Лечение
Стрептококковая пневмония, так же как и другие формы воспаления легких, требует немедленного лечения. Лечение, направленное на уничтожение возбудителя заболевания, осуществляется с помощью антибиотиков, поскольку только они способны уничтожить бактерию и привести к прекращению ее воздействия на организм.
Необходимо сразу начинать прием антибиотиков сразу после постановки диагноза. Это очень важно!
Перед проверкой чувствительности вредоносного микроорганизма к антибиотикам (эмпирическая терапия) применяются антибиотики, охватывающие широкий спектр действия:
- антибиотики пенициллинового ряда;
- препараты цефалоспоринов 2-3 поколения;
- медикаменты макролидной группы;
- фторхинолоновые антибиотики;
- препараты аминогликозидов;
- карбапенемные антибиотики.
Если не наблюдается улучшения состояния в течение 48 часов, то препарат заменяется. После определения чувствительности бактерий проводится коррекция лечения на основе полученных результатов.
В дополнение к этому, при лечении применяется множество препаратов, относящихся к симптоматической или патогенетической терапии, которые способствуют более быстрому выздоровлению:
- препараты, способствующие разжижению мокроты и улучшению ее отхождения (повышают дренажную функцию бронхов и помогают очистить их);
- препараты, уменьшающие воспаление и снижающие температуру (нестероидные противовоспалительные средства);
- терапия, направленная на модуляцию иммунной системы (включая витамины, минеральные вещества и иммуномодуляторы).
Кроме того, правильное и сбалансированное питание играет важную роль в процессе лечения пневмонии, поскольку оно способствует восстановлению здоровья организма.
Когда состояние пациента улучшается, можно начать проводить физиотерапевтические процедуры и занятия лечебной физкультурой:
- вдыхание лекарственных препаратов;
- массаж с использованием вибрации;
- терапия ультравысокочастотными волнами;
- упражнения для улучшения дыхания.
Все данные методы и тренировки помогают улучшить процесс удаления мокроты и восстановить работу легких.
Особенности стрептококковой пневмонии
Самыми распространенными возбудителями пневмонии являются пневмококки, также известные как стрептококк пневмонии. Воспаление легких может быть вызвано бета-гемолитическими стрептококками и пептострептококками. Источник возбудителя — это воздушно-капельный путь от больных и носителей. Часто заболевание проявляется во время эпидемий гриппа у пациентов с хроническими заболеваниями легких. Стрептококк пневмонии является причиной воспаления легких у детей раннего возраста и у людей с ослабленной иммунной системой. Стрептококки способствуют развитию гнойных осложнений.
Пневмонии, вызванные стрептококками, широко распространены из-за того, что эти микроорганизмы присутствуют в нормальной микрофлоре человека. Они могут активизироваться и вызывать воспалительные процессы, когда сопротивляемость организма ослаблена. Это происходит под воздействием различных факторов:
- неправильного использования антибиотиков;
- врожденных и приобретенных нарушений иммунной системы;
- длительных заболеваниях органов дыхания;
- на опасном производстве;
- неблагоприятных бытовых условиях.
Стрептококк пневмонии проникает в организм и вызывает воспаление лёгких через следующие маршруты:
- путем проникновения в организм через бронхи и легкие;
- путем распространения через кровь;
- путем передвижения по лимфатической системе.
Когда стрептококковая пневмония поражает легочную ткань, она вызывает воспалительную реакцию, в результате которой жидкость начинает накапливаться в альвеолах.
Лечение
Инфекция, вызванная стрептококками, способна затронуть практически все органы и системы организма, начиная от кожи и заканчивая почками и сердцем. Поэтому необходимо индивидуально подбирать методы лечения в зависимости от степени тяжести заболевания и его первоначального очага. Подход к лечению стрептококка в носу зависит от стадии заболевания и других сопутствующих факторов.
Детей
Для излечения стрептококка в носовой полости у маленького пациента необходимо применять комплексный подход, включающий в себя лечение причинно-воспалительного процесса и симптоматическую терапию. У детей стрептококковая инфекция чаще всего проявляется в виде скарлатины, поэтому лечение должно быть направлено на борьбу с этим заболеванием.
Прежде всего, немаловажную роль играют нефармакологические методы лечения, включающие соблюдение постельного режима и диету, с основным упором на низкокалорийную пищу. Потребление белков во время заболевания следует уменьшить
Не рекомендуется воздействовать на глотку теплыми или холодными продуктами, поэтому пища и напитки должны быть при комнатной температуре.
Во-вторых, стрептококк реагирует на антибиотики пенициллинового ряда. Самыми распространенными препаратами этой категории являются:
- Препарат бензилпенициллин;
- Препарат феноксиметилпенициллин;
- Препарат флемоксин Солютаб;
- Препарат амоксиклав.
Если у пациента есть индивидуальная непереносимость, то врач может назначить антибиотики из другой группы. Если температура начинает снижаться на следующий день после приема антибиотиков, это говорит о чувствительности болезнетворной микрофлоры к лекарствам и предвещает благоприятное выздоровление.
Для улучшения общего состояния организма можно воспользоваться применением препаратов, снижающих температуру (например, ибупрофен, парацетамол). Не рекомендуется давать детям до 15 лет аспирин из-за возможных нежелательных последствий.
В случае отсутствия своевременного назначения лечения, болезнь может продолжаться до двух недель и привести к осложнениям в виде пневмонии, менингита или абсцесса легочной ткани.
Взрослых
Поскольку стрептококк – это микроорганизм, основной метод лечения заключается в применении антибактериальных препаратов. Наиболее эффективными в борьбе с этим возбудителем являются антибиотики, относящиеся к группе бета-лактамов. В случае, если обнаружен устойчивый к ним штамм и бета-лактамы не проявляют достаточного эффекта, то прибегают к применению более мощных антибиотиков из группы цефалоспоринов или макролидов.
