Как болезнь себя проявляет
От момента воздействия инфекционного агента до появления симптомов заболевания может пройти от нескольких часов до нескольких суток.
Признаки стрептококкового тонзиллита возникают внезапно и резко. Вначале пациент жалуется на общее недомогание, включая повышение температуры, ознобы, ломоту в суставах и мышцах, увеличенную усталость, значительную слабость, головные боли. У детей также может возникнуть рвота, тошнота и боли в животе.
Все указанные признаки возникают из-за того, что организм отравляется.
В начале заболевания особенно выражены признаки интоксикации. К концу первых суток начинают проявляться местные симптомы стрептококкового тонзиллита:
интенсивное чувство дискомфорта в области горла; неприятные ощущения при проглатывании могут распространиться на ухо; миндалины начинают отекать; появляется покраснение миндалин; лимфатические узлы начинают увеличиваться.
Увеличение лимфатических узлов в регионе происходит из-за распространения стрептококков по лимфатическим путям. Первыми начинают увеличиваться подчелюстные и шейные лимфатические узлы.
Острый тонзиллит, вызванный стрептококковой инфекцией, представляет собой гнойное проявление ангины и проявляется в двух формах: фолликулярной и лакунарной.
Фолликулярный тонзиллит проявляется всеми общими симптомами, однако имеет характерные местные изменения – на миндалинах появляются круглые гнойные фолликулы, диаметром не превышающим 5 мм.
При лакунарном тонзиллите гнойное выделение накапливается в естественных углублениях миндалин, известных как лакуны.
При сильном воспалительном процессе гнойные образования объединяются, и возникает налет, который полностью покрывает всю поверхность слизистой оболочки.
Его устранение происходит без повреждения слизистой оболочки. Кроме того, инфекция стрептококками в миндалинах может также проявляться в виде хронического тонзиллита.
Его отличие от острой формы заболевания заключается в том, что у него нет таких ярких симптомов. На ранних этапах пациент может практически не испытывать никаких беспокойств, присутствуют только:
Незначительные периодические боли в горле; возможно появление сухости в области горла; увеличение миндалин; часто наблюдаются пробки в миндалинах.
В последующем инфекция начинает распространяться, и у человека возникают иные симптомы патологического процесса:
незначительный повышенный температурный режим; общее недомогание; легкие головные боли; быстрая утомляемость.
Инфекция, вызванная стрептококками, способна привести к различным осложнениям, затрагивающим другие органы. Возможно появление как общих, так и местных осложнений данного патологического процесса.
Когда возникают осложнения в местной области, они могут затронуть соседние органы, такие как глотка, бронхи, паратонзиллярная клетчатка и ухо.
Клапанный и мышечный аппарат сердца, гломерулярный аппарат почек и хрящевая поверхность суставов — это те органы, которые подвержены поражению.
Проявляемые симптомы
Выраженность клинических симптомов стрептококковой ангины зависит от тяжести заболевания и состояния иммунной системы.
Симптомы заболевания схожи с признаками тонзиллита, вызванного другими патогенами:
- увеличение температуры до 39°C;
- сильные болевые ощущения в области горла;
- синдром интоксикации.
У стрептококковой ангины также присутствуют уникальные клинические проявления, которые отличаются от других видов заболеваний. Среди характерных признаков для диагностики можно выделить следующие:
- быстрое прогрессирование заболевания;
- температура поднимается до 40,5°C;
- сильные боли в горле;
- увеличение лимфатических узлов подчелюстной области;
- сильный синдром отравления организма;
- отсутствие насморка и ;
- покраснение слизистой оболочки горла в сочетании с отеком заднего неба;
- гнойное поражение слизистой оболочки глотки, представленное пятнами белого или желтоватого цвета с зернистой творожистой структурой;
- покраснение языка с увеличением его сосочков;
- в ряде случаев появляется мелкая сыпь на коже.
У малышей данное форма ангины протекает более серьезно, нежели у взрослых. Сначала происходит значительное увеличение температуры тела, после чего могут возникнуть тошнота, рвота и судорожный синдром. При сильных болях в горле ребенок отказывается есть, что вместе с отравлением может привести к истощению организма.
Лечение
Для эффективного лечения стрептококковой ангины необходимо использовать комплексный подход. Помимо применения антибиотиков, важную роль играют общие принципы (соблюдение постельного режима, употребление обильного тёплого напитка) и симптоматические средства (препараты для снижения температуры, укрепляющие средства, антисептические полоскания). Решение о необходимости госпитализации принимается лечащим врачом и зависит от степени тяжести процесса, общего состояния пациента и наличия осложнений.
