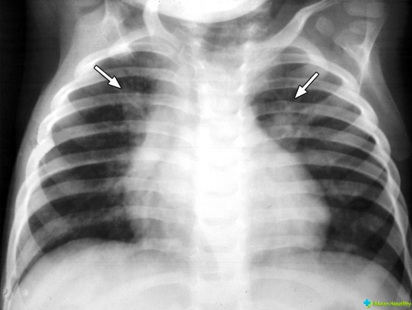
Клебсиеллезная пневмония — это достаточно распространенное заболевание, которое часто возникает в больницах и характеризуется резким началом. Пациенты могут испытывать симптомы интоксикации, такие как внезапная слабость, головная боль, озноб, лихорадка, боль и покраснение в области носоглотки, боли в боку, цианоз кожи, мучительный кашель с последующим появлением кровохарканья. Мокрота при этом имеет неприятный запах и высокую вязкость, а также может наблюдаться одышка и цианоз, возможны проявления желтухи. Характер мокроты сравнивают с смородиновым желе с запахом прогорклого масла. При этом пациенты могут испытывать втягивание межреберных промежутков при вдохе, учащение дыхания и сердцебиения, а также пониженное давление и уменьшение количества мочи.
При развитии воспалительных процессов в желудочно-кишечном тракте, пациент может испытывать различные симптомы, такие как острая боль, тошнота, изжога – это признаки гастрита и энтероколита. При воспалениях мочеполовой системы у пациента могут проявиться все признаки цистита и пиелонефрита. Интоксикация может быть значительной, пациент чувствует угнетение и подавление. В местах инъекций происходят кровоизлияния.
Симптомы инфекции могут напоминать признаки других заболеваний, поэтому медицинскому специалисту часто бывает сложно определить причину ухудшения состояния пациента.
При прослушивании легких можно услышать хрипы, при постукивании по грудной клетке звук приглушается, на коже и слизистых оболочках видны кровоподтёки.
Пневмония Фриндлендера характеризуется тяжелым течением, возникает внезапно и сопровождается острыми болями в области легких, образованием выпота и даже потерей сознания у больного. Возникает распространенное воспаление в костях, желудке, кишечнике, мочевом пузыре и оболочках мозга. Недостаточность работы нескольких органов и развившийся сепсис могут привести к фатальному исходу.
При заражении клебсиеллой желудочно-кишечного тракта проявляются симптомы острого гастрита (например, боль, тошнота, уменьшение аппетита, изжога), а при поражении кишечника возникает острый энтерит или энтероколит. Стул становится жидким, с неприятным запахом, содержащим кровь и слизь. Температура тела повышается. Люди также могут испытывать раздражительность.
Когда клебсиелла присутствует в моче, это может вызвать болезненные ощущения при мочеиспускании, уменьшение объема мочи и тупую боль в нижней части живота. Это может привести к развитию цистита, простатита, уретрита и пиелонефрита.
При прохождении через родовые пути или при несоблюдении матерью правил гигиены, новорожденный ребенок может заразиться от матери. При этом у малыша могут возникнуть признаки дисбактериоза, такие как беспокойство, вздутие живота, колики, частые срыгивания, нарушение стула в виде поноса желтого или зеленого цвета с остатками непереваренной пищи. В дальнейшем могут появиться кашель, обильная слизистая мокрота с включениями крови, бледная кожа, синюшность под глазами и потеря веса. Если у ребенка развивается легочная и кишечная форма клебсиеллеза, то симптомы интоксикации усиливаются, а также могут возникнуть судороги.
Кресло имеет жидкую консистенцию, неприятный запах и содержит небольшое количество слизи, иногда с примесями крови. Ребенок испытывает повышенную температуру, ухудшение аппетита, что может привести к обезвоживанию организма, а также усиливаются признаки интоксикации. Малыш находится под наблюдением в отделении интенсивной терапии после осмотра врача-инфекциониста. Уровень Klebsiella pneumoniae в кале ребенка превышает норму с учетом лабораторных показателей в данном случае.