Также важно уделить внимание симптоматическому лечению, которое включает применение иммуномодуляторов. Препараты этой категории помогают восстановить работу иммунной системы и придать организму сил для борьбы с инфекцией. Кроме того, ускорить выздоровление можно с помощью витаминных комплексов. Часто иммунитет ослаблен из-за недостатка витаминов, поэтому применение специальных комплексов способствует лечению и профилактике стрептококковых инфекций.
При серьезных случаях, когда применение антибактериальных препаратов для лечения стрептококка в носу не приносит результатов, используют бактериофаги. Это специальная категория лекарств, которую применяют только в особых ситуациях. Одним из основных преимуществ бактериофагов является их широкий спектр действия, что позволяет бороться с большим количеством различных штаммов по сравнению с антибиотиками.
Диагностика заболевания
Сильное начало заболевания существенно увеличивает вероятность того, что пациент обратится к медицинскому специалисту уже на ранней стадии пневмонии, что при правильном выявлении заболевания предоставляет хорошие перспективы для успешного лечения. Первоначальный диагноз обычно устанавливается на основе следующих факторов:
- прошлое перенесение других заболеваний (например, гриппа, фарингита, коклюша и других);
- ярко выраженные признаки заболевания;
- выявление экссудативного плеврита с характерной гнойной выделением;
- выявление бактерий стрептококка в мазках мокроты;
- выявление отклонений в анализе крови.
Основу начального выявления составляет точный анализ истории болезни. Пальпаторное обследование выявляет ослабление звучности в зоне поражения, особенно в участке, где находится жидкость в плевре.
При проведении аускультации определяются области, в которых наблюдается затрудненное дыхание и появление хрипов. Наиболее эффективным методом диагностики является рентгенография, которая позволяет получить изображение участков тканей легких, подверженных затемнению, а также выявить наличие гнойной жидкости при плеврите. Общий анализ крови позволяет выявить следующие показатели:
- увеличение количества лейкоцитов и возможное изменение соотношения различных типов лейкоцитов в крови;
- изменение скорости оседания эритроцитов;
- наличие низкого уровня тромбоцитов, а возможно, и недостаточного количества эритроцитов.
Микробиологическое исследование позволяет установить диагноз стрептококковой пневмонии более точно. Этот метод анализа бактерий позволяет определить возбудителя и его количество, а также оценить его устойчивость к медикаментам.
Для более точного определения и различения стрептококковой пневмонии от других заболеваний используется комплексная дифференцированная диагностика, которая включает УЗИ, биологические и биохимические тесты, компьютерную томографию и другие эффективные методы.
Стрептококк пневмония у детей
Стрептококковая инфекция легких чаще возникает осенью и весной, так как бактерии предпочитают влажную и теплую погоду. Иногда пневмония может развиться как осложнение другого заболевания, вызванного этим же возбудителем.
Иногда возникают различные варианты заболевания, когда инфекция проникает непосредственно в легкие, не затрагивая другие части организма. Например, стрептококковая инфекция может попасть в легочные ткани через лимфатическую систему или инфицированную кровь.
- нос — если слизистая носа поражена, у ребенка может появиться насморк;
- зев — это может быть ангина;
- горло — возможно, это ларингит или фарингит;
Поскольку заразиться инфекцией возможно через контакт или воздушно-капельный путь, а сами бактерии обладают высокой стойкостью, источником заражения может стать любой предмет личной гигиены зараженного человека.
Часто в детских учреждениях происходят массовые случаи заражения острой ангиной или пневмонией. Возбудителем таких заболеваний является стрептококк, который передается от больных детей к здоровым.
Поэтому крайне важно своевременно выявить наличие стрептококковой инфекции в носу или горле у ребенка и начать лечение. Какие симптомы
Как проявляется
При увеличении числа бактерий происходит быстрое развитие отравления организма больного. К симптомам поражения горла стрептококковой пневмонией относятся:
- ощущение резкой боли в области горла;
- повышение температуры тела (от 38,5 до 39 градусов);
- состояние лихорадки;
- воспаленные миндалины с налетом серого цвета;
- увеличенные лимфоузлы под челюстью.
Основные признаки воспаления легких включают в себя:
- повышение температуры тела;
- кашель (иногда с отделением крови);
- сильное ощущение холода;
- боль в груди;
- ощущение утомления, слабость;
- выявление стрептококков в моче при лабораторных тестах.
Отличительной чертой стрептококковой пневмонии являются переменные хрипы при прослушивании. При развитии плеврита меняется звук при перкуссии и замедляется дыхание на пораженной стороне.
Симптомы и клиническая картина
Заболевание начинается внезапно с повышения температуры тела, сильного озноба, мышечной боли, болей в суставах, затрудненного дыхания, кашля, отхаркивания крови, ухудшения работоспособности, значительной усталости и боли в боку. Быстро прогрессирует отравление организма.
При возникновении серьезных осложнений у больного проявляются признаки недостаточности дыхания или сердечно-сосудистой системы, что может привести к серьезным последствиям. В этом случае наблюдается синюшность конечностей, потеря памяти, учащенное сердцебиение, нарушения ритма сердца и приступы удушья.
При развитии экссудативного плеврита пациент испытывает дискомфорт в области бока. При этом наблюдается смещение органов средостения в сторону. Экссудативные плевриты часто возникают у детей – в 1/3 случаев.
Иногда патологические изменения могут вызвать образование длительных гнойных полостей в легких.
Кроме того, инфекция легких, вызванная стрептококками, может привести к развитию гнойного воспаления сердечной оболочки, поражению почечных клубочков и сепсису.
Корректно составленная медицинская история позволит легко определить возможный источник начала заболевания – будь то предыдущий случай ангины или недавнее переохлаждение под дождем.
- При перкуссии можно обнаружить угасание перкуторного звука в области поражения. Если развивается экссудативный плеврит, угасание звука можно услышать на всем уровне жидкости.
- Аускультация предоставляет возможность точно выслушать зону с пониженным везикулярным дыханием, наличием хрипов и свистов.