Медикаментозным способом
Для борьбы со стрептококковой инфекцией в горле применяют антибиотики из группы пенициллинов. Например, можно использовать препарат Амоксиклав.
Если у вас аллергия на пенициллины, то врач может назначить вам макролиды (например, Азитромицин, Сумамед и другие).
Для уменьшения высокой температуры и снятия боли в горле используются препараты, которые снижают жар и обладают противовоспалительным действием, такие как Парацетамол, Ибупрофен и другие.
Лечение на местности включает в себя:
- Промывание горла антисептическими растворами или лекарственными настоями;
- Использование препаратов с антибактериальным и антисептическим действием для полости рта;
- Применение рассасывающих таблеток;
- Нанесение раствора Люголя на слизистую оболочку горла.
Соблюдение постельного режима, умеренное питание и достаточное количество жидкости – все эти действия имеют большое значение, так как помогают бороться с отравлением организма.
Для излечения ангины необходимо пройти полный курс лечения медикаментозными препаратами. Для уничтожения стрептококка может потребоваться не менее недели приема антибиотиков. Прерывание лечения может ухудшить ход заболевания и вызвать серьезные осложнения.
Народные способы лечения
Одним из основных методов борьбы с инфекцией, вызванной стрептококками, является применение антибактериальной терапии. Тем не менее, также существуют определенные продукты питания, настои и отвары лекарственных трав, обладающие целебными свойствами. В народной медицине выделяют следующие способы лечения стрептококковой инфекции:
- Чёрная смородина. Этот плод является эффективным средством в борьбе с заболеваниями горла. В чёрной смородине содержится большое количество витамина С, который укрепляет защитные свойства организма. Можно размять ягоды до состояния пюре и употребить за один раз. Такое лечение рекомендуется продолжать в течение 3 суток, после чего следует в 2 раза уменьшить количество ягодного пюре и употреблять его по такой же схеме ещё неделю.
- . Рекомендуется ежедневно употреблять в пищу лук и чеснок в сыром виде. Такой метод лечения не всем приятен, однако с помощью лука и чеснока удаётся не только уменьшить количество бактерий стрептококка в горле, но и улучшить общее состояние организма.
- Череда. Приготовьте лечебный отвар из череды по следующему рецепту: 2 ст. ложки сухой травы тщательно измельчите и залейте 400 мл кипятка. Полученную массу оставьте для настаивания и после остывания процедите. Приготовленный отвар употребляйте по 1/2 стакана несколько раз в день.
Для процедуры полоскания горла можно применить лекарственный раствор на основе череды, приготовленный по следующему рецепту: 10 г коры ивы и 10 г череды смешайте в небольшом контейнере и залейте 300 мл воды. Полученную смесь оставьте настаиваться в течение 2 часов, затем процедите и используйте для полоскания горла.
- Используйте отвар шишек хмеля. Принимайте по 100 мл за 15 минут до еды. Вот как приготовить отвар: Налейте 500 мл воды на 2 столовые ложки измельченных шишек хмеля, доведите до кипения и варите 5 минут. Остудите, процедите и принимайте для лечения.
Для более быстрого вывода токсинов из организма рекомендуется употреблять большее количество жидкости (фруктовые соки, компоты, чай, обычную воду). Укрепить иммунитет помогут продукты, богатые витамином C. Для более быстрого выздоровления, в рацион следует добавить чеснок, малину, клубнику, сок вишни. Все эти продукты содержат элементы, задерживающие рост бактерий.
Для того чтобы быстро избавиться от стрептококковой инфекции, рекомендуется комбинировать народные методы лечения с применением лекарственных препаратов.
Причины заболевания
Уменьшение уровня иммунитета является основной причиной размножения стрептококка. В холодное время года вероятность заражения значительно возрастает, но летом формы ангины, вызванные стрептококками, часто протекают более остро. Также часто заражение происходит от больного человека. Для предотвращения эпидемий больных помещают в инфекционное отделение и ограничивают контакты с другими людьми до минимума.
Виды
Катаральная ангина считается первичной формой тонзиллита. При правильно подобранной терапии она не вызывает гнойных процессов. Фолликулярная ангина иногда возникает как осложнение катаральной формы. Она характеризуется появлением отдельных гнойных налетов на миндалинах. Лакунарная форма обычно является следующим этапом развития стрептококковой инфекции, но у людей с ослабленным иммунитетом она может возникнуть и как первичная форма, минуя предшествующие стадии. Некротическая ангина может быть как результатом первичной инфекции, так и самостоятельной формой тонзиллита. Очаги некроза затрагивают более глубокие ткани ротоглотки, что может привести к более серьезным последствиям.