При поражении верхних дыхательных путей и слизистой оболочки носа клебсиеллой при высоких показателях в 4 степени, проявляются следующие признаки клебсиеллы пневмонии в горле: формирование риносклеромы (гранул на оболочке верхних дыхательных путей и носа) и фарингита, сопровождающиеся заложенностью носа, насморком с специфическим неприятным запахом, першением в горле и кашлем с отделением слизи. На слизистой глотки появляются корки. Также возможно появление герпетических высыпаний во рту. У пациентов с поражением клебсиеллой, в сочетании с поражением легких и желудочно-кишечного тракта, может развиться легочная, печеночная и почечная недостаточность.
Лечение заболеваний клебсиеллы пневмонии
Для излечения данного заболевания требуется комплексный подход, который возможен только в стационаре из-за возможной угрозы жизни. Лечение должно быть направлено на борьбу с отравлением организма и полным облегчением симптомов. В связи с усугубляющимися признаками отравления врач, проводящий лечение, не ждет результатов анализов, а сразу начинает неотложную антимикробную терапию.
Из-за стойкости клебсиеллы пневмонии к антибиотикам, перед назначением лечения необходимо провести лабораторный анализ. Он поможет не только выявить возбудителя, но и определить его устойчивость к конкретному антибиотику.
Лечение Фридлендеровской пневмонии включает в себя применение антибиотиков в сочетании с бактериофагами и пробиотиками, соблюдение постельного режима, употребление белковой диеты и обильное питье.
Когда обнаруживается Klebsiella pneumoniae в моче, рекомендуется применять цефамецин, гентамицин или амикацин в течение 14 дней. После этого проводится повторный анализ для оценки эффективности лечения. При необходимости курс терапии повторяется с применением препаратов, восстанавливающих кишечную флору.
Для лечения используют бактериофаги не реже трех раз в день в сочетании с антибиотиками. Также используют препараты для очистки кишечника, ферментные средства, пробиотики, а также витамины В и С. Проводят процедуры по восстановлению уровня жидкости в организме. При необходимости выполняют переливание крови. Кроме того, могут применять кортикостероиды и иммуноглобулины.

Очищенный бактериофаг клебсиелл пневмонии считается оптимальным препаратом, не вызывающим аллергических реакций и лишенным противопоказаний. Его действие направлено непосредственно на клебсиеллезную бактерию, проникая в нее и уничтожая микробы изнутри. Это эффективный метод борьбы с инфекцией!
Бактериофаг клебсиелл пневмонии применяют местно, в очаге воспаления при проведении лечебных процедур, а также в послеоперационный период. Его используют в виде аэрозоля, раствора, апликаций, ректально и перорально.
Помимо использования медикаментов, важно употреблять достаточное количество жидкости и регулярно проветривать помещение. Также врач может назначить физиотерапию и обертывания, а также лечение с использованием средств традиционной медицины.
Народные способы борьбы с клибсиеллезом включают в себя употребление сборов трав в форме отваров и настоев, ягодных морсов, прополиса с молоком, приправы гвоздики, черной редьки, плодов абрикоса, коры дуба, отвара риса, клюквенного чая, укропа, корицы и тмина. Эти методы применяются параллельно с основным лечением, назначенным врачом.
По завершении терапии рекомендуется продолжить прием пробиотиков, витаминов, заниматься лечебной физкультурой и проходить массаж. При правильном подходе к лечению клебсиеллез не вызывает осложнений и негативных последствий, однако в тяжелых случаях могут возникнуть осложнения.
Для предотвращения заражения палочкой клебсиеллы необходимо придерживаться санитарно-гигиенических правил как в больницах, так и дома, укреплять иммунитет, незамедлительно обращаться к врачу при нарушениях стула и начинающемся ОРЗ, не отказываться от грудного вскармливания грудничкам, и соблюдать правила хранения продуктов.
