Клиническая картина
Жалобы. В начале заболевания пациенты обычно страдают от сухого кашля, который через 3-4 дня сменяется влажным, с отделением слизисто-гнойной мокроты; повышение температуры тела до 38-38,5ºС, общая слабость и потливость. При поверхностно расположенном очаге могут возникать боли в грудной клетке при глубоком дыхании и кашле.
Объективно говоря, цианоз встречается крайне редко (только при полисегментарной и сливной пневмонии). Может наблюдаться отставание пораженной половины грудной клетки при акте дыхания. Голосовое дрожание может быть усилено (если очаг уплотнения находится близко к поверхности). Перкуссия может выявить приглушение перкуторного звука. Аускультация: в начале заболевания на стороне пневмонического очага может определяться на ограниченном участке жесткое дыхание за счет поражения бронхов. В последующем, с переходом процесса на легочную ткань, чаще всего определяется ослабленное везикулярное или везикуло-бронхиальное дыхание. В последнем случае вдох несет черты везикулярного дыхания, а выдох – бронхиального. За счет очаговости процесса характерна мозаичность аускультативной картины. Из побочных дыхательных шумов характерны звучные влажные мелкопузырчатые хрипы, реже — воспалительная крепитация.
Таким образом, клиническая картина очаговой пневмонии характеризуется значительной изменчивостью. Она зависит от типа возбудителя и степени морфологических изменений в легких. Например, при мелкоочаговой пневмонии с глубоким расположением отдельных очагов воспаления, типичные признаки синдрома уплотнения легочной ткани (например, отставание пораженной половины грудной клетки при дыхании, усиление голосового дрожания, укорочение перкуторного звука, ослабленное везикулярное или элементы бронхиального дыхания) могут отсутствовать. В таких случаях диагноз очаговой пневмонии часто основывается только на рентгенологических данных, на проявлениях более выраженной интоксикации по сравнению с клиникой обычной острой вирусной инфекции или бронхита, а также на более выраженных лабораторных показателях (например, нейтрофильный лейкоцитоз до 10-12х109/л со сдвигом лейкоцитарной формулы влево, увеличение СОЭ до 35-40 мм/час). С другой стороны, массивная сливная мелкоочаговая или полисегментарная пневмония по своим клиническим проявлениям будет иметь черты, сходные с крупозной пневмонией, включая типичные признаки синдрома уплотнения легочной ткани, которые могут быть выявлены при осмотре, пальпации, перкуссии и аускультации.
Лабораторные иинструментальные методы исследования
Общий анализ крови показал увеличение количества нейтрофилов с смещением формулы влево и ускорением скорости оседания эритроцитов.
Общая характеристика мокроты: наличие слизи и гноя, увеличение числа лейкоцитов, клетки цилиндрического эпителия.
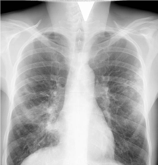
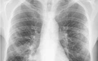
Исследование рентгеном легких: Обычно очаговые или сегментарные затемнения легочной ткани наблюдаются в нижних частях легких с нечеткими и размытыми внешними границами.
Симптоматика
Основные признаки проявляются в начальной стадии заболевания, которая обычно длится приблизительно 14 дней.
Признаки локальной пневмонии не всегда являются специфичными. Есть вероятность ошибочно принять заболевание за бронхит или другие виды воспаления легких.
Требуется провести подробное обследование для установления и подтверждения диагноза.
Несмотря на все вышесказанное, важно знать признаки пневмонии, чтобы своевременно обратить на них внимание и обратиться к врачу. Симптомы могут включать в себя:
- Увеличение температуры организма.
Это наблюдается в 30-50% случаев клинических ситуаций. Основное различие между очаговой пневмонией и крупозной формой заключается в непостоянстве температуры тела или отсутствии гипертермии. Примерно в половине случаев или даже чаще гипертермия либо отсутствует, либо имеет крайне нестабильный характер. Нет периода мнимого благополучия.
- Отхаркивание соплей.
Также это не всегда происходит. Обычно кашель начинается вечером и продолжается приступами в течение ночи, особенно сильно проявляясь утром. Мокроты выделяется немного и имеет светлый оттенок. Пациенты очень редко отмечают наличие гнойных включений в мокроте.
- Дискомфорт в области груди.
Болевые ощущения возникают при вдохе и выдохе. Обычно, боль усиливается при изменении положения тела или прикосновениях к спине.