Стрептококковая инфекция горла ангины и фарингиты
Ангина — это острая инфекционная патология организма, которая сопровождается острым воспалением структур глоточного лимфоидного кольца. Существует несколько видов этого заболевания, среди которых особенно опасной считается гнойная форма ангины. Ангины подразделяются на катаральные, лакунарные, фолликулярные, фибринозные, язвенно-некротические и флегмонозные. Их симптомы различаются. Ангина является одним из наиболее распространенных заболеваний после гриппа и ОРЗ.
Чаще всего заболевают дети. Большинство взрослых заболевают до 40 лет. Заболевание имеет сезонный характер. Инфекция передается воздушно-капельным путем и через предметы быта. Ангина может быть вызвана инфекцией, которая развивается в горле, миндалинах, деснах. Часто происходит самозаражение из локальных очагов инфекции. Состояние иммунной системы человека играет первостепенную роль в развитии заболевания.
Иллюстрация 1. На изображении изображена острая катаральная ангина. «Красное горло» означает увеличение кровотока в области боковых валиков и гортани. Отек, дискомфорт, покраснение и увеличение лимфоузлов являются основными признаками стрептококковой ангины.
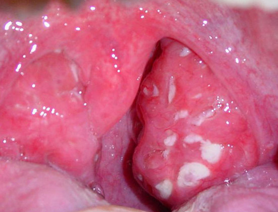
Иллюстрация 2. На изображении представлена гнойная ангина. Стрептококковая инфекция является основной причиной этого заболевания.
На изображении показан хронический тонзиллит. Левая миндалина значительно увеличена в размере. Присутствует гной и гнойные пробки в лакунах.
До 70% случаев заболевания тонзиллитом обусловлены вирусами. Среди них наиболее распространены коронавирусы и риновирусы. Оставшиеся 30% случаев связаны с бактериями, грибами и другими микроорганизмами. До 80% случаев ангины, вызванной бактериями, связаны с β-группой А (Streptococcus pyogenes, БГСА).
Для точного определения требуется провести обнаружение антигенов к бактериальной группе Streptococcus agalactiae с использованием тест-системы «Стрептатест».
Тест на стрептококк является многофункциональным средством, которое позволяет определить причину болей в горле за 5 минут. Он быстро определит наличие β-гемолитического стрептококка группы А в полости рта, что поможет своевременно назначить соответствующее противомикробное лечение. Если возбудитель не обнаружен, стрептотест поможет избежать необоснованного применения антибиотиков. Этот тест обладает высокой (приблизительно 90%) специфичностью и высокой (приблизительно 95%) чувствительностью.
Иллюстрация 4. Стрептатест обладает высокой (примерно 90%) точностью и высокой (примерно 95%) чувствительностью. Позволяет определить причину болей в горле за 5 минут.
Гнойный отит, синусит, паратонзилярный абсцесс, мастоидит, менингит и пневмония могут быть осложнениями стрептококковой ангины.
Инфекция стрептококкового происхождения может привести к возникновению автоиммунного ответа, что в свою очередь может вызвать серьезные осложнения в работе внутренних органов:
- воспаление сердечной мышцы из-за ревматизма;
- воспаление суставов (артрит) из-за ревматизма;
- воспаление почек из-за ревматизма (гломеруло- и пиелонефриты).
Если микробы попадут в кровь и начнут активно размножаться, это может привести к развитию сепсиса и менингита.
Особенности стрептококковой ангины у детей
Этот тип тонзиллита чаще всего встречается у детей старше трех лет. Инфекция передается от больного ребенка к здоровому через воздушно-капельный путь при близком контакте, чихании и через общие игрушки. Вспышки заболевания обычно обнаруживаются в детских дошкольных учреждениях, где находится большое количество детей.
Если не приступить к лечению заболевания вовремя, то бактерии продолжат размножаться с момента заражения и еще в течение 14 дней. Применение антибиотиков сокращает период заразности до 24 часов.
Из-за особенностей строения лимфоидной ткани дети чаще всего подвержены заболеванию стрептококковым тонзиллитом. У них она более рыхлая, чем у взрослых, хорошо пронизана кровеносными сосудами, что облегчает задержание бактерий в миндалинах и их проникновение в системный кровоток и лимфатическую систему, что приводит к распространению по всему организму.
Уникальной особенностью β-гемолитического стрептококка является его способность производить особый фермент – стрептокиназу, которая разжижает лимфоидные ткани, защищая себя от поглощения фагоцитами. Иммунная система ребенка, пытающаяся уничтожить возбудителя, начинает производить специфические антитела. Т-лимфоциты атакуют бактерии, но вместе с ними разрушают и здоровые клетки.