Вызываемые заболевания
Первоначально бактерия была обнаружена у пациента, скончавшегося от пневмонии, именно поэтому она была названа так. Однако Klebsiella pneumoniae также может вызывать другие заболевания:
- заболевания мочеполовой системы, сопровождающиеся воспалением;
- гнойные процессы после операций;
- воспаление желчных протоков;
- гнойно-некротические изменения в костях и костном мозге (особенно часто встречающиеся при клебсиеллезе в позвоночнике);
- воспаление мозговых оболочек;
- системное воспалительное заболевание у новорожденных и взрослых;
- воспаление и тромбоз вен;
- прерывание беременности, внематочная беременность;
- заболевание слизистой оболочки носа, вызванное гранулематозным инфекционным процессом;
- прогрессирующее атрофическое заболевание слизистой оболочки и хрящей носа, сопровождающееся неприятным запахом;
- острые кишечные инфекции, вызывающие воспаление кишечника или толстой кишки (особенно у маленьких детей).
Клебсиеллы чаще всего обнаруживаются в органах дыхания (более 38% случаев), органах мочеиспускания (30%) и хирургических ранах (25%). Если бактерия поражает горло и небные дуги, это может привести к атрофии слизистой оболочки. Среди наиболее распространенных заболеваний, связанных с этим микроорганизмом, выделяются инфекции дыхательных путей (например, бронхит и пневмония) и мочевыводящих путей. Частыми осложнениями заболеваний органов дыхания являются абсцесс легкого и гнойный плеврит. В этих случаях смертность составляет более 50%, даже при применении антибактериальной терапии, а у людей, страдающих алкоголизмом и сопутствующими бактериальными и вирусными инфекциями, этот показатель достигает почти 100%.
У старших граждан клебсиелла пневмония занимает второе место после E. coli по числу случаев инфицирования мочевыводящих путей. В 1980-х годах были выявлены новые гипервирулентные штаммы бактерий, которые могут вызывать образование абсцессов в печени и селезенке, некротический фасциит (отмирание соединительной и подкожной тканей) и острые гнойные воспаления глазных структур. Эти заболевания в основном поражают молодых людей без серьезных хронических заболеваний.
Некротический фасциит
Если в мазке из цервикального канала у женщин обнаружена клебсиелла (в норме ее там не должно быть), то это свидетельствует о наличии дисбактериоза и требует проведения соответствующего лечения. Особенно опасно заражение во время беременности, поскольку это может привести к серьезным послеродовым осложнениям, таким как гнойно-септические процессы, и воспалению эндометрия. При подтверждении анализов беременным женщинам рекомендуется проведение санации влагалища.
Недостаточное соблюдение личной гигиены является основной причиной появления клебсиеллы пневмонии в мазке из уретры или влагалища, поскольку бактерии могут попасть из области ануса во внешние половые органы. При нормальном функционировании иммунной системы человека клебсиеллы, попадая в половые органы из кишечника, обычно гибнут. Однако развитию инфекции в мочеполовой системе способствуют следующие факторы:
- ослабленное функционирование иммунной системы;
- нерегулярные половые контакты;
- нарушение кислотно-щелочного баланса во влагалище;
- постоянное заражение бактериями мочеполовой системы;
- присутствие сопутствующих заболеваний.
Klebsiella pneumoniae занимает второе место по распространенности среди инфекций, возникающих в больницах и приводящих к смертельному исходу у новорожденных. У взрослых эта бактерия вызывает заболевания в 10% случаев при пребывании в стационарах. У грудничков в основном поражается желудочно-кишечный тракт и легкие, также возможно развитие сепсиса, отита, воспаления пупочной ранки, конъюнктивита. Часто клебсиеллез сопровождается другими инфекциями.
Биология микроорганизма
Klebsiella pneumoniae относится к семейству энтеробактерий. Микроорганизмы неподвижны, способны расти как в анаэробной, так и в аэробной среде, не обладают жгутиками и спорами. Бактерии способны образовывать оболочку, что повышает их устойчивость к антибиотикам и иммунным клеткам человека. Полисахариды, составляющие капсулу бактерий, способствуют их присоединению к тканям человека. Klebsiella pneumoniae является условно-патогенным микроорганизмом, который обычно присутствует в небольших количествах в кишечнике здорового человека. Бактерия также обнаруживается на коже и в полости рта. При неблагоприятных условиях или ослаблении организма другими заболеваниями, она может стать причиной серьезных инфекционных заболеваний.