- Проблемы с дыханием.
Чаще всего это проявляется обструктивным образом. У пациента может возникнуть затруднение с нормальным выдохом, несмотря на то, что вдох происходит без проблем. В случаях тяжелого поражения, особенно при крупноочаговом поражении, наблюдается дефицит дыхания I-III степени. Появляется одышка (увеличение количества дыхательных движений в сутки) и удушье.
В отличие от крупной пневмонии, очаги не проявляются существенными хрипами или, что затрудняет их диагностику. Более того, возможно полное отсутствие типичных клинических проявлений.
Поэтому признаки очаговой пневмонии разнообразны, но не всегда очевидны. Необходимо провести объективное обследование нижних дыхательных путей.
Очаговая пневмония у детей
Часто у детей возникает острая очаговая пневмония, которая часто приводит к различным осложнениям. Это заболевание характеризуется разрушением небольшого участка легочной ткани и может быть вызвано стрептококками, пневмококками, грибами, вирусами или бактериями. Иногда пневмония может быть следствием аллергической реакции на заболевания дыхательных путей. Попадание бактерий на слизистые оболочки может вызвать отечность и образование мокроты.
Признаки очаговой пневмонии у детей:
- Легкая лихорадка, которая может подниматься до 39 градусов по Цельсию.
- Потеря аппетита, ухудшение общего состояния, уменьшение активности, чувство вялости.
- Затрудненное дыхание, звуки хрипов.
- Синюшность кожи в области носа.
- Постоянный кашель может вызывать боли в горле.
Необходимо обратить внимание на следующее. Если у ребенка есть указанные симптомы, важно немедленно обратиться к специалисту, чтобы уменьшить риск возникновения осложнений.
Диагностику воспаления легких у детей проводят с помощью рентгеноскопии грудной клетки и лабораторных исследований.
При подтверждении диагноза применяется этиотропная терапия. Врачи рекомендуют детям лекарства, цель которых — избавить организм от инфекции.
Детскую очаговую пневмонию диагностируют с помощью рентгенографии грудной клетки и лабораторных тестов. Подтвердив диагноз, проводят специфическую терапию. Врачи назначают детям лекарства, направленные на устранение инфекции.
Диагностика
Для выявления наличия пневмонии и ее типа применяют разнообразные процедуры и методы. Определить заболевание по указанным признакам не представляет больших трудностей. Существует концепция «золотого стандарта» диагностики, включающая в себя:
- Серьезное начало заболевания (повышение температуры, лихорадка, озноб)
- Влажный кашель с гнойной мокротой, содержащей следы крови.
- Нарушения в звуках дыхания над пораженным легким
- Уменьшение количества лейкоцитов, увеличение их числа
- Воспалительный процесс в легких.
При осмотре пациента, врач использует минимальный набор диагностических методов, в который входят:
- Исследование грудной клетки методом рентгенографии в двух проекциях
- Анализ биохимических и общих показателей крови
- Микробиологическое исследование мокроты на выявление наличия бактерий
- Диагностика методом серологических исследований
- Оценка содержания газов в артериальной крови
Для определения точного диагноза необходимо провести рентгеноскопию легких и два клинических анализа.
Классификация
У взрослых и детей, пневмония, подобно очаговой, может проявляться также:
- аспирационная пневмония – возникает из-за проникновения в лёгкие посторонних материалов, воздействия токсичных веществ и сильного алкогольного опьянения;
- застойная пневмония – формируется у серьезно больных пациентов, которые ограничены в подвижности и нуждаются в медицинском уходе. Чаще всего это происходит на фоне сердечных заболеваний, продвинутого сахарного диабета, ишемической болезни и инсульта, травм позвоночного столба или черепа.
Категоризация инфекционных поражений легких.
Есть несколько способов, которыми патологические агенты могут проникать в организм человека:
- механизм бронхогенного распространения действует во время проведения бронхоскопии или других инструментальных диагностических процедур;
- гематогенный механизм приобретает значение в случаях наличия отдалённых септических очагов или при бактериемии;
- лимфогенный механизм;
- механизм воздушно-капельного распространения;
- контагиозный механизм связан с прямым распространением возбудителя из соседних органов, находящихся рядом с лёгкими.