Это приводит к изменениям в лимфатических узлах и небных миндалинах, они уже не способны выполнять свои функции, что позволяет бактериям проникать глубже в организм и способствует развитию аутоиммунных заболеваний.
Причины стрептококковой ангины у детей
Стрептококк может попасть в гортань из очага хронических инфекций ЛОР-органов. Например, у детей, страдающих гайморитом, отитом, фарингитом, аденоидом, часто возникают ангины. Заложенность носа при рините, искривление перегородки служат провоцирующими факторами. Когда ребенок дышит ртом, микроорганизмы легко попадают на слизистые оболочки.
Функция гланд заключается в защите организма: они улавливают возбудителя и способствуют развитию острого воспаления для его устранения. Однако при ослабленной иммунной системе организм не в состоянии самостоятельно справиться с этим состоянием.
Другие факторы, способствующие развитию стрептококкового горла:
Стоматит может способствовать развитию стрептококковой ангины.
- поражение зубов кариесом;
- воспаление слизистой оболочки рта, заболевание пародонта, воспаление десен;
- перегрев или охлаждение организма;
- частые простуды, инфекционные заболевания;
- сопутствующие системные заболевания;
- недостаток необходимых витаминов;
- механическое повреждение миндалин;
- изменения температуры и влажности воздуха в разные сезоны.
При резком падении защитных сил организма после контакта с зараженным человеком, бактерии активно начинают размножаться. Переносчиками инфекции могут быть не только дети, но и взрослые, у которых есть гломерулонефрит, кожные заболевания или стрептодермия.
Симптомы и признаки стрептококковой ангины у детей
При острой форме стрептококковой ангины возникает интенсивная боль. У ребенка происходит отек и покраснение слизистых оболочек гортани, небных дужек и миндалин. У малыша возникают затруднения при глотании пищи, исчезает аппетит, а также меняется тембр голоса.
Лимфоузлы увеличиваются в размерах, покрываются белым налетом. На поверхности появляются мелкие, множественные гнойники, изо рта идет неприятный запах, язык покрыт налетом. Дети испытывают недомогание, слабость, головную боль, лихорадку, откашливают гнойную слизь. Температура тела поднимается до 39° и выше, могут возникать признаки общей интоксикации: рвота, понос, ощущение слабости. При ощупывании обнаруживается уплотнение и болезненность окружных лимфоузлов.
Длительное время сохраняется повышенная температура, которая не снижается эффективно при помощи таблеток. У маленьких детей могут возникать судороги и наблюдаться неудержимая рвота. Состояние улучшается после открытия гнойных образований и выхода некротических тканей.
Лечение антибиотиками
Лечение обычной стрептококковой ангины обычно занимает не более 10 дней. Если бактериологический анализ выявил стрептококк в качестве возбудителя ангины, то необходимо применить антибиотики. В этой ситуации предпочтение отдается препаратам пенициллиновой группы.
Лечение стрептококковой ангины не обходится без использования антибактериальных препаратов
Их цена доступна, и организм менее склонен к раздражению, что существенно снижает риск возникновения различных осложнений. Одновременно с этим, применение этого препарата может негативно сказаться на желудочно-кишечном тракте, поэтому его рекомендуется принимать вместе с бифидобактериями.
Под воздействием пенициллина происходит прекращение процесса синтеза и восстановления клеток патогенных бактерий, что приводит к их исчезновению. Именно это обуславливает высокую эффективность пенициллиновых антибиотиков, и пациент замечает улучшение уже на следующие сутки после начала приема препарата.
Наиболее часто используется бензилпенициллин в форме инъекций, однако такая терапия проводится в стационаре. В случае амбулаторного лечения применяют Амоксициллин или Аугментин. Если у пациента имеются противопоказания к антибиотикам пенициллиновой группы, то назначаются макролиды или цефалоспорины.
Следующие группы пациентов могут включать в себя:
- люди, у которых часто возникают аллергические реакции;
- женщины в состоянии беременности;
- молодые матери, кормящие грудью;
- дети, страдающие от инфекционного мононуклеоза.
Кроме этого, стрептококковая ангина может быть лечена с использованием Цефадроксила или Цефалексина. Эти лекарства относятся к категории цефалоспоринов, их действие направлено на подавление производства пептидогликана, основной составляющей клетки стрептококка.
Среди препаратов, входящих в категорию макролидов, отличные результаты демонстрирует препарат Азитромицин. Тем не менее, его особенность заключается в продолжительном времени вывода антибактериального вещества из организма, поэтому его применение ограничивается короткими курсами, обычно 3-5 дней.