Клебсиелла вызывает заболевания путем выработки энтеротоксина и мембранотоксина, которые наносят вред клеточным оболочкам. При разрушении капсулы клебсиеллы также выделяется эндотоксин. Заражение клебсиеллой происходит через воздушно-капельный путь, а также через употребление загрязненной пищи, немытых овощей и фруктов. Источниками инфицирования являются больные люди и носители клебсиеллеза. Передача инфекции от матери к ребенку возможна внутриутробно через плаценту или при прохождении через родовые пути. Инкубационный период составляет несколько дней. В организме человека клебсиелла образует слизистые колонии.
Клебсиелла пневмонии широко распространена в окружающей среде и вызывает аналогичные заболевания не только у людей, но также у животных. Она способна продолжительное время сохраняться на предметах бытового использования, в почве и воде, а также в молочных продуктах (бактерия может длительное время пребывать и размножаться в холодильнике). Клебсиелла чувствительна к дезинфицирующим средствам и тепловой обработке (погибает через час при нагревании до 65 градусов). В анаэробных условиях почвы 30% штаммов бактерий способны связывать свободный азот и сохранять свою жизнеспособность.
В последние годы роль клебсиеллы пневмонии в распространении внутрибольничных инфекций значительно возросла. Особенно высок риск заражения у пациентов, которым устанавливают внутривенные или мочевыводящие катетеры, а также проводят процедуры, связанные с воздействием на органы дыхания (например, ингаляции, искусственная вентиляция легких и другие). Поскольку бактерия способна сохраняться во внешней среде в течение длительного времени, характерно формирование устойчивых очагов внутрибольничного заражения.
У здоровых людей не более 30% случаев бессимптомного носительства микроорганизмов из кишечника, а клебсиелла присутствует в ротовой полости у 1-6% населения. В условиях больниц частота выделения клебсиеллы пневмонии увеличивается до 77% из кишечника, до 19% из носоглотки и до 42% с поверхности рук. Высокая распространенность инфекции в больницах также связана с тем, что клебсиеллы способны образовывать биопленки на различных поверхностях, особенно на внутривенных и мочевых катетерах, а также на эндотрахеальных трубках.
Наиболее часто клебсиеллез обнаруживается у мужчин среднего и пожилого возраста. Следующие факторы увеличивают риск заболевания:
- склонность к заболеваниям органов дыхания, особенно обструктивные заболевания легких;
- пожилой возраст;
- сопутствующие инфекционные заболевания;
- состояния иммунодефицита;
- злоупотребление алкоголем;
- сахарный диабет;
- сердечная недостаточность, заболевания печени и почек;
- продолжительная глюкокортикоидная терапия;
- неконтролируемое применение антибиотиков;
- неблагоприятные профессиональные условия (загрязненный воздух, работа в медицинских учреждениях).
Особенности терапии
Излечение инфекции, вызванной бактерией клебсиелла пневмония, требует госпитализации и непрерывного медицинского наблюдения. Лечение включает применение нескольких видов лекарственных препаратов:
- Использование антибиотиков является наиболее эффективным способом остановить распространение палочки. Иногда может потребоваться несколько попыток для правильного подбора препарата, однако антибиотики обычно быстро справляются с бактерией.
- Пробиотики и бактериофаги представляют собой более мягкий метод лечения, так как эти препараты подбираются специально для воздействия на клебсиеллу пневмония. Они часто применяются при лечении детей.
- Препараты, которые выводят токсины, помогают справиться с интоксикацией, вызванной разложением бактерий и их продуктов жизнедеятельности.
- Препараты от кашля помогают облегчить один из самых мучительных симптомов заболевания – кашель, сопровождающийся болезненными ощущениями.
