном и эффективном лечении лимфаденита шишка полностью исчезнет, и вы сможете вернуться к обычной жизни.
Опухоли обычно удаляются хирургическим путем или при помощи лазера. Не стоит игнорировать проблему, особенно если новообразование эластичное и подвижное. В таком случае, важно обратиться к врачу как можно скорее.
Вот почему:
- Маленькие опухоли могут быть удалены без осложнений.
- Липому можно избавиться без хирургического вмешательства, если она небольшая.
Если причиной является внутренний прыщ, он может исчезнуть самостоятельно, но это не означает, что нужно игнорировать это явление. Если кожа покраснела и появился отек, важно немедленно обратиться к врачу. Современные методы лечения достаточно эффективны и помогают предотвратить появление новой сыпи.
При появлении шишки под челюстью важно незамедлительно обратиться к врачу.
Квалифицированный врач сможет легко отличить обычный прыщ от воспаленных лимфатических узлов при помощи визуального осмотра. Не стоит пытаться самостоятельно «помочь» себе, выдавливая шишку, прогревая ее или применяя компрессы. Доверьте лечение профессионалу.
Шишка на челюсти возле уха
Уплотнение в области челюсти может указывать на наличие лимфаденита у человека, что обычно происходит из-за инфекционного поражения. Важно отметить, что лимфатическая система чувствительно реагирует на происходящие процессы в организме, особенно когда инфекция расположена рядом.
Обычно воспалительный процесс возникает из-за патологических процессов в ЛОР-органах и ротовой полости, хотя это может быть вызвано и другими редкими патологиями. Подтвердить или опровергнуть их наличие может только опытный врач.
Образование может быть мягким, упругим или плотным при пальпации. Плотность указывает на наличие доброкачественной опухоли. Размеры опухоли могут помочь опытному специалисту определить причину заболевания: чем больше размеры, тем выше вероятность злокачественного процесса. Если патология протекает безболезненно и увеличивается медленно, но при вторичной инфекции возникает рецидив с сильной болью.
Если дискомфорт становится невыносимым, возможно, в опухоли накопилось большое количество гноя или возникли другие осложнения.
Иногда при злокачественных процессах образуются опухоли возле ушей. В таком случае следует обратить внимание на другие клинические проявления. Если есть зубная боль и другие стоматологические проблемы, уплотняются десны, появляется слезотечение, пациенту требуется тщательное медицинское обследование. Лечение будет зависеть от точной причины симптома.
Шишка на нижней челюсти за ухом: что делать
Иногда этот симптом может исчезнуть сам по себе. Однако, есть определенные заболевания, при которых возникает отек, требующий серьезного внимания. Что делать в такой ситуации? Не откладывайте поход к врачу, чтобы как можно скорее получить точный диагноз. Только таким образом можно достичь выздоровления. Использование лекарств или нетрадиционных методов без разрешения врача только усугубит патологический процесс.
Если у вас есть следующие симптомы, стоит поспешить к врачу и отложить все дела:
- лимфатические узлы сильно увеличены в размерах;
- патологический очаг очень чувствительный и болезненный;
- причина симптома не связана с ОРВИ;
- образование набирает гнойное содержимое и меняет цвет;
- у вас есть другие клинические признаки.
Если уплотнение образовалось за ухом, лечение может включать прием противогрибковых средств и антибиотиков, которые помогут подавить распространение инфекции и образование соединительной ткани. Особое внимание следует уделять гигиене пораженной области, избегая загрязнения и трения.
При наличии кисты могут быть назначены уколы кортизона и оперативное вмешательство под местным обезболиванием или воздействие лазером. Лекарство может быть введено непосредственно в патологический очаг, что приведет к рассасыванию жировой ткани и исчезновению образования.
Шишки, образовавшиеся в результате онкологических заболеваний, требуют особого внимания и детального обследования. Лечение таких больных должен проводить опытный врач-онколог.
Если лимфоузлы воспалены, необходимо бороться с вирусом или инфекцией, вызвавшей это явление. Эффективную тактику лечения может назначить только врач.
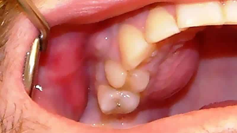
Шишка на челюсти под зубом
Пациенты часто обнаруживают уплотнения на своих деснах, и причина этой проблемы может быть различной. Уплотнения могут возникать из-за воспалительных процессов, хронического поражения корня зуба или других факторов. Для точного диагноза необходимо провести рентгеновское исследование. Возможные причины уплотнений на деснах включают внутренние свищи, шишки вследствие периодонтита или периостита, появление кист, доброкачественных опухолей, прорезывание молочных зубов, рост постоянных зубов, воспаление в области корня зуба или травму. Важно обратить внимание на эти образования, так как даже безобидные гнойные образования могут привести к отравлению организма. Шишки на деснах могут быть следствием слабого иммунитета, недостатка витаминов, неправильной гигиены или системных патологий. При обнаружении шишек у ребенка необходимо незамедлительно обратиться к врачу, так как это состояние требует обязательного лечения, чтобы избежать поражения зубов.
https://www.youtube.com/watch?v=QzAYBz2gNeU