В дополнение к общей антибактериальной терапии, необходимо применять препараты местного антимикробного действия. Это значительно увеличит эффективность лечения и ускорит процесс выздоровления.
Также, эти действия помогут ограничить распространение инфекции за пределы горла. Один из препаратов, который используется в этом случае, это Биопарокс. Основной активный компонент этого препарата – фузафунгин, обладает противовоспалительным и антимикробным эффектом.
Виды
Стрептококк – это микроорганизмы, имеющие овальную форму. Чаще всего они собираются группами, образуя длинную цепочку. Они могут присутствовать практически во всех системах организма: дыхательной, пищеварительной, половой, нервной. Однако их основные места обитания – это нос, глотка и кожа. Стрептококк успешно размножается в крови, а оптимальная для этого процесса температура – 37°.
В мире обитает примерно 100 различных видов бактерий. Все эти виды можно разделить на три категории в зависимости от их способности вызывать гемолиз (разрушение) эритроцитов:
- гемолитические типа альфа вызывают частичный разрушение эритроцитов;
- гемолитические типа бета способствуют полному гемолизу. Они являются причиной таких заболеваний, как ангина, скарлатина, ревматизм и другие. Эта группа стрептококков наиболее разнообразна и включает типы от А до U;
- негемолитические не вызывают гемолиза.
Особое влияние на развитие патологических процессов оказывают следующие виды стрептококка:
- Пиогенный стрептококк принадлежит к бета-гемолитической группе. Он часто обитает в глотке и на коже. Одно из наиболее распространенных заболеваний, вызванных этим штаммом, – скарлатина. Особую роль пиогенному стрептококку приписывают в возникновении пиодермий, таких как импетиго. Это может проявляться в виде пузырей, корок, лишая;
- Пневмококк – этот микроб участвует в развитии пневмонии и бронхитов, вызванных стрептококковой инфекцией;
- энтерококки могут вызывать серьезные заболевания, включая септицемию;
- митис обитает в полости рта, и его роль в возникновении кариеса не исключается;
- ауреус часто обитает на слизистой оболочке верхних дыхательных путей и на коже.
Особую категорию представляют стрептококки viridans. Этот вид микроорганизмов получил свое название не случайно — оно происходит от латинского слова, означающего «зеленый», что отражает цвет, образующийся при их гемолизе. Этот вид бактерий обладает низкой токсичностью и практически не способствует развитию заболеваний.
Как уже упоминалось, стрептококк может находиться в организме человека в безвредной форме, не вызывая никаких симптомов.
В этом случае происходит носительство: присутствует микроб, но нет заболевания.
Стрептококковая ангина виды и формы, особенности развития у детей и взрослых
Симптомы стрептококкового горла
Стрептококковая ангина — это инфекционно-аллергическое заболевание, вызванное условно-патогенной микрофлорой ротовой полости, которое проявляется при ослаблении иммунной системы организма. Помимо поражения нёбных миндалин, также известного как первичный тонзиллит, это заболевание сопровождается лимфаденитом в регионарной зоне. В более широком смысле термин «ангина» может указывать на поражение любой из частей ротоглоточного лимфоэпителиального кольца: нёбных миндалин, глоточной, язычной и трубных.
Заболевание стрептококковым тонзиллитом может проявляться как отдельное заболевание, так и как местное поражение лимфатических органов, сопровождающее другой инфекционный процесс. Все они имеют общие причины развития патологии, а именно – заражение тканей бактериями.
В связи с этим имеются различные варианты стрептококковой ангины, которые проявляются острым развитием патологического процесса:
- катаральная форма стрептококковой ангины;
- форма фолликулярной ангины;
- лакунарная форма заболевания;
- язвенно-плёнчатая ангина;
- флегмонозная ангина;
- фибринозная ангина.
Вторичные симптомы стрептококковой ангины могут быть вызваны другими инфекционными заболеваниями, как бактериальной, так и вирусной природы, такими как дифтерия, скарлатина, мононуклеоз, туляремия, а также брюшной тиф. Кроме того, стрептококковая ангина может быть вызвана заболеваниями, связанными с кровеносной системой, такими как различные виды лейкозов и агранулоцитоз.
У детей часто встречается заболевание — стрептококковая ангина. В большинстве случаев это вызвано бета-гемолитическим стрептококком, в 10% случаев — другими видами этой бактерии, а остальные случаи связаны с вирусами, грибками, простейшими организмами и другими бактериями.