- Иммуномодулирующие препараты помогают восстановить иммунитет после серьезной атаки организма бактериями.

Для лечения клебсиелльной пневмонии необходимо принимать антибиотики в сочетании с пробиотиками, чтобы снизить негативное воздействие на кишечник. Также рекомендуется принимать жаропонижающие препараты, поскольку температура тела может подниматься до высоких значений.
Особенности бактерии клебсиелла пневмония
Клебсиелла пневмонии, или заболевание, вызванное этой бактерией, является довольно редким и обнаруживается только у 4% больных. Этот вид воспаления легких характеризуется образованием большого количества очагов, которые быстро объединяются и распространяются на большие участки тканей.
Чаще всего пневмония, вызванная клебсиеллой, приводит к развитию плеврита, фибринозного или экссудативного характера. Кроме того, этот микроорганизм способствует блокировке сосудов в легких, что может привести к развитию инфаркта.
Форма бактерии определяется как круглая палочка, причем ее длина не превышает 2 микрометров. Этот вид бактерии не обладает способностью к передвижению и не образует споры, однако способен формировать капсулы. Микробы этой бактерии могут находиться в одиночку, парами или в больших скоплениях.
Интересный факт из истории! Первооткрывателем бактерии был микробиолог Карл Фридлендер из Германии, поэтому она получила название Фридлендера. Ранее считалось, что Klebsiella pneumoniae является причиной воспаления легких, но позднее было установлено, что она оказывает вредное воздействие на органы дыхания, желудочно-кишечный тракт, половую систему и мочевыделительную систему.
Идеальной средой для умножения и роста бактерий считается анаэробная среда, однако избыточное количество кислорода не способствует их устранению. При неблагоприятных условиях бактерии образуют защитные капсулы, и погибают они только после часового пребывания в среде с температурой 65 градусов.
Почему бактерия Klebsiella pneumoniae, которая всегда присутствует в нашем организме, начинает проявляться только в определенный момент? Что вызывает заболевание? Под воздействием каких неблагоприятных факторов эта бактерия становится патогенной:
- зависимость от наркотических средств и алкоголя;
- ослабленный иммунитет;
- лечение антибактериальными препаратами;
- неправильная гигиена;
- диабет типа 2;
- частые простуды и грипп.
При наличии знаний о возбудителе заболевания и проведении специальных анализов специалист способен поставить правильный диагноз и назначить соответствующее лечение. Симптомы пневмонии, вызванной клебсиеллой, невозможно выявить сразу, они проявляются лишь спустя несколько дней, а иногда и месяцев. Развитие заболевания напрямую зависит от состояния иммунной системы. Клебсиелла действует как токсин и проходит через три периода, каждый из которых сопровождается собственными симптомами.
- Мембранотоксин. Проникает в общий кровоток и распространяется на здоровые клетки организма.
- Эндотоксин. Образуется в процессе разложения микроорганизмов.
- Термостабильный энтеротоксин. Воздействует на стенки кишечника и его слизистую оболочку.
Симптомы пневмонии, вызванной клебсиеллой, варьируются в зависимости от пораженного участка органа. Например, поражение легких может проявиться следующими признаками:
- очевидные признаки отравления;
- увеличение температуры, признаки озноба и лихорадки;
- увеличенное выделение пота;
- неприятный запах изо рта;
- кашель с отхождением мокроты, содержащей кровяные примеси.
При заражении бактериями и поражении мочевыделительной системы у взрослых могут наблюдаться следующие признаки клебсиеллезного пневмонита:
- неприятные ощущения при мочеиспускании;
- интенсивная боль в области почек, ощущение тяжести в боку;
- внезапные колебания температуры тела;
- человек испытывает сильную жажду;
- общее недомогание, ощущение слабости.
