Коронки из оксида циркония пользуются большой популярностью в современной стоматологии. Они широко используются для фиксации несъемных протезов зубов. Материал, из которого они изготовлены, обладает высокой прочностью, полной безопасностью и гипоаллергенностью, а также долговечностью и устойчивостью к износу. При правильном уходе такие коронки могут прослужить до 15-20 лет.
Особенности протезов из циркония на зубы
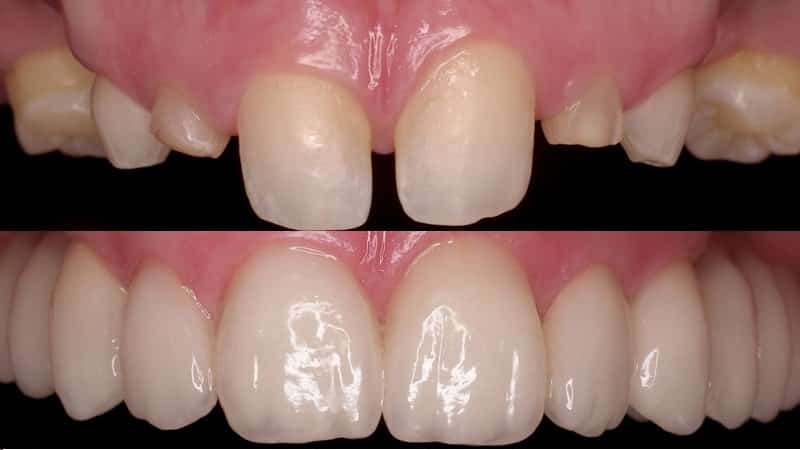
Циркониевые коронки создаются с использованием передовых компьютерных технологий, что позволяет идеально подстроить их под каждого пациента. Каркас изготавливается из оксида циркония и покрывается керамикой. На фото ниже можно увидеть, как выглядят эти коронки на зубах. Стоматологи уже более двадцати лет устанавливают такие коронки, и с течением времени они становятся все более совершенными благодаря своим уникальным особенностям:
- Прочность: циркониевые коронки служат долгое время и имеют гарантию не менее 15 лет.
- Комфорт при ношении: они плотно прилегают к десне, что предотвращает попадание бактерий и остатков еды, что в свою очередь снижает риск стоматологических заболеваний, таких как кариес и пародонтоз.
- Гипоаллергенность: благодаря своему уникальному химическому составу, циркониевые коронки являются биосовместимыми и не вызывают аллергических реакций.
- Эстетичность: они очень похожи на естественную эмаль зубов, которая не меняет своего цвета и не разрушается со временем.
- Сохранение зубов: установка циркониевых коронок не требует чрезмерной обработки и удаления пульпы, что способствует сохранению зубов.
Показания к установке циркониевых зубных протезов
Стоматологи рекомендуют установку циркониевых зубных протезов пациентам, страдающим сахарным диабетом и эндокринными заболеваниями. Эти протезы также подходят для тех, кто не хочет делать депульпирование передних зубов, так как другие виды коронок требуют удаления нервов, что может привести к кариесу и другим стоматологическим проблемам. Циркониевые коронки идеально подходят для замены более четырех жевательных и передних зубов. На фото до и после видно, как выглядят циркониевые коронки.
Противопоказания к установке циркониевых протезов на зубы
Установка коронок данного типа не рекомендуется только в нескольких случаях:
- Если имеется явный глубокий прикус.
- При наличии расстройств психического характера.
- При бруксизме.
- При слабом иммунитете после перенесенных заболеваний.
- При наличии ночного скрежета зубов.
- Во время беременности.
К сожалению, эти факторы могут помешать достижению более привлекательной внешности улыбки, например, при использовании коронок из циркония, как показано на фото до и после.