Классификация заболеваний на основе локальных изменений в гландах является относительной. При проведении фарингоскопии можно заметить, что болезнь представляет собой целостный патологический процесс, который не ограничивается одной стадией местного поражения. Заболевание может либо прогрессировать, либо остановиться на определенной стадии. Например, из фолликулярной и лакунарной форм может развиться фибринозная, при которой налет на небных миндалинах принимает обширный характер, охватывая всю поверхность лимфоидного органа.
Флегмонозная стрептококковая ангина также возникает как осложнение более легких форм инфекции. При этом воспалительный процесс затрагивает близлежащие ткани, известные как паратонзиллярная клетчатка. Патология обычно возвращается через 1-2 дня после видимого выздоровления. Это чаще всего происходит из-за неправильной тактики лечения, устойчивости возбудителя к антибиотикам, недостаточной дозировки препарата или неполного курса лечения.
Флегмонозная форма проявляется воспалением острой гнойной природы. В большинстве случаев поражение нёбных гланд одностороннее.
Дополнительные признаки включают в себя:
- острая боль в горле при попытках глотания;
- головная мигрень;
- чувство холода с дрожью;
- общее недомогание;
- синдром длительной усталости;
- изменение тембра голоса;
- судорожное сжатие челюстей из-за спазма жевательных мышц;
- лихорадка с ознобом;
- избыточное выделение слюны и слюноотделение;
- неприятный запах из полости рта.
Изменения в общем анализе крови указывают на наличие воспалительного процесса в острой фазе, что проявляется увеличением количества лейкоцитов. Характерной особенностью заболевания является развитие регионарного лимфаденита. Лимфатические узлы становятся болезненными, их увеличение можно определить при пальпации. Подвижность мягкого нёба ограничена.
В зависимости от серьезности развития патологического процесса также выделяются несколько вариантов:
- простая;
- средней сложности;
- сложная.
Способы лечения стрептококковой ангины
Существует множество различных методов лечения тонзиллита, направленных на его устранение. Среднее время восстановления от стрептококковой ангины составляет около 10 дней, при условии тщательного выполнения всеми рекомендуемых лечебных процедур пациентом.
- Обычно врач рекомендует использовать пенициллиновые антибиотики, которые помогают предотвратить осложнения. Вместе с этими препаратами также назначают бифидобактерии, чтобы избежать проблем с желудочно-кишечным трактом. Улучшение заметно уже через 24 часа после приема первой таблетки.
- Часто пациентам рекомендуется принимать бензилпенициллин в виде инъекций, 6 раз в день. Эти процедуры проводятся в условиях медицинского учреждения.
Если пациент не может использовать пенициллиновые антибиотики, врачи могут рекомендовать цефалоспорины или макролиды вместо них.
- При заболеваниях часто прописывают цефалексин или цефадроксил. Эти антибактериальные препараты успешно подавляют рост бактерий.
- Среди антибиотиков группы макролидов, популярен Азитромицин. Препарат назначается на короткие курсы, длительностью 3-5 дней.
- Помимо антибактериальной терапии, рекомендуется использовать противомикробные средства для местного применения. Они увеличат эффективность лечения и ускорят процесс выздоровления.
- Препарат Биопарокс представляет собой локальное ингаляционное средство. Он обладает широким спектром действия, обеспечивая противомикробный и противовоспалительный эффект. Применять Биопарокс следует не более 10 дней.
- Препарат Тонзилгон, содержащий лечебные травы (ромашка, алтей, полевой хвощ), также эффективен при тонзиллите. Он способствует укреплению защитных функций организма.
Обычно уже через два дня можно заметить заметные изменения. Указанные препараты могут вызывать определенные побочные реакции, которые необходимо учитывать. Также препараты с антибактериальным действием не рекомендуется принимать беременным женщинам, кормящим матерям и людям с нарушениями работы пищеварительной системы.
Период стационарного лечения обычно составляет около 10 дней, однако при возникновении осложнений этот срок может быть увеличен. Во время борьбы с заболеванием необходимо соблюдать следующие рекомендации:
- поддерживать режим отдыха в постели;
- избегать курения и употребления спиртных напитков;
- исключать из рациона вредные продукты;
- пить достаточное количество воды;
- избегать контакта с больными людьми;
- соблюдать правила личной гигиены.
Эти действия помогут ускорить процесс выздоровления. Если необходимо выходить на улицу, не следует допускать переохлаждения, поэтому важно хорошо одеваться.
Несмотря на эффективное лечение, у пациента некоторое время могут сохраняться симптомы. Для их устранения необходимо принимать указанные препараты.
- Препараты, снижающие температуру, например, Парацетамол, Аспирин, Ибуклин, Нурофен.