Если была обнаружена клебсиеллезная палочка, необходимо немедленно начать лечение пневмонии, вызванной клебсиеллой, с использованием антибактериальных препаратов. В противном случае болезнь будет продолжать прогрессировать, поражая здоровые органы и вызывая новые симптомы. Несвоевременное лечение может привести к обострению фридлендоровской пневмонии, отеку мозга или легких, менингиту, энцефалиту, инфекционно-токсическому шоку, а в особенно тяжелых случаях может наступить летальный исход или возникнуть риск рецидива.
Профилактические меры
Не существует разработанных профилактических методов борьбы с клебсиеллой.
Избежать заболевания можно, следуя основным принципам защиты:
- Точно следовать правилам личной гигиены.
- Хранить продукты питания в строгом соответствии с санитарными нормами.
- Соблюдать принципы септической и антисептической обработки в медицинских помещениях.
- Поддерживать и стимулировать иммунитет вне зависимости от возраста.
Улучшить работу иммунной системы может препарат под названием «Трилакт». Он содержит активные лактобактерии, которые обладают высокой иммуностимулирующей активностью.
Этот препарат способен защитить организм от инфицирования клебсиеллой и предотвратить превращение возбудителя из условно-патогенных форм в патогенные. Он широко используется при заражении этим микроорганизмом.
Активные компоненты, входящие в состав продукта, являются естественной микрофлорой для кишечника человека. Таким образом, образуется защитный барьер, который предотвращает проникновение клебсиеллы в организм.
Использование препарата «Трилакт» способствует активизации естественного движения пищеварительной системы. Это позволяет быстрее выводить токсичные вещества, выделяемые патогенами в процессе их жизнедеятельности в организме.
Микроорганизмы рода Лактобактерии способствуют обновлению клеток печени, что имеет важное значение для здоровья пациента, поскольку печень является одним из основных органов детоксикации в организме человека. Одним из ключевых преимуществ препарата «Трилакта» является его способность ограничивать размножение патогенных форм.
Строгое соблюдение норм личной гигиены является основным способом профилактики любого инфекционного процесса, вызванного возбудителями кишечной группы. Эти правила крайне важны как для взрослых, так и для детей.
Следуя простым, но эффективным советам, можно значительно снизить риск возникновения клебсиеллы у ребенка:
- Регулярно помывайте руки малыша с использованием детского мыла. Это простое действие поможет предотвратить большинство проблем.
- Бутылки, соски и посуду необходимо обрабатывать специальными средствами, желательно проводить стерилизацию.
- Приобретайте все продукты, особенно мясо, рыбу и молочные продукты, в специализированных магазинах. Не рискуйте покупать пищевые продукты для малыша в непроверенных и сомнительных местах.
- Важно правильно термически обрабатывать все продукты, особенно те, которые быстро портятся.
- Не игнорируйте рекомендуемые сроки хранения продуктов, указанные на их упаковке.
- Родители должны тщательно следить за своим здоровьем, чтобы обезопасить ребенка.
Симптомы клебсиеллеза
Большинство клебсиллезных инфекций вызваны двумя видами бацилл:
- пневмония, вызванная клебсиеллой или бактерия Фридлендера;
- окситока клебсиеллы.
Среди одиннадцати выделенных на данный момент видов бактерий, эти два наиболее распространены в нормальной микрофлоре человека. Поэтому неудивительно, что именно они чаще всего вызывают заболевания.
Признаки в каждой ситуации различаются в зависимости от:
- местоположение инфекции — какие органы или системы организма заражены бактериями;
- состояние больного.
Как правило, заболевания, вызванные клебсиеллой, имеют более серьезное течение по сравнению с аналогичными заболеваниями, вызванными другими возбудителями.
Поражение легких
Пневмония (воспаление легких) может быть вызвана:
- инфекции;
- патогены;
- микроорганизмы.
В прошлом клебсиелла пневмонии рассматривалась как причина исключительно пневмонии. Позже выяснилось, что клебсиеллы чаще всего вызывают расстройства желудочно-кишечного тракта и ответственны лишь за небольшой процент бактериальных пневмоний, однако данное название осталось.