- Рентгенография является одним из наиболее информативных методов диагностики пневмонии. На рентгенограмме можно заметить зоны затемнения легочного рисунка, а в случае развития плеврита – уровень жидкости.
- Общий анализ крови может вызвать подозрение на возбудителя. При стрептококковой пневмонии отмечается нейтрофильный лейкоцитоз с сдвигом лейкоцитарной формулы влево, увеличение СОЭ, тромбоцитопения, иногда – анемия.
- Важной частью установления диагноза является бактериологический анализ. С его помощью можно точно определить возбудителя и проверить его чувствительность к антибиотикам, что позволяет выбрать наиболее подходящий препарат. Также учитывается количество условно-патогенных микроорганизмов, которых в норме не превышает 10 в 5 – 10 в 6 степени.
Необходимо провести дифференциальную диагностику и с другими видами пневмонии, включая атипичные формы. Однако чаще всего стрептококковую пневмонию путают со стафилококковой. Это серьезная ошибка, поскольку при стафилококковой пневмонии обычно наблюдается мокрота с ржавым оттенком, в то время как при стрептококковой она отсутствует. Кроме того, стрептококковая инфекция часто сопровождается образованием гнойной плевральной эмпиемы, что не характерно для стафилококковой пневмонии.
Стафилококк
Пневмония, вызванная стафилококками, встречается чаще других видов этого заболевания. Этот вид пневмонии вызывается стафилококковой инфекцией, которая остается устойчивой даже к пенициллину.
Воспаление тканей легких, вызванное этим микроорганизмом, представляет собой наиболее сложную стадию инфекции, вызванной стафилококками. Оно часто возникает как у взрослых, так и у детей. У грудных младенцев иногда заболевание является реакцией на пребывание в роддоме, где они могли быть заражены стафилококком. Иногда болезнь проявляется вне больницы.
Почти в каждом случае у детей диагностика заболевания проходит успешно, и назначается соответствующее лечение. У взрослых чаще возникают трудности с установлением диагноза, что может привести к осложнениям и даже смертельным последствиям.
Пневмония, вызванная стафилококковой инфекцией, может проявляться как первичная форма, напрямую поражающая легкие, или как вторичная форма, развивающаяся из других очагов воспаления. Вирусные инфекции, ослабляющие иммунитет, также могут спровоцировать эту форму пневмонии. Особенно опасным является сочетание стафилококковой пневмонии с гриппом или туберкулезом.
При таком виде воспаления легких нельзя применять амбулаторное лечение. Его сопровождают повышение температуры, образование некрозов, появление булл, изменчивая температура, расстройства пищеварения и другие симптомы.
Пневмония, вызванная стафилококковой инфекцией, проявляется по-разному в зависимости от возраста: у детей она часто протекает в тяжелой и острой форме.
Лечение стрептококковой пневмонии
Лечение воспаления лёгких, вызванного стрептококком, проводится в клинике терапии. Начальное лечение антибиотиками пульмонологи назначают до получения результатов бактериологического исследования. Выбор антибиотика терапевты осуществляют на основе данных клинического и рентгенологического обследования методом эмпирического подхода.
При умеренном воспалительном процессе в легких, вызванном стрептококковой пневмонией, проводится лечение одним антибиотиком для перорального приёма. Пациентам рекомендуется принимать амоксициллин или макролиды (кларитромицин, мидекамицин, спирамицин). В случае наличия противопоказаний к использованию этих антибиотиков применяются респираторные фторхинолоны III–IV поколения. Если в течение 48-72 часов начальной терапии не наблюдается улучшения или симптомы заболевания усиливаются, пациента направляют в стационар для проведения дальнейшего лечения.
При лечении стрептококковой пневмонии рекомендуется использовать защищённый аминопенициллин (например, амоксициллин клавулановая кислота) или цефалоспорин II поколения (например, цефуроксим аксетил). У отдельных пациентов может быть назначен фторхинолон III–IV поколения. Если пероральное применение цефалоспоринов невозможно, цефтриаксон, антибиотик III поколения из группы цефалоспоринов, может быть введен внутримышечно 1 раз в сутки. На следующем этапе антибиотикотерапии к b-лактаму добавляют макролид или назначают монотерапию фторхинолоном III–IV поколения.
Пациенты, находящиеся в стационаре терапевтической клиники, получают комбинированное антибактериальное лечение, включающее в себя парентеральное применение защищенного аминопенициллина (например, амоксициллин клавулановой кислоты, ампициллин сульбактама) или цефалоспорина II–III поколения (например, цефуроксим, цефтриаксон) в сочетании с макролидом. На следующем этапе антибиотикотерапии применяют карбапенем или фторхинолон III–IV поколения.
Пациенты с тяжелым течением стрептококковой пневмонии, которые были госпитализированы в отделение реанимации и интенсивной терапии, получают немедленное назначение антибактериальной терапии со стороны пульмонологов Юсуповской больницы. Это связано с тем, что даже небольшая задержка в назначении антибиотиков, даже на 4 часа, значительно увеличивает риск летального исхода. Пациентам вводят внутривенно защищенный аминопенициллин или цефалоспорин III поколения в сочетании с макролидом. В качестве альтернативы используется комбинация фторхинолона III–IV поколения с b-лактамом.
Пациенты, страдающие от стрептококковой пневмонии и находящиеся в Юсуповской больнице, получают иммуномодулирующую терапию, включающую левамизол, зимозан, диуцифон, Т-активин и тималин. Для восстановления общей устойчивости организма им также назначают витаминно-минеральные комплексы, биогенные стимуляторы и адаптогенные средства.
Для восстановления проходимости бронхов используются бронхолитические препараты и средства, которые разжижают слизь в бронхах. Ингаляционное введение бронхолитических препаратов с помощью небулайзеров является предпочтительным методом. Пролонгированные теофиллины принимаются пациентами внутрь.
Если у вас появились первые симптомы пневмонии, рекомендуется позвонить в Юсуповскую больницу, где специалисты подберут оптимальную схему лечения воспаления лёгких. В случае стрептококковой пневмонии у детей, лечение проводят педиатры в сотрудничающих клиниках.