- Препараты от аллергии помогут уменьшить риск возникновения аллергических реакций и устранить отеки. Среди них можно выделить Зиртек, Цетрин.
- Для полоскания рта подойдут пищевая сода, марганцовка, Фурацилин.
- Препараты в виде таблеток и спреев с успокаивающим действием помогут снизить воспаление. Рекомендуется использовать Каметон, Ингалипт, Стрепсилс.
- Также рекомендуется принимать комплексные витаминные препараты, особенно витамины группы В и С.
Симптомы, признаки и проявления
Инфекция стрептококкового происхождения у детей может охватывать различные органы в зависимости от типа заболевания. Однако независимо от пораженного органа, существуют общие признаки, которые характерны для данной группы заболеваний:
- период инкубации может продолжаться до 5 дней;
- возникает внезапно;
- ребенок становится слабым, без энергии, отказывается от пищи;
- температура тела может подниматься до 40°;
- появляется тошнота и рвота;
- наблюдается сыпь на коже;
- ощущается общая слабость и головная боль.
Уникальные признаки зависят от того, где происходит процесс:
- Инфекция в полости рта может проявиться в виде кариеса. Стрептококки способствуют выработке молочной кислоты, которая вызывает разрушение зубной эмали.
- В случае стрептококковой инфекции в горле проявляются следующие симптомы:
- при ангине или тонзиллите возникает интенсивная боль в области горла. Миндалины становятся красными, отечными и покрываются белым налетом. Также происходит увеличение лимфоузлов;
- при фарингите горло становится красным, возникает болезненность при глотании. У маленьких детей наблюдается беспокойство и отказ от пищи;
- Если входом для инфекции служат нос или носоглотка, то первым признаком заболевания обычно становится насморк, заложенность носа и появление густого гнойного отделяемого зеленоватого оттенка. Также может наблюдаться кашель.
- Стрептококковая инфекция на коже проявляется в виде дерматитов и пиодермий. На коже лица, туловища и конечностей появляются различные высыпания, такие как мелкие точечные элементы или красные пятна. У детей до года наиболее частой причиной пиодермий являются опрелости.
Если не поддерживать чистоту у малыша, они могут заразиться и развить инфекцию.
- Важно отметить, что процесс инфицирования влагалища имеет свои особенности. В данном случае возбудителем инфекции становится стрептококк агалактия. У девочек это проявляется выделениями гнойного характера, ощущением зуда, болями при мочеиспускании и дискомфортом внизу живота. Если женщина находится в период беременности и является носителем стрептококка агалактия, она может заразить своего младенца этой инфекцией.
- Поражение нервной системы стрептококком может привести к развитию менингита у ребенка.
- Если патоген попадает в организм через дыхательные пути, это может привести к развитию пневмонии, бронхита или поражению пазух носа.
- Если возбудитель распространяется по крови, возникает общая форма заболевания — сепсис.
Лечение для детей
Для уменьшения острых признаков применяют препараты, снижающие температуру (например, Найз, Панадол), а также средства от аллергии (например, Диазолин, Супрастин). При выборе лекарственных средств для лечения тонзиллита учитывают вид заболевания, его степень тяжести и возраст ребенка. Стрептококковый ангину поддаётся лечению антибиотиками, наиболее эффективными в отношении патогенных бактерий. Кроме того, проводят местное воздействие на миндалины антисептическими и обезболивающими препаратами.
| Препараты | Фото | Цена |
|---|---|---|
| Найз | ![]() |
От 195 руб. |
| Панадол | ![]() |
От 53 руб. |
| Диазолин | ![]() |
От 67 руб. |
| Супрастин | ![]() |
От 130 руб. |
Препараты
Антибиотики группы пенициллинов, такие как Амоксициллин и Ампициллин, являются основным средством борьбы с возбудителем тонзиллита. В случае непереносимости этих препаратов врач может назначить цефалоспорины, например Цефтриаксон или Цефиксим, либо макролиды, такие как Эритромицин или Хемомицин. Эти лекарства обладают широким спектром действия, имеют низкую токсичность и высокую эффективность.
| Препараты | Фото | Цена |
|---|---|---|
| Ампициллин | ![]() |
От 17 руб. |
| Цефтриаксон | ![]() |
От 26 руб. |
| Эритромицин | ![]() |
От 15 руб. |
| Хемомицин | ![]() |
От 114 руб. |
Доктор, занимающийся лечением, определяет продолжительность приема таблеток и правильную дозировку для ребенка. Обычно курс составляет от 5 до 10 дней, но при хронической стрептококковой инфекции лечение может занять больше времени. Улучшение состояния обычно наступает через сутки после начала приема препаратов.