Болезнь протекает через три этапа развития:
- начало – продолжается в течение первых трёх суток после воздействия вызывающего фактора;
- изменение – в этот момент ткани пораженной области легкого меняют свой цвет. Этот этап продолжается с четвертого по седьмой день воспаления;
- восстановление – начинается с седьмого дня и продолжается до полного восстановления нормального состояния пациента.
Разделение по уровню серьезности:
- легкая форма – симптомы слабо выражены, иногда вовсе отсутствуют;
- средней тяжести форма – клинические признаки становятся более интенсивными;
- тяжелая или острая форма – у взрослых и у детей симптомы приводят к значительному ухудшению общего состояния.
Появление воспаления может происходить при разнообразных обстоятельствах, поэтому выделяют следующие:
- пневмонию, развивающуюся вне больницы или дома;
- пневмонию, связанную с пребыванием в больнице или медицинским учреждением;
- пневмонию, вызванную медицинским вмешательством.
В зависимости от места, где происходит воспаление, это заболевание разделяется на следующие типы:
- чаще всего выявляется правосторонняя пневмония, что объясняется особенностями строения правого лёгкого – он больше и шире левой половины;
- левосторонняя пневмония;
- двустороннее поражение – при этом наблюдается воспаление долек как левого, так и правого лёгкого;
- верхнедолевая;
- среднедолевая;
- нижнедолевая пневмония – наиболее часто встречающийся вид.
Особенно важной является очагово-сливная пневмония – в этом случае воспалительный процесс затрагивает несколько сегментов или долек лёгкого. При проведении диагностики проявляется наличием множества отдельных областей, подвергшихся воспалению. Характеризуется тяжёлым течением и высокой вероятностью возникновения осложнений.
Симптоматика в целом
Первый этап может заключаться в следующем:
- резким;
- постепенным;
- проявляющимся с признаками предшествующего периода.
При развитии бронхопневмонии проявляются такие признаки, как повышение температуры с ознобом, усиленное потоотделение, общее ощущение слабости, неприятные ощущения в области головы. Также возникают болезненные ощущения в грудной клетке при дыхании и кашле.
Температура тела при очаговых пневмониях может подниматься до 38-39 градусов. Интересно, что у людей с ослабленным здоровьем или пожилого возраста она может оставаться на оптимальном уровне или повышаться до субфебрильных значений. При правильном применении антибактериальной терапии продолжительность лихорадки обычно составляет от 3 до 5 дней. Кашель может иметь как сухой, так и влажный характер, с выделением небольшого количества мокроты, иногда с гнойными примесями.
Когда происходит выявление крупноочаговой или очагово-сливной пневмонии, можно заметить наличие одышки, а также, на более поздних стадиях, появление синюшности в области носа и губ.
Дополнительные данные
Признаки острой пневмонии проявляются увеличением частоты дыхания до 25–30 вдохов в минуту и учащением сердечного ритма до 100-110 ударов в минуту.
Это состояние характеризуется замедлением сердечного ритма, затрудненным дыханием и ощутимыми влажными хрипами. Если присутствует бронхит и его признаки, то будут слышны рассеивающиеся хрипы сухого типа. При развитии заболевания становится заметен шум при трении плевральной области.
При благоприятном исходе очаговой пневмонии восстановление по клиническим показателям происходит к 12—14 суткам.
Необходимо подчеркнуть, что изменения на рентгенограмме становятся заметными ближе к концу второй или третьей недели, а иногда и позже. Симптомы очаговой пневмонии, вызванной стрептококками, могут привести к образованию абсцесса и эмпиемы плевры.
Очаговая пневмония, вызванная палочкой Фридлендера и размножением стафилококков, может привести к образованию абсцесса. Это проявляется в усилении отравления организма, изменении характеристик мокроты и увеличении ее объема в случае гнойного процесса. Кроме того, пневмония, вызванная стафилококками, теоретически представляет опасность из-за возможных осложнений:
Признаки очаговой пневмонии, вызванной стрептококками, могут привести к образованию, а также гнойному воспалению плевры. Очаговая пневмония, вызванная бактерией Фридлендера и размножением стафилококков, может вызвать образование абсцесса. Это проявляется усилением отравления организма, изменением характеристик мокроты и увеличением ее объема в результате гнойного процесса. Кроме того, пневмония, вызванная стафилококками, теоретически представляет опасность из-за возможных осложнений:
- пневмоторакс с гноем – одновременное проникновение воздуха и гноя в область легких и плевры;
- кровотечение в легких;
- гнойный воспалительный процесс в оболочке сердца;
- амилоидоз – нарушение обмена белков, сопровождающееся прогрессирующими симптомами;
- сепсис – системное инфицирование микробами, попавшими в кровь, и воспаление тканей.