Процесс установки зубов из циркония
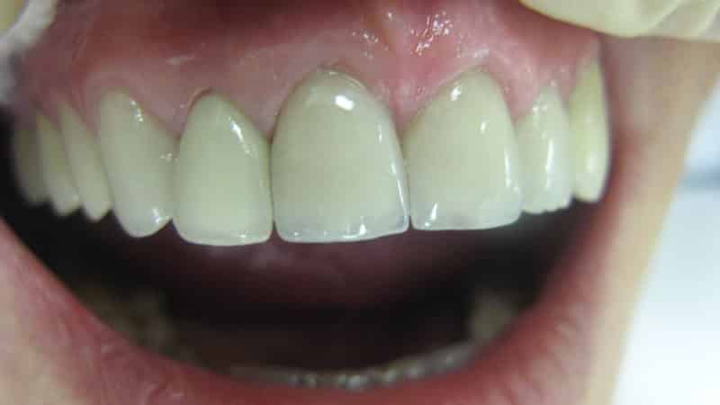
Процесс установки зубных протезов данного типа проходит через несколько этапов, некоторые из которых схожи с процессом протезирования коронок из других материалов. Установка циркониевой коронки, как показано на фото ниже, осуществляется следующим образом:
Циркониевая коронка
- Врач-стоматолог проводит осмотр пациента, включая рентген челюстей.
- Затем производится санация полости рта, лечение кариеса и замена старых пломб.
- Далее зубы обрабатываются в соответствии с размерами будущего протеза.
- Следующим этапом является создание слепков с помощью челюсти пациента, на основе которых изготавливаются циркониевые коронки и временные пластмассовые.
- Пациенту предлагается выбрать цвет коронки.
- Завершающим этапом является изготовление коронок из циркония с использованием современных технологий. Готовые зубные протезы сначала крепятся временным составом для примерки, а затем закрепляются на постоянный цемент.
Стоимость изготовления и установки протезов для зубов из оксида циркония
Цена на коронки из диоксида циркония, как многие считают, является их единственным недостатком. Установка одной коронки на зуб обойдется примерно в 20000 рублей. Однако, учитывая использование услуг опытного стоматолога, так как не каждый врач может выполнить процесс протезирования с использованием данного материала, эта цена является довольно доступной. В стоимость также включены профессионализм лаборанта, использование современного оборудования и материалов, включая временные пластмассовые коронки.
Стоимость коронки также зависит от ее типа. Например, коронка из диоксида циркония на имплантат будет стоить около 28000 рублей, зубной протез из диоксида циркония — около 21000 рублей, вкладка на основе диоксида циркония — около 18000 рублей, а винир из диоксида циркония — около 19000 рублей.
Уход за протезами из циркония
Уход за коронками из диоксида циркония, как показано на фото, не сильно отличается от обычного ухода за полостью рта. Для правильного ухода за протезами из циркония рекомендуется следовать следующим рекомендациям:
- Регулярно чистите зубы с использованием зубной пасты и мягкой щетки не менее двух раз в день.
- После приема пищи промывайте полость рта теплой водой или отварами из растений, таких как ромашка, кора дуба или шалфей.
- Избегайте пережевывания твердых предметов, таких как орехи, лед или семечки, с использованием зубов из циркония.
- Не используйте щетку с жесткими щетинками для чистки циркониевых протезов.
Период восстановления и реабилитации после установки протезов для зубов из циркония
После установки коронок из циркония пациент может испытывать некоторый дискомфорт и повышенную чувствительность зубной эмали. Чтобы снизить эти ощущения, рекомендуется временно избегать твердой, острой и пряной пищи. Кроме того, стоматолог даст пациенту рекомендации по правильному уходу за новыми несъемными протезами, чтобы он быстрее привык к ним. Также важно регулярно посещать врача хотя бы раз в полгода.
Отзывы пациентов
После двух беременностей, несмотря на тщательный уход и регулярные посещения стоматолога, мои зубы начали портиться. Ни санация, ни своевременное лечение, ни прием витаминов не смогли остановить процесс крошения и ломки зубов. Я решила выбрать коронки из циркония, так как они имеют более эстетичный вид, чем металлокерамика. Зубы из циркония выглядят привлекательно и делают улыбку более красивой и естественной. Они практически неотличимы от настоящих зубов. Когда мне пришлось заменить четыре передних зуба, стоматологу удалось установить циркониевые коронки без необходимости обтачивания. Прошло уже пять лет, и никто не догадывается, что у меня протезы. Стоматолог заверил меня, что они прослужат не менее 15 лет, а при правильном уходе и дольше.