Антибиотики не только вредно воздействуют на вредоносные микроорганизмы, но также нарушают баланс естественной микрофлоры слизистых оболочек. Это может привести к усилению роста грибков, возникновению стоматита, дисбактериозу кишечника и генитальному кандидозу. Для предотвращения осложнений с антибактериальными препаратами обычно назначают живые лактобактерии и бифидобактерии: такие как Бифиформ и Линекс.
Для процедур полоскания горла часто используют препараты, такие как Мирамистин, Хлоргексидин, Ротокан. Рекомендуется повторять процедуры 5–6 раз в течение дня. В случае маленьких детей, которые не могут проводить полоскания самостоятельно, можно воспользоваться спреем, например, Аквалор или Люголь.
Для детей старше двух лет рекомендуется регулярно использовать спреи для полоскания горла, такие как Орасепт или Биопарокс. Эти препараты помогают удалить пленки с поверхности миндалин, что способствует очищению лакун от гноя.
| Препарат | Фото | Цена |
|---|---|---|
| Бифиформ | ![]() |
от 470 руб. |
| Линекс | ![]() |
от 287 руб. |
| Мирамистин | ![]() |
от 198 руб. |
| Орасептом | ![]() |
от 251 руб. |
| Хлоргексидин | ![]() |
от 15 руб. |
Лечение действенно лишь в ранние стадии острой ангины и при лечении хронического тонзиллита.
Народные средства
Для предотвращения скопления слизи на поверхности миндалин и ускорения вывода токсинов из организма ребенка рекомендуется обеспечивать достаточное питье. Полезно приготовить чай с цветами липы, листьями малины, добавить кусочек лимона или имбиря, а вместо сахара использовать ложку меда. Напитки следует употреблять в теплом виде 3–4 раза в день, горячие напитки следует избегать, поскольку это может усилить воспалительный процесс.
Благотворные качества ромашки
Для полосканий можно использовать отвары ромашки, коры дуба, зверобоя, шалфея или календулы. Рецепт приготовления состоит в том, чтобы взять 2 столовые ложки сухой травы и 0,4 л кипятка, затем настоять 2 часа. Полученную жидкость следует процедить и применять для регулярных полосканий.
Для укрепления иммунитета ребенка рекомендуется приготовить следующее средство: нарежьте один лимон на полукольца вместе с кожурой, поместите его в поллитровую банку и залейте жидким медом так, чтобы цитрус был полностью покрыт. Плотно не закрывайте крышку и поместите банку в холодильник. Во время лечения рекомендуется употреблять по кусочку лимона 3 раза в день. Следует отказаться от данного рецепта в случае аллергии на пчелопродукты.
Физиотерапия
Для лечения стрептококковой ангины у детей используются методы физиотерапии. Эти процедуры способствуют ускоренному выведению гнойных отложений, улучшают действие лекарств и стимулируют процессы восстановления тканей.
Лечение тонзиллита с помощью физиотерапии:
Лечение тонзиллита с использованием физиотерапии
- ;
- облучение миндалин коротковолновым УФ-светом;
- терапия с использованием лазеров (магнитолазерная терапия);
- процедура кварцевания горла;
- терапия с использованием виброакустических волн.
Лечебные мероприятия проводятся после устранения острых проявлений заболевания и снижения температуры. Длительность курса определяется врачом-педиатром.
Частые вопросы
Какие симптомы характерны для стрептококковой ангины?
Стрептококковая ангина проявляется болью и затруднением глотания, покраснением горла, наличием белого налета на миндалинах, а также повышением температуры тела.
Каковы возможные осложнения стрептококковой ангины?
Осложнениями стрептококковой ангины могут быть ревматическая лихорадка, острые ревматические поражения сердца, почечные осложнения, абсцессы околоносовых пазух и другие инфекционные осложнения.
Полезные советы
РЕКОМЕНДАЦИЯ №1
Обратитесь к врачу для точного диагноза и назначения соответствующего лечения. Стрептококковая ангина требует антибиотиков, поэтому самолечение может быть опасным.
РЕКОМЕНДАЦИЯ №2
Следуйте рекомендациям врача относительно приема антибиотиков. Не прерывайте курс лечения досрочно, даже если симптомы ангины улучшились.
РЕКОМЕНДАЦИЯ №3
Соблюдайте постельный режим, употребляйте мягкую пищу и пейте много теплых жидкостей, чтобы облегчить состояние при ангине.









