Чтобы лучше понять признаки очаговой пневмонии, важно своевременно провести диагностику и сделать это профессионально.
Что это за болезнь
Очаговая пневмония (также известная как бронхиальная или бронхопневмония) — наиболее распространенная форма воспаления легких, при которой инфекционный процесс затрагивает легочную ткань с бронхами и поражает небольшие участки легочной ткани — дольки легкого, включая альвеолы и смежные мелкие бронхи. Этот вид пневмонии может развиваться как самостоятельно, так и иметь вторичный характер, осложняя другие заболевания дыхательных путей. Воспалительные очаги могут располагаться как в обоих легких, так и в различных их частях, но обычно они локализуются в нижних долях легких.
В зависимости от количества и размера участков, затронутых воспалительным процессом легочной ткани, выделяют крупно- и мелкоочаговые пневмонии. Очаги также могут быть единичными или множественными. Тяжесть и продолжительность клинических проявлений зависят от размера и числа воспалительных очагов.
Факторы, способствующие развитию заболевания, включают:
- период осенне-зимней активности;
- ослабление защитных функций организма и частые заболевания органов дыхания;
- вспышки гриппа;
- перегревание организма;
- присутствие серьезных заболеваний;
- недостаток в рационе витаминов и животных белков.
Чаще всего, возбудители очаговой (бронхиальной) пневмонии — это:
- бактерии, которые хорошо реагируют на грам-положительную окраску;
- вирусы, такие как риновирусы, аденовирусы, вирус парагриппа, респираторно-синцитиальный вирус;
- Escherichia coli.
Начало заболевания обычно происходит постепенно, с преобладанием синдрома интоксикации: небольшое повышение температуры тела, слабость мышц, повышенное потоотделение, насморк, головная боль. В дальнейшем появляется сухой интенсивный кашель, возможно небольшое выделение мокроты слизистой консистенции, температура поднимается до 38-39°С, слышны сухие хрипы, пациент жалуется на дискомфорт в груди при глубоком дыхании или кашле.
Пневмония у детей требует быстрого начала лечения антимикробными и симптоматическими препаратами, чтобы предотвратить появление множественных очагов воспаления в легких, их слияние и развитие крупозной пневмонии – более серьезной формы воспаления легких.
Правильное лечение
Лечение очаговой пневмонии требует применения специальных препаратов и процедур, которые может назначить только опытный специалист в области медицины.
Лечение бронхопневмонии включает в себя применение лекарств. Учитывая, что патогенные бактерии являются причиной заболевания, основное внимание уделяется антибиотикам.
Личный врач должен определить конкретный препарат антибиотика. Это связано с тем, что не существует универсального средства от всех видов бактерий. Кроме того, один и тот же тип микроорганизмов может проявлять устойчивость или иммунитет к любому антибиотику в каждом отдельном случае.
Итак, шанс угадать оптимальный и безопасный антибиотик самостоятельно практически отсутствует. Не стоит подвергать свое здоровье риску — лучше доверить этот выбор профессионалам.
Иногда медицинский специалист может решить применить комбинацию различных препаратов антибиотиков.
Также врач, учитывая уникальные особенности пациента и характер заболевания, может рекомендовать следующие препараты:
- препараты от жара – помогают сбить повышенную температуру;
- средства против воспаления – уменьшают воспалительные процессы;
- лекарства от мокроты – способствуют улучшению отхождения мокроты при кашле;
- средства для укрепления иммунитета – помогают укрепить защитные силы организма и повысить иммунитет.
Предотвращение любого заболевания гораздо более предпочтительно, чем его последующее лечение. В этом вопросе ключевую роль играет вакцинация, особенно важная.
Народные средства
При согласовании с лечащим врачом можно использовать народные методы лечения в домашних условиях. Правильное использование таких средств способно существенно улучшить состояние здоровья пациента.
Прекрасно зарекомендовало себя обильное теплое и сладкое напиток. Можно приготовить разбавленное кипяченной водой черносмородиновое варенье, чай с добавлением лимона, меда или малины.
Барсучий жир также пользуется заслуженной популярностью
Заметьте, что этот препарат не рекомендуется для применения у детей младше 3 лет.