Не каждый случай пневмонии, вызванной бактериальной инфекцией, является клебсиеллезом, однако каждое поражение легких клебсиеллезом у детей и взрослых характеризуется особенно серьезным течением.
Признаки схожи с признаками любой другой бактериальной пневмонии:
- внезапное начало заболевания;
- повышенная температура тела — обычно достигает 39°C, но может быть еще выше;
- чувство холода;
- интенсивный кашель;
- обильное густое кровянисто-слизистое отделение.
Клебсиелла представляет особую опасность для ткани альвеол. Поражение этой бактерией может вызвать развитие гнойных процессов, которые могут привести к некрозу тканей. Патологические изменения в альвеолах при клебсиеллезе часто приводят к частичной или полной ателектазии легких.
Поражение верхних дыхательных путей
Точка соприкосновения органов пищеварения и дыхания в верхней части гортани играет важную роль в разграничении верхних и нижних дыхательных путей. Профессионалы отоларингологии занимаются проблемами, связанными с верхними дыхательными путями.
Существует три подвида клебсиеллы пневмонии:
- заболевание озены;
- заболевание риносклеромы;
- собственно заболевание пневмонии.
У 80% людей, у которых есть проблемы с запахом тела, обнаруживается определенный тип клебсиеллы, что позволяет предположить, что эта бактерия может быть причиной этого патологического процесса.
Основной признак озены – интенсивный неприятный запах из носовых проходов, который часто не осознается больным, но отчетливо ощущается окружающими. Это заболевание способно затронуть слизистую оболочку носа, глотки, гортани и трахеи.
Клебсиелла риносклеромы может вызвать риносклерому, специфическое заболевание, при котором на слизистой оболочке верхних дыхательных путей появляются узелки, постепенно увеличивающиеся в размерах. Это хроническое заболевание приводит к образованию рубцовой ткани, что неизбежно приводит к ухудшению их функций.
Поражение ЖКТ
Самым распространенным заболеванием, вызванным клебсиеллой, являются инфекции кишечника. Клебсиелла пневмонии начинает колонизацию ЖКТ человека в течение первых 5-6 дней его жизни. Окружающие люди, такие как родители и медицинский персонал, становятся источником этой условно-патогенной флоры.
Так же как и при остальных формах клебсиеллеза, поражение желудочно-кишечного тракта начинается быстро, сопровождаясь следующими симптомами:
- интенсивные приступы боли в различных областях живота — зависит от пораженного участка пищеварительной системы, усиливаются при пальпации живота;
- чувство тошноты и рвота (до восьми раз в течение дня);
- общее ощущение физической слабости;
- частая и обильная диарея.
Часто дети в возрасте до года попадают в больницу из-за обезвоживания и необходимости восполнения уровня жидкости в организме. При продолжительном заболевании могут возникнуть признаки отравления организма продуктами жизнедеятельности бактерий.
Поражение мочевыводящей и половой систем
Если на слизистых оболочках или в кишечнике присутствует клебсиелла, это считается нормой, но в мочевыводящих путях эта бактерия всегда является патогенной. Во влагалищной флоре клебсиеллы обычно появляются из-за нарушения нормальной микрофлоры после приема антибиотиков.
Инфекции мочевыводящей системы, вызванные бактериями, более распространены у женщин из-за особенностей анатомии, в частности из-за короткой уретры, через которую возбудители чаще попадают в мочевой пузырь по сравнению с мужчинами.
Обычно они немедленно выводятся мочой, если все в порядке, но если организм ослаблен, бактерии могут задержаться, размножиться и проникнуть в почки.
В начальной стадии заражения возможно появление озноба, усталости, желания лечь после продолжительного стояния, повышения температуры тела. Позднее к этим признакам могут добавиться боли в пояснице. Воспалительные процессы в почках могут быть скрыты под симптомами ОРЗ.
Клебсиелла пневмония диагностика
Для выявления вредной микрофлоры необходимо пройти комплексное обследование и выполнить ряд лабораторных исследований. Поскольку специфические признаки отсутствуют, определить наличие клебсиеллеза и условно-вредной флоры весьма сложно путем сбора данных анамнеза. Специалисту для установки окончательного диагноза предстоит исследовать такие биологические жидкости, как мокрота, секционный материал, моча, желчь, кровь и даже спинномозговая жидкость.