Диагностика стрептококковой пневмонии
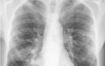
Пульмонологи устанавливают диагноз стрептококковой пневмонии после осмотра пациента, изучения его медицинской истории, анализа результатов лабораторных и инструментальных исследований. Наиболее эффективным методом диагностики, который позволяет врачу определить наличие пневмонии и сделать выводы о характере возбудителя, является проведение рентгенографии в двух проекциях или крупнокадровой флюорографии.
При просмотре рентгенограммы лёгких, очаги воспаления выглядят как местное снижение воздушности легочной ткани различной степени плотности и распространённости. У пациентов с заболеванием стрептококковой пневмонией могут быть выявлены признаки очагового, ограниченного (полисегментарного), субтотального и тотального затемнения.
Признаки снижения воздушности связаны с проникновением ткани лёгких. При тяжёлом течении заболевания стрептококковой пневмонией происходит некроз ткани лёгкого, её разрушение, что на рентгеновском снимке выглядит как неравномерное проникновение с образованием плотных полостей.
Пневмония, вызванная пневмококком (стрептококком пневмонии), характеризуется следующими рентгенологическими признаками:
- небольшое затемнение в легочной ткани, обычно сопровождается небольшим воспалением;
- воспаление целой доли легких, часто с поражением плевры и скоплением жидкости в плевральной полости;
- ограниченное затемнение нескольких сегментов легочной доли.
При развитии воспалительного процесса в лёгких, вызванного пиогенным стрептококком, специалисты по рентгенологии Юсуповской больницы выявляют на рентгенограммах частичное или полное затемнение лёгких, наличие полости с жидкостью или без неё, увеличение толщины плевры и скопление жидкости в плевральной полости.
Если рентгенологические методы исследования не могут установить точный диагноз, врачи Юсуповской больницы проводят компьютерную томографию, которая помогает выявить инфильтрацию легочной ткани и увеличение лимфатических узлов корня лёгкого. Эта процедура используется для различения пневмонии от рака лёгкого или туберкулёза.
Для оценки степени выраженности воспалительного процесса врачи Юсуповской больницы проводят общий и биохимический анализ крови. Стрептококковая пневмония характеризуется лейкоцитозом (повышенным содержанием лейкоцитов в периферической крови) с изменением лейкоцитарной формулы, увеличением скорости оседания эритроцитов. Наблюдается увеличение уровня фибриногена, сиаловых кислот, а также появление С-реактивного белка.
Исследование мокроты на наличие бактерий до назначения антибиотиков помогает выявить возбудителя пневмонии и определить его чувствительность к антибиотикам. Степень воспалительного процесса в бронхах оценивают с использованием диагностической бронхоскопии. При необходимости проведения дифференциальной диагностики во время процедуры выполняют биопсию лёгких для получения материала для микроскопического исследования.
Для выявления уровня вовлеченности других органов и систем в патологический процесс проводятся следующие исследования:
- проведение электрокардиографии – позволяет оценить работу миокарда;
- использование эхокардиографии – помогает выявить скопление жидкости вокруг сердца или наличие бактерий на клапанах сердца;
- анализ показателей функции внешнего дыхания — помогает оценить состояние проходимости бронхов.
Лечение
Антибиотикотерапия
Для лечения пневмонии, вызванной стрептококками, применяются антибиотики. Пенициллины (такие как Бензилпенициллин, Амоксициллин, Амоксиклав) относятся к основным препаратам, рекомендуемым в первую очередь.
При серьезных случаях заболевания используются в сочетании с препаратами второго и третьего поколений, макролидами (например, Азитромицин, Кларитромицин) и цефалоспоринами второго поколения (например, Эмсефом, Цефтриаксон, Эфмерин).
В начале антибиотики вводятся через вену, а затем, когда состояние пациента улучшается, назначаются препараты для принятия внутрь. Продолжительность лечения составляет от 2 до 3 недель.
Дополнительное медикаментозное лечение
При лечении с использованием антибиотиков пациенту обычно рекомендуют принимать пробиотики (например, Линекс, Лактовит, Энтерол, Энтерожермин) и антимикотики (например, Флуконазол, Дифлюзол).
Для ликвидации отравления применяется внутривенное введение солевых растворов или Глюкозы. При развитии гнойного плеврита рекомендуется проведение закрытого дренирования плевральной полости с удалением экссудата и промыванием антибиотиками или антисептиками.
Для того чтобы снизить температуру тела и уменьшить болевые ощущения, используются препараты из группы нестероидных противовоспалительных средств, чаще всего – на основе парацетамола и ибупрофена. Для лечения взрослых и детей старше 12 лет применяются препараты, содержащие ацетилсалициловую кислоту или нимесулид.
Поскольку заболевание быстро приводит к возникновению осложнений, чаще всего лечение осуществляется в стационаре. Смертность от этого заболевания не очень высока. Инфекция успешно поддается лечению антибиотиками.
Немедикаментозная терапия
После восстановления нормальной температуры тела, пациенту рекомендуется проходить физиотерапевтическую реабилитацию, включая УВЧ, лекарственный электрофорез и индуктотермию.
Для восстановления работы легких рекомендуется использовать ингаляционное лечение. Этот подход помогает очистить дыхательные пути, устранить сокращение бронхов и способствует восстановлению тканей.
Для избавления от застойных явлений рекомендуется проводить массаж грудной клетки. Также полезно заниматься лечебной физкультурой.
Необходимые условия для лечения дома
Для пациента с воспалением легких важно соблюдать постельный режим и ограничить физические нагрузки. Это поможет предотвратить возможные осложнения.
Важную функцию в процессе излечения разнообразных заболеваний легких выполняет правильное питание. В рационе пациента необходимо включить белок, что подразумевает регулярное употребление мяса, молочных продуктов, овощей и фруктов. Во время лечения следует исключить из рациона жареные, острые и соленые блюда.