Как понимать термин очаговая гиперплазия
Матка — это орган, состоящий из трех слоев. Внутренний слой называется эндометрий и предназначен для развития зародыша. Средний слой представляет собой сильную мышечную ткань, которая помогает рождению ребенка. Внешний слой матки является тонким и защищает ее сверху.
Эндометрий включает в себя два слоя: функциональный и базальный. Функциональный слой постоянно меняется: в первой половине цикла он увеличивается под воздействием эстрогенов. После выхода яйцеклетки из яичника он становится богат железами, которые вырабатывают слизь, чтобы создать благоприятные условия для доставки сперматозоида. Если оплодотворение не происходит, внутренний эндометриальный слой отслаивается и выходит вместе с кровью.
Если процесс овуляции не происходит, в организме сохраняется высокий уровень эстрогенов. Под их воздействием происходит увеличение функционального слоя эндометрия, что приводит к его гиперплазии. Такое увеличение толщины слизистой оболочки матки также может быть вызвано другими состояниями и заболеваниями, приводящими к повышению уровня эстрогенов.
Если функциональный слой не расширяется равномерно, а только на определенной области, это называется очаговой гиперплазией эндометрия. Эта аномалия может иметь несколько различных форм.
Возможно, что произойдет увеличение нефункционального слоя, а именно того, из которого он постоянно восстанавливается «с нуля» — росткового или базального. Это состояние известно как базальная гиперплазия.
Симптоматика
Признаки заболевания проявляются нечетко и могут напоминать симптомы других заболеваний верхних дыхательных путей, что затрудняет установление точного диагноза. Он определяется не только на основе жалоб пациента, но и результатов лабораторных исследований.
Воспаление лёгких может проявляться острым или постепенным развитием. Несмотря на это, общие признаки заболевания включают в себя:
- дискомфорт в области груди;
- влажный или сухой кашель;
- чувство холода и повышение температуры тела;
- головные боли, дискомфорт при кашле и дыхании;
- усиленное потоотделение;
- синюшную или бледную кожу с возможными высыпаниями на поверхности.
Связь между температурой тела, возрастом и состоянием здоровья часто наблюдается. У молодых людей организм активно борется с воспалительными процессами, что может привести к повышению температуры до +39С, в то время как у пожилых людей температура обычно остается незначительно повышенной, на уровне субфебрилии. Характер кашля обычно является сухим, иногда можно наблюдать редкие случаи влажного кашля. В мокроте иногда можно обнаружить примеси гноя или кровяных сгустков.
Инфекция, вызванная стафилококками, может привести к серьезной форме пневмонии, сопровождающейся кровохарканьем, нарушением сознания и в дальнейшем – развитием сепсиса.
Пневмония, вызванная инфекцией, может проявляться увеличенной частотой сердечных сокращений (110 ударов в минуту) и затрудненным дыханием, которое возникает из-за скопления жидкости в мелких воздушных капсулах легких. При затрудненном дыхании могут наблюдаться дополнительные признаки: повышение артериального давления, тяжелое дыхание, состояние беспокойства.
У малыша симптомы заболевания проявляются более выраженно:
- внезапное увеличение температуры до +40-41С;
- слабость и отсутствие энергии;
- синюшность в области носогубной складки;
- приступы тошноты из-за общего отравления организма;
- кожные участки между рёбрами втянуты внутрь.
Признаки заболевания у детей похожи на симптомы бронхита: кашель, признаки ОРЗ, повышенная температура. Поэтому важно пройти необходимые анализы и на их основе установить диагноз. Клинические проявления левосторонней и правосторонней пневмонии различаются по некоторым признакам
Только врач, опираясь на индивидуальные жалобы и данные обследования, способен установить правильный диагноз.
Симптомы пневмонии на левом и правом легких имеют различия по некоторым признакам. Точный диагноз может быть установлен только специалистом, опираясь на конкретные жалобы и результаты медицинских исследований.
Симптомы
Пневмония может начинаться разнообразно, проявляясь как острая или постепенная форма с предшествующими симптомами.
При воспалении легких симптомы проявляются таким образом:
- Вначале появляются признаки острой респираторной вирусной инфекции.
- Затем телесная температура начинает повышаться.
- После этого появляется насморк.
- Немного позже начинается сухой кашель.
- Примерно через 7 дней симптомы становятся более выраженными.