Основу составляет бактериологическое, бактериоскопическое и микробиологическое обследование клебсиеллы для посева на питательной среде. Этот метод является информативным, поскольку микроорганизмы можно обнаружить под микроскопом. При микробиологическом анализе в лаборатории производится посев грамотрицательных бактерий с использованием мазков из носоглотки или влагалища. Также возможны посевы мокроты, кала, мочи и зева. Вероятность получения достоверных результатов высока.
Klebsiella pneumoniae в моче
Если в моче обнаружены патогенные микроорганизмы, инфекция может распространиться по мочевыделительной системе и половым органам, вызывая заболевания, такие как пиелонефрит, цистит и воспаление предстательной железы. Наличие Klebsiella pneumoniae в моче может быть выявлено бактериологическим методом исследования, что приводит к помутнению биологической жидкости, а также возможному наличию крови. Симптомы инфекции могут включать жжение при мочеиспускании, зуд в области внешних половых органов и внутренний дискомфорт.
Klebsiella pneumoniae в кале у грудничка
Если в ходе лабораторного анализа обнаружена клебсиелла пневмонии в фекалиях, то патологический процесс сконцентрирован в органах ЖКТ. Источником инфекции могут стать зараженные продукты питания, неправильное соблюдение правил личной гигиены и контакт с инфицированным человеком. Чаще всего клебсиелла обнаруживается в кале у грудных детей, что сопровождается острыми симптомами дисбактериоза и пищевого отравления. Доктор Комаровский утверждает, что характерное заболевание усугубляется при длительном применении антибактериальной терапии, проблемах с пищеварением и склонности к аллергическим реакциям.
Klebsiella pneumoniae в мазке из цервикального канала
Исследование характеристик необходимо проводить для оценки текущего состояния матки и других органов репродуктивной системы. Обнаружение Klebsiella pneumoniae в мазке может происходить случайно, даже при отсутствии симптомов, например, при планировании беременности и во время ее прогрессирования. Перед зачатием ребенка рекомендуется провести очистку микрофлоры с использованием консервативных методов, чтобы избежать повторного заражения и осложнений во время беременности.
Клебсиелла пневмония в зеве
Если возникает острая боль в горле, кашель с отделением мокроты, заложенность носа и повышенная температура, возможно, развивается инфекция нижних дыхательных путей вызванная клебсиеллой пневмонии. Этот вредоносный микроорганизм проникает в здоровые ткани, вызывая их разрушение и атрофию. Наличие Klebsiella pneumoniae в горле представляет серьезную угрозу, требующую своевременного и эффективного лечения. Для подтверждения диагноза проводится анализ биологической жидкости (мазок из зева), а также используются бактериологические методы диагностики и рентгенография.
Частые вопросы
Какие симптомы могут указывать на наличие клебсиеллезной пневмонии?
Клебсиеллезная пневмония может проявляться высокой температурой, кашлем с гнойной мокротой, болью в груди, одышкой и слабостью.
Какие другие симптомы могут сопровождать клебсиеллезную пневмонию?
Помимо основных симптомов, пациенты с клебсиеллезной пневмонией также могут испытывать сильную слабость, потерю аппетита и боли в мышцах.
Полезные советы
СОВЕТ №1
Обратите внимание на симптомы, характерные для клебсиеллезной пневмонии, такие как высокая температура, кашель с гнойной мокротой, затрудненное дыхание и боль в груди.
СОВЕТ №2
При появлении подобных симптомов обратитесь к врачу для проведения диагностики и назначения соответствующего лечения.
СОВЕТ №3
Соблюдайте профилактические меры, такие как регулярное мытье рук, избегание контакта с больными и укрепление иммунитета, чтобы предотвратить заболевание клебсиеллезной пневмонией.