Для быстрого избавления от интоксикации рекомендуется употреблять не менее двух литров жидкости в течение дня. Для этой цели подходят негазированная минеральная вода, чай, отвар шиповника, натуральный сок или компот.
Заболевание легких, вызванное стрептококками, является серьезным и требует немедленного и правильного лечения. Поэтому, если вы обнаружите признаки этого заболевания, важно обратиться к врачу-пульмонологу. В случае возникновения симптомов у ребенка, рекомендуется проконсультироваться с педиатром.
Какие заболевания провоцирует стрептококк в носу
Стрептококковая инфекция может вызвать различные заболевания, которые могут серьезно повлиять на общее состояние организма.
Ринит – это наиболее частое проявление стрептококковой инфекции в области носа. В большинстве случаев это вызвано вирусами, однако из-за нарушения иммунной системы может возникнуть бактериальное поражение слизистой оболочки носа. Узнать больше о рините →
Суть акутного тонзиллита заключается в бактериальном воспалении небных миндалин. Симптомы проявляются повышением температуры, изменением голоса, болевыми ощущениями при глотании. При ослабленных защитных реакциях инфекционный процесс может легко привести к осложнениям в виде воспаления лимфоузлов, абсцесса небных миндалин, ревматической лихорадки, гломерулонефрита.
Фарингит занимает третье место среди наиболее распространенных заболеваний. Это состояние характеризуется воспалением слизистой оболочки глотки, обычно задней стенки. В большинстве случаев фарингит вызывается распространением бактерий из носовой полости.
Скарлатина – это заболевание, которое чаще всего поражает детей и вызвано инфекцией, вызванной стрептококками. Бактерии перемещаются из носовой полости в глотку, где начинают активно размножаться и выделять в кровь токсин, который вызывает ухудшение состояния. Признаки скарлатины проявляются в виде сыпи, повышения температуры, общего недомогания и болей в суставах.
Бронхит — если воспалительный процесс распространяется ниже, то существует высокая вероятность поражения нижних дыхательных путей, что проявляется в виде воспаления бронхов. При высокой активности инфекции и/или ослабленной иммунной реакции пациента, бронхит может привести к осложнениям в виде пневмонии, плеврита или абсцесса паренхимы легких.
Пневмония – это острое заболевание дыхательных путей, вызванное инфекционным воспалением ткани легких. У детей младшего возраста пневмония чаще всего развивается из-за миграции стрептококка из носоглотки. Это связано с недостаточной развитостью защитных механизмов и слабым иммунитетом. Также этот вид пневмонии часто встречается у людей с ослабленной иммунной системой. Клинически заболевание проявляется продуктивным кашлем, повышением температуры, болью в грудной клетке и затрудненным дыханием.
Менингит является одним из наиболее редких, но в то же время наиболее серьезных осложнений стрептококковой инфекции. При менингите происходит поражение оболочек головного мозга, что проявляется клинически повышением температуры, головной болью, рвотой, которая не приносит облегчения, а также парезом конечностей. Статистически, дети младше 5 лет страдают от менингита чаще всего.
Лечение
Лечение стрептококковой пневмонии необходимо начать немедленно при появлении первых признаков заболевания. Чем раньше болезнь будет обнаружена, тем выше вероятность быстрого и эффективного восстановления.
Лечение стрептококковой пневмонии, так же как и любой другой формы этого заболевания, требует комплексного подхода с обязательным использованием антибактериальных препаратов. Это поможет устранить возбудителя заболевания, предотвратить возможные осложнения и улучшить состояние пациента.
Эффективное лечение стрептококковой пневмонии приводит к выздоровлению пациента уже через 8-10 дней. Важно обеспечить покой и соблюдать постельный режим.
Медикаментозным способом
Для лечения данного типа воспаления лёгких обычно применяют следующие препараты:
- Препараты с антибактериальным действием. Начальным этапом лечения является применение препаратов пенициллинового ряда (например, Ампициллин, Азлоциллин, Амоксициллин и другие). В случае выявления аллергии на эти средства, могут быть назначены антибиотики с ванкомицином в качестве действующего вещества, такие как: Ванкомицин, Ванкорус, Веро-Ванкомицин и другие. Дозировку, продолжительность приема и, при необходимости, замену на аналогичные препараты определяет и назначает только лечащий врач.
- Препараты, обладающие мочегонным действием (диуретики). Для вывода продуктов жизнедеятельности микробов и устранения признаков интоксикации необходимо применение данных препаратов (например, Фуросемид, Гипотиазид, Лазикс) в высокой дозе.
- Препараты-эубиотики. Для восстановления нормальной кишечной микрофлоры, нарушенной приемом антибиотиков, и устранения дисбактериоза рекомендуется применение средств, содержащих живые или высушенные лакто- или бифидобактерии. К этой группе относятся такие препараты, как Линекс, Бифидумбактерин, Нормобакт, Лацидофил.
- Витаминотерапия. Витамины активно участвуют в окислительных, восстановительных и обменных процессах организма, поэтому их назначение в комплексном лечении пневмонии обязательно. Однако не все витамины сочетаются с антибиотиками, и некоторые группы не рекомендуется принимать при высокой температуре. Подбор подходящего витаминного комплекса должен проводить специалист.
- Торакотомия – дренаж полости плевры. Эта процедура назначается при экссудативном плеврите. Суть ее заключается во введении внутриполостных трубок для удаления лишней жидкости из организма, после чего полость обрабатывается антисептическими средствами или антибиотиками.
- Электрофорез: уменьшает воспалительные процессы в поражённых местах.
- Ингаляции (чаще всего используется ): микрочастицы лекарственных препаратов из зева попадают в лёгкие, улучшая их функциональность и нормализуя работу дыхательной системы.
- Индуктотермия: применение магнитного поля с повышенными частотами в качестве асептической процедуры.
- Иглорефлексотерапия: используется на этапе, когда стрептококковая пневмония уменьшается и основные клинические проявления исчезают.