- Температура поднимается до высоких значений.
- Появляется усталость после небольших физических нагрузок.
- Затем проявляются признаки общей интоксикации.
Признаки резкой отравы могут указывать на возможное появление дополнительного инфекционного процесса.
Из-за незначительного нарушения проницаемости сосудистого русла возникает выделение мокроты, которая может быть серозной или слизисто-гнойной, как указано выше. Объем мокроты увеличивается, что приводит к нарушению проходимости бронхов, где она и накапливается. Кровохарканья в данном случае не наблюдается. Иногда возникает плеврит, что сопровождается болью в боку со стороны воспаления.
Характерные признаки пневмонии при клиническом обследовании:
- Увеличенная частота сердечных сокращений.
- Цвет кожного покрова становится бледным.
- При постукивании – приглушенный звук над пораженной областью.
- При прослушивании – слабое дыхание с влажными мелкими пузырьками, можно услышать трение плевры.
При проведении анализов крови обнаружено увеличение уровня лейкоцитов, а также ускорение скорости оседания эритроцитов и нарушение нормального соотношения белков. Для подтверждения диагноза пневмонии требуется взять смывы из бронхов и мокроты для анализа. При необходимости также может быть проведено исследование чувствительности микробов к антибиотикам.
Для обеспечения точности результатов анализов необходимо выполнить рентгенографию грудной клетки или компьютерную томографию.
При проведении рентгеновского обследования можно обнаружить участки затемнения. Если на рентгеновском снимке затронуты несколько сегментов и видно, как они объединяются в один более крупный, это указывает на наличие очагово-сливной пневмонии. Симптомы этого вида пневмонии более сложны и выражены более ярко, проявляются в форме дыхательной недостаточности и признаков отравления. По клиническим проявлениям очагово-сливная пневмония напоминает крупозное воспаление лёгких и всегда требует госпитализации в стационаре.
Симптомы и диагностика очаговой формы
Обычно начало болезни не очень острое, в течение нескольких дней проявляются симптомы вирусной инфекции: температура постепенно повышается до фебрильных значений, появляется насморк, кашель может быть сухим или с отделением мокроты слизистого характера, также ощущается слабость.
Увеличение проявлений отравления во время проводимого лечения, возникновение затрудненного дыхания, учащенного сердцебиения, новых всплесков температуры, ощущение холода позволяют предположить развитие воспаления легких.
Характер выделений из дыхательных путей меняется на слизисто-гнойный, усиливается общее ощущение слабости, возникает боль при дыхании и кашле в области груди, что указывает на наличие плеврита.
После проведения сбора анамнеза возникает первое подозрение на наличие воспалительного процесса в легких. Врач при проведении физикального осмотра обнаруживает характерные симптомы:
- Снижение цвета кожи;
- Уменьшение звука при постукивании над местом заболевания;
- Ослабленное дыхание и слышные влажные мелкопузырчатые хрипы при прослушивании;
- Иногда звук трения плевры.
Изучение рентгеновскими снимками грудной клетки и проведение компьютерной томографии являются важными исследованиями с множеством информации. Обычно выявляют очаговые темные участки на заднем плане инфильтрации как в области бронхов, так и вокруг сосудов.
При анализе крови обнаруживается увеличение количества лейкоцитов, ускорение скорости оседания эритроцитов, нарушение белкового обмена, увеличение уровня С-реактивного белка.
Для точного определения возбудителя, оценки чувствительности к лекарственным препаратам и исключения септицемии при тяжелом течении проводят микробиологические исследования мокроты, смывов и крови.
В зависимости от местоположения очагов поражения выделяют пневмонию правого легкого, пневмонию левого легкого, двустороннюю пневмонию и пневмонию с очаговым распространением.
Правосторонняя локализация
Чаще всего это происходит из-за особенностей анатомии бронхиального дерева. Правый главный бронх обычно более широкий и короткий, что ускоряет распространение инфекции на меньшие бронхи и затем на легочную ткань.
Отличительной особенностью является наличие разнообразных морфологических изменений в легких. Это происходит из-за постепенного распространения инфекции на альвеолы и выявления различных стадий воспалительного процесса в ограниченной области. Это объясняет постепенное волнообразное проявление клинических симптомов.
Во время обследования пациента терапевт часто может услышать типичные мелкопузырчатые влажные хрипы, а также сухие, что свидетельствует о наличии бронхита и иногда затрудняет выявление начала пневмонии.