Применение физиопроцедур не рекомендуется во время острой фазы заболевания и при повышенной температуре тела.
Лечение народными средствами
В сборниках народной медицины можно найти множество рецептов, которые помогают бороться с инфекцией стрептококка. Они обычно направлены на укрепление защитных сил организма. Вот некоторые из наиболее популярных методов:
- Пюре из абрикоса – эффективное народное средство для борьбы с инфекцией.
- Пюре из чёрной смородины без добавления сахара укрепит иммунитет и придаст сил для активной защиты от инфекции.
- Отвар шиповника обогащен витаминами и поможет организму справиться с недугом. Необходимо взять 50 г свежих ягод или 80 г сушеных плодов шиповника, раздавить их и залить 1 литром кипятка. Прокипятите 3 минуты, остудите и употребляйте вместо воды.
- Лук и чеснок – сильные враги бактерий и вирусов. Употребляйте их в сыром виде.
- Отвар хмеля – известное народное средство от многих недугов. Необходимо взять 10 г сухих шишек растения, залить 0,5 л кипящей воды и оставить для остывания. Пейте отвар трижды в сутки натощак по 100 мл.
- При стрептококковой пневмонии рекомендуется использование народных мочегонных средств: отвары из листьев березы, толокнянки, брусники, земляники, пижмы, морс из таежных ягод. Кроме того, следует пить минимум 2 литра воды в сутки.
Что такое стрептококк пневмонии
В человеческом организме содержится огромное количество условно-патогенных бактерий, которые составляют естественную микрофлору и активно участвуют в работе органов и систем. Среди них находится Streptococcus pneumoniae – пневмококк, грамположительный анаэробный микроорганизм, относящийся к альфа-гемолитической группе. Этот стрептококк обладает следующими характеристиками:
- имеет округлую форму с диаметром 1 микрон;
- присутствует как отдельные частицы, образуя цепочки в жидкой среде;
- встречается в почве, воздухе, на растениях, в организмах людей и животных;
- предпочитает теплое и влажное окружение.
Стрептококк пневмонии остается незаметным, пока человек находится в состоянии здоровья. Однако, при снижении иммунитета по различным причинам, этот микроорганизм начинает активно размножаться. При достижении концентрации бактерий в 10 в пятой степени, начинается поражение организма. Это может привести к следующим негативным последствиям:
- возникновению осложнений респираторных заболеваний;
- повреждению тканей легких – развитию воспаления легких;
- возникновению заболеваний верхних дыхательных путей;
- образованию гнойных заболеваний.

Пути и условия поражения
Для бактерии стрептококка, которая может привести к развитию пневмонии, оптимальными условиями являются влажная и теплая среда, поэтому сезонное заболевание чаще возникает весной и осенью. Источником заражения является носитель стрептококковой инфекции. Распространение бактерии происходит несколькими способами:
- Распространение через воздушно-капельный маршрут происходит при вдыхании бактерий, которые могут оказаться в воздухе после чихания или кашля инфицированного человека.
- Контактно-бытовой путь передачи инфекции возможен при контакте с грязными руками, использовании общей посуды и предметов с больным, а также употреблении зараженных пневмококками продуктов.
Существует возможность спускающегося пути инфицирования, при котором стрептококковая пневмония, находясь в носу, может попасть в легкие при вдыхании и вызвать воспалительный процесс. Часто заражение происходит через кровь или лимфу из других органов больных. Инфицирование также может произойти у новорожденных:
- при прохождении через родильные пути;
- от больной женщины-матери через кровь или околоплодные воды;
- если не соблюдаются правила гигиены в родильном доме.
Люди, которые часто болеют простудами, находятся в группе риска для возможного заражения стрептококками. Особенно подвержены этому ослабленные организмы. Факторы, способствующие развитию инфекции, включают:
- продолжительное применение медикаментов, особенно антибиотиков;
- неблагоприятные условия проживания;
- нарушение функций защитной системы организма;
- удаление миндалин;
- переохлаждение тела;
- присутствие хронических заболеваний;
- недостаточное питание;
- повреждения миндалин и горла;
- употребление алкоголя;
- курение;
- коклюш;
- частые воспаления миндалин;
- ветряная оспа;
- сахарный диабет;
- корь.
Лечение заболевания в носу и горле
Стрептококковая инфекция представляет опасность из-за возможных серьезных осложнений. Поэтому при выявлении этого заболевания необходимо немедленно начинать лечение.
Обратите внимание! Одной из серьезных ошибок, которую допускают некоторые родители, является игнорирование приема назначенных доктором антибиотиков для лечения стрептококковой ангины у ребенка. Вместо этого они предпочитают использовать более эффективные и безопасные, на их взгляд, методы — местное полоскание горла, компрессы, таблетки для рассасывания
Вместо прописанных антибиотиков эти родители предпочитают использовать более эффективные и безопасные методы, по их мнению, такие как полоскание горла, компрессы и таблетки для рассасывания.
Фактически, эти способы лечения приводят к тому, что стрептококковая пневмония в горле у ребенка начинает активно размножаться и распространяться на другие органы, включая легочные ткани.
В результате у малыша развивается воспалительный процесс в легких, что приводит к необходимости принятия антибиотиков, от которых родители так сильно хотели избежать.
Применение антибиотиков обеспечивает полное уничтожение стрептококка. При правильном выборе препаратов бактерии погибают уже через сутки после начала терапии.
Исключительно значимо учитывать советы опытных профессионалов и безоговорочно придерживаться их указаний. . Методика Комаровского
Схема Комаровского
Известный эксперт доктор Комаровский в своих передачах на телевидении подробно и понятно объясняет процесс развития стрептококковых инфекций и способы их лечения.
Доктор Комаровский рекомендует лечение стрептококковой инфекции в горле у детей по следующему плану:
- Соблюдение постельного режима (особенно при значительном увеличении температуры) является важным моментом в лечении.
- Поддерживайте организм больного достаточным количеством теплых напитков, таких как чай с малиной или отвар шиповника. Обильное питье способствует быстрому выводу токсинов из организма.
- Важно исключить из рациона твердую, острую и кислую пищу, которая может раздражать глотку. В период болезни можно предложить ребенку протертое пюре, хорошо разваренную кашу и молочные продукты.
- Для снижения температуры можно использовать жаропонижающие препараты.
- Для ускорения процесса выздоровления рекомендуется полоскать горло травяными настоями или антисептиками.
Лечение медицинскими препаратами
Лечение стрептококка успешно осуществляется при помощи препаратов Пенициллиновой и Цефалоспориновой групп. В случае аллергии у ребенка, рекомендуется заменить Пенициллин на препарат Эритромицин.
Длительность приема антибиотиков должна быть не менее 10 дней, при этом человек перестает быть заразным для окружающих уже на следующие сутки после начала применения антибактериальной терапии.
Обычно медицинские специалисты в конкретной клинике или регионе имеют информацию о чувствительности стрептококка к определенным антибиотикам.
Благодаря этому они начинают лечение пациента немедленно после установления предварительного диагноза, без необходимости проведения анализов, определяющих чувствительность к антибиотикам.
Если у ребенка обнаруживается стрептококковая инфекция, количество которой не превышает установленной нормы, можно применить лечение в виде таблеток и полосканий, которые помогут снизить количество бактерий.
Лечение с помощью народных средств
Согласно мнению доктора Комаровского, применение народных средств в борьбе со стрептококком допустимо лишь как дополнение к основному курсу лечения. Для улучшения состояния горла рекомендуется употреблять большое количество теплых напитков, выполнять полоскания и использовать мед.
Лечение стрептококковой пневмонии в носу у ребенка аналогично методам терапии этого заболевания при поражении горла, однако врач также рекомендует использовать специальные капли для носа.
Для быстрого избавления от инфекции в носу можно применять промывание ноздрей теплым солевым раствором или отваром шалфея, ромашки или другого растения, которое обладает антисептическим и противовоспалительным эффектом.
Клинические проявления
При развитии стрептококковой пневмонии у маленького пациента происходит быстрое усиление интоксикации, иногда сопровождаемое признаками недостаточности дыхания или сердца, что может привести к серьезным последствиям для организма. Среди этих симптомов могут встречаться:
- действия, направленные на удушье;
- нарушение сердечного ритма;
- потеря способности осознавать окружающее;
- ухудшение способности запоминания и концентрации внимания;
- неприятные ощущения в области поражения.
Патологические изменения в легких могут вызывать образование хронических абсцессов, общий сепсис и иногда воспаление внутригрудной оболочки.
Исключительно редким случаем заражения легких ребенка является лимфогенный путь. В этом случае возбудитель попадает в легкие вместе с лимфой из других зараженных органов.
Воспаление легких, вызванное стрептококками, начинается внезапно и обычно имеет тяжелое течение. Наиболее распространенными симптомами являются:
- повышенная температура;
- затрудненное дыхание;
- непродолжительный кашель;
Сначала кашель бывает без мокроты, затем появляется слизисто-гнойная мокрота, и при сильном кашле в ней можно заметить следы крови. Симптомы этого заболевания часто напоминают симптомы пневмококковой пневмонии, но в отличие от неё, озноб встречается редко.
Одним из типичных признаков этого заболевания является развитие экссудативного плеврита с гнойным выделением, также известным как эмпиема плевры. Симптомы становятся заметными на 2–3 день заболевания. Возможно ухудшение в виде образования гнойных очагов воспаления.
Осложнения
Если не начать лечение антибактериальными препаратами вовремя, это может привести к серьезным последствиям. Размножение стрептококка может вызвать нарушение функции дыхания, недостаток кислорода и сердечную недостаточность. Также возможно развитие различных патологий:
- острого воспаления гломерулонефрита (самоиммунного заболевания почек);
- гнойного абсцесса легкого (гнойного поражения тканей);
- длительного хронического лимфаденита (воспаления лимфоузлов).
Необходимо полностью излечить инфекционное заболевание. В противном случае, когда инфекция распространяется через кровоток, могут возникнуть следующие осложнения:
- скопление гноя в плевре, что называется эмпиемой;
- некроз мягких тканей организма;
- воспаление оболочек сердца, такие как перикардит, миокардит, и эндокардит, что представляет собой воспаление клапанов;
- заражение крови, известное как сепсис;
- воспаление мозговых оболочек, что называется менингитом;
- снижение уровня красных кровяных клеток в организме, что приводит к анемии;
- воспаление брюшной полости, известное как перитонит;
- в случае тяжелого течения болезни может наступить летальный исход.
Причины
Возбудители пневмонии
Наиболее часто пневмония развивается из-за следующих причин:
| Возбудитель | Особенности |
| Бета-гемолитические стрептококки группы А (Streptococcus pyogenes, или Streptococcus haemolyticus) | В норме обитают у человека в глотке. Большинство штаммов продуцируют стрептокиназу, стрептолизины, стрептодорназу, некоторые – эритрогенный токсин. Наиболее крупная эпидемия стрептококковой инфекции возникла во время первой мировой войны |
| Пневмококки (Streptococcus pneumoniae) | Если воспаление легких вызвано этим возбудителем, то в пульмонологии его рассматривают как отдельную нозологическую форму – пневмококковую пневмонию |
Бактерии, принадлежащие к роду Streptococcus, могут быть причиной возникновения различных заболеваний, включая ангину, скарлатину, воспаление уха, воспаление внутренней оболочки сердца, менингит, а также сепсис у новорожденных.
Пути передачи инфекции и развитие патологии
Патогенные микроорганизмы попадают в организм человека через воздушно-капельный путь. Они переносятся вместе с мокротой и слизью (при кашле, чихании или разговоре) и могут оставаться в воздухе на протяжении определенного времени. Кроме того, бактерии могут проникать в легкие из очагов инфекции в носовых ходах или полости рта.