Пневмония, вызванная правосторонним очагом, часто проявляется смазанными и неявными симптомами, что затрудняет ее диагностику. Неосложненные случаи хорошо поддаются специфическому лечению. Пациентов можно лечить дома, активно используя методы народной медицины.
Левостороннее воспаление
Признаки левосторонней пневмонии без значительного поражения соответствуют типичным проявлениям бронхопневмонии с умеренной интоксикацией.
Во время физикального обследования, помимо результатов перкуторных и аускультативных методов, можно заметить, что левая половина грудной клетки отстает во время дыхания.
Из-за особенностей анатомического расположения существуют определенные сложности при использовании инструментальных методов диагностики. На обычных рентгенограммах обнаружение небольших очагов воспаления в задних и нижних участках легких затруднено, особенно при неправильной технике проведения исследования. Поэтому для выявления мелких темных областей и обнаружения воспаления плевры рекомендуется проведение компьютерной томографии.
Двустороннее поражение
Повреждение обеих легких может проявиться после продолжительного использования наркоза с помощью трубки или искусственной вентиляции легких. Воспалительный процесс чаще затрагивает доли легких, реже — сегменты.
Поражение обоих легких проявляется более ярко выраженными признаками отравления, ощущением холода и интенсивными болями в области грудной клетки с обеих сторон. Обнаружение двустороннего процесса на рентгене требует госпитализации и проведения лечения в стационаре.
Очагово-сливная пневмония
При развитии очагово-сливной формы заболевания происходят патологические изменения, затрагивающие несколько сегментов или даже долю легкого. На стороне поражения наблюдается резкое отставание в дыхании. Увеличиваются признаки дыхательной недостаточности, такие как одышка и цианоз.
На изображениях можно увидеть отдельные участки воспаления, которые чередуются с областями, измененными из-за эмфиземы, а также микроскопическими абсцессами. Этот тип заболевания имеет наиболее серьезное течение и по клиническим признакам больше напоминает крупозную пневмонию. Требуется проведение интенсивных лечебных мероприятий, предпочтительно в стационаре.
Патоморфология
Изменения в тканях, вызванные очаговой пневмонией, аналогичны изменениям при долевой пневмонии и проходят через этапы образования серозной жидкости, образования рубца и последующего выздоровления.
В зависимости от размера очага воспаления можно выделить мелкие и крупные формы пневмонии, которые развиваются в пределах отдельных долек легких. Кроме того, воспалительные очаги могут быть одиночными или множественными. Чаще всего патологический процесс прогрессирует в продольном направлении, последовательно затрагивая бронхи, бронхиолы и альвеолярные ходы, реже – путем поперечного (перибронхиального) распространения.
При очаговой пневмонии, альвеолярный экссудат обычно имеет серозный характер с добавлением лейкоцитов и слущенного альвеолярного эпителия, иногда проявляется геморрагический характер. Чаще всего поражаются задненижние сегменты легких, но в редких случаях могут быть затронуты и верхнедолевые сегменты. Участки воспаленной легочной ткани имеют серо-красный оттенок, уплотнены, чередуются с более светлыми участками эмфиземы и темными – ателектаза, что делает легкое неоднородным и пестрым по виду. Обычно очаговая пневмония полностью исцеляется, однако возможны осложнения в виде абсцесса, гангрены легкого или хронической пневмонии.
Частые вопросы
Какие симптомы характерны для очаговой пневмонии?
Очаговая пневмония проявляется выраженной болью в груди, кашлем с отделением мокроты, повышенной температурой тела, одышкой и общей слабостью.
Как проводится лечение очаговой пневмонии?
Лечение очаговой пневмонии включает прием антибиотиков, противовоспалительных препаратов, обильное питье, отдых и прием противокашлевых средств при сильном кашле.
Полезные советы
СОВЕТ №1
Обратитесь к врачу при первых признаках очаговой пневмонии, таких как высокая температура, кашель с гнойной мокротой, одышка и боль в груди.
СОВЕТ №2
При лечении очаговой пневмонии важно следовать назначениям врача, принимать антибиотики и другие лекарства строго по расписанию и не прерывать курс лечения досрочно.
СОВЕТ №3
Соблюдайте постельный режим и употребляйте большое количество жидкости для ускорения выздоровления и предотвращения осложнений.