Когда стрептококк попадает в дыхательные пути, он вызывает повреждения и разрушение слизистых оболочек бронхов и трахеи. Это приводит к выделению жидкости из мелких кровеносных сосудов (экссудация) и кровоизлияниям.
В легочной ткани чаще всего наблюдаются патологические изменения, затрагивающие межальвеолярные перегородки. Вместе с лимфой инфекция быстро распространяется в лимфатические узлы средостения и корня легкого.
Лечение стрептококковой инфекции
Медицинские специалисты выбирают стратегию лечения после проведения диагностических процедур и выявления возбудителя заболевания. Заболевание дыхательной системы, вызванное стрептококками, требует комплексного подхода к лечению. План лечения включает в себя следующие мероприятия:
- Необходимо строго соблюдать постельный режим, особенно если у вас повышенная температура тела.
- Пейте много жидкости, чтобы очистить организм от токсинов.
- При заболеваниях горла рекомендуется перейти на мягкую пищу.
- Принимайте витамины, минералы в форме препаратов или через продукты питания.
- Используйте ингаляции с медикаментами.
- Проводите физиотерапевтические процедуры.
Лечение инфекций, вызванных стрептококком пневмонии, включает в себя применение лекарственных препаратов. Медики рекомендуют следующие препараты для пациентов:
- Препараты, уничтожающие бактерии, чтобы избавиться от возбудителя.
- Средства, способствующие выведению токсинов из организма.
- Препараты, снижающие высокую температуру тела.
- Средства для полоскания горла и промывания носа, обладающие антисептическим действием.
- Пробиотики, способствующие восстановлению здоровой микрофлоры кишечника.
- Препараты, устраняющие симптомы аллергии и аллергические реакции.

Медикаментозная терапия
При инфекционном воспалении, вызванном стрептококком пневмонии, необходимо начинать антибактериальную терапию с самого начала лечения. Streptococcus pneumoniae чувствителен к антибиотикам из группы пенициллинов, таким как Амоксиклав, Ампициллин, Амоксициллин. Если эти препараты не переносятся или не приводят к улучшению, то назначаются антибактериальные средства из других групп:
- антибиотики макролидного класса – препараты Азитромицин и Кларитромицин;
- препараты цефалоспоринового ряда – Цифралекс и Цефалексин;
- сульфаниламидные препараты – Сульфадимезин и Сульфадиметоксин.
Для излечения инфекций, вызванных стрептококком пневмонии, необходимо применение определенных лекарств:
- При возникновении аллергических реакций – препараты против аллергии, такие как Лоратадин, Зодак, Супрастин.
- Для восстановления баланса микроорганизмов в кишечнике после приема антибиотиков – препараты Бифидумбактерин, Ацепол, Линекс.
- Для уничтожения возбудителя пневмонии – лекарство Бактериофаг стрептококковый.
- С целью очищения организма от токсинов и вывода их через мочу – мочегонные препараты Фуросемид, Лазикс, Гипотиазид.
При лечении заболеваний верхних дыхательных путей, специалисты рекомендуют следующие препараты:
- Иммунал и Имудон — препараты, которые стимулируют иммунную систему и поддерживают защитные функции организма.
- Ибупрофен и Парацетамол — средства, которые способствуют снижению высокой температуры тела.
- Фурацилин и Диоксидин — жидкие препараты для полоскания, рекомендуемые при выявлении стрептококка пневмонии в горле.
- Эуфиллин и Солутан — средства, которые улучшают дыхание и помогают откашливаться при проведении ингаляций.
Физиотерапевтические процедуры
После устранения признаков отравления и снижения температуры для лечения пневмонии, вызванной стрептококком, применяют физиотерапию. Эти процедуры помогают уменьшить воспаление, улучшить кровообращение и облегчить дыхание. Среди популярных методов физиотерапии можно выделить:
- Ингаляции помогают разжижать мокроту, улучшают дренаж бронхов, способствуют вентиляции легких, уменьшают кашель и облегчают дыхание.
- Электрофорез с лекарственными препаратами увеличивает сопротивляемость организма, устраняет одышку и оказывает противовоспалительное воздействие.
Физиотерапевтические процедуры применяются для лечения стрептококковой пневмонии, когда заболевание переходит из острой фазы. На этом этапе медики предписывают следующие терапевтические методы для пациентов:
- Индуктотермия представляет собой воздействие высокочастотного магнитного поля, которое способствует ускорению обменных процессов, стимуляции лимфообращения и уменьшению воспаления в организме.
- Массаж грудной клетки способствует активизации дренажной функции дыхательной системы.
- Микроволновая терапия (СВЧ) осуществляется лечение электромагнитным полем, которое помогает устранить воспалительные процессы в организме.
Для улучшения благосостояния пациента при заражении и для облегчения дыхания специалисты рекомендуют следующие мероприятия:
- Применение УВЧ-терапии способствует ускорению процессов рассасывания и усилению кровообращения за счет воздействия электрического поля.
- Иглоукалывание активизирует обмен веществ и повышает иммунитет.
- Занятия лечебной физкультурой стимулируют отхождение мокроты и улучшают кровообращение.
Частые вопросы
Какой возбудитель чаще всего вызывает пневмококковую пневмонию?
Наиболее распространенным возбудителем пневмококковой пневмонии является Streptococcus pneumoniae, или пневмококк.
Какие симптомы обычно сопровождают пневмококковую пневмонию?
Симптомы пневмококковой пневмонии могут включать высокую температуру, кашель, затрудненное дыхание, боль в груди и общую слабость.
Полезные советы
СОВЕТ №1
Избегайте близких контактов с людьми, у которых есть признаки пневмококковой инфекции, таких как кашель или чихание.
СОВЕТ №2
Поддерживайте иммунную систему здоровой путем регулярного употребления питательных продуктов, витаминов и минералов.
СОВЕТ №3
Вакцинируйтесь против пневмококковой инфекции, особенно если вы входите в группу риска (дети, пожилые люди, люди с ослабленной иммунной системой).














