Гингивит — это воспалительное заболевание полости рта, которое возникает из-за инфекции слизистой поверхности десен. Хотя симптомы гингивита похожи на пародонтит, они отличаются глубиной поражения тканей. При гингивите воспалены только наружные слои десны, в то время как при пародонтозе затронуты глубокие слои вдоль корня зуба. В отличие от пародонтоза, гингивит не приводит к нарушению целостности соединения зуб-десна, и зубы не становятся шаткими или выпадают. Лечение гингивита вовремя помогает предотвратить развитие следующей стадии болезни — воспаления пародонта.
Причины гингивита
Воспаление слизистой оболочки десны часто является первым этапом развития глубокого воспаления тканей. Причины гингивита и парадонтита схожи, поэтому лечение этих заболеваний осуществляется одними и теми же методами.
Появление гингивита указывает на наличие инфекции, которая может быть внешней или внутренней. Внешняя инфекция может накапливаться в зубном налете или камне, образовываться в кариозных полостях, а также передаваться во время стоматологического лечения, в результате травмы, неправильного прикуса, токсического отравления (например, от курения) или наружной инфекции. Одной из наиболее распространенных причин гингивита является наличие зубного камня и налета на поверхности зубов.
Внутренние причины гингивита связаны с инфекцией, которая развивается внутри организма. Например, источником внутренней инфекции может быть заболевание пищеварительной системы, особенно органов, таких как желудок, печень и желчный пузырь, а также заболевания почек, диабет, туберкулез или ревматизм. В таких случаях лечение гингивита возможно только при улучшении общего состояния организма и остановке развития основного внутреннего заболевания. Также снижение иммунитета и дефицит витаминов и минералов могут быть косвенными причинами гингивита, и для их лечения необходимо принимать комплексы витаминов и минералов, которые укрепляют организм.
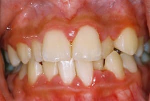
Изображения демонстрируют прогрессию воспаления десен: сначала поражается слизистая (гингивит), затем вовлекается пародонт, после чего десна опускается и зубы начинают расшатываться.
Гингивит: разновидности заболевания
Гингивит может быть классифицирован на несколько видов в зависимости от формы проявления болезни. Острое воспаление слизистой десны характеризуется наличием отложений на зубах, покраснением и отеком десны, кровоточивостью при чистке зубов и приеме твёрдой пищи. Хроническая форма гингивита, напротив, не вызывает боли и проявляется небольшим отеком десны и возможным дискомфортом. Она может периодически обостряться и принимать острую форму весной и осенью. Лечение хронического гингивита является более сложным по сравнению с другими формами болезни.
Гингивит также может быть классифицирован по особенностям поражения десны. Катаральный вид характеризуется покраснением и отеком десны, а также небольшими болевыми ощущениями. Лечение этой формы гингивита требует минимальных манипуляций и занимает несколько дней. Язвенно-некротический вид сопровождается образованием язв на поверхности десны, отмиранием слизистой, неприятным запахом изо рта, сильными болями, слабостью, увеличением лимфоузлов и иногда повышением температуры. Гипертрофический гингивит характеризуется устойчивым воспалением тканей десны и увеличением десневых сосочков. Он может быть отёчным или фиброзным, при этом отёчный вид сопровождается блестящим красным цветом и кровоточивостью, а фиброзный вид не вызывает боли и кровоточивости. Атрофический гингивит характеризуется уменьшением десны и оголением зуба, а десквамативный гингивит является видом аллергической реакции десны, проявляющейся в слущивании эпителия, образовании пузырьков, покраснении и отеке. Лечение аллергического гингивита требует выявления источника аллергии и его устранения.
Гингивит: симптомы воспаления десны
Гингивит и парадонтит имеют схожие симптомы: десна становится красной, отекает и увеличивается в размерах, сопровождаясь болевыми ощущениями. Кровоточивость может возникать после чистки зубов или при нагрузках на зубы. Возможны ощущения зуда и дискомфорта, а также боли при приеме пищи. Особенно тяжело заболевание протекает у подростков и беременных женщин, так как к воспалительному процессу добавляются гормональные изменения в организме.
Гингивит: лечение у стоматолога и народными средствами
Лечение гингивита зависит от степени поражения десен. Чаще всего воспаление вызывается зубным камнем и налетом, поэтому первым шагом в лечении гингивита является их удаление. Эту процедуру выполняет стоматолог, используя механические или ультразвуковые методы. При механической очистке врач удаляет камень и налет с помощью металлического инструмента, а также шлифует эмаль. Ультразвуковая аппаратура позволяет провести процедуру точно и безболезненно, а также дезинфицировать поверхность зуба.
Воспаление десен — поверхностное заболевание, поэтому его можно лечить антисептическими полосканиями. Для этого можно использовать солевые и содовые растворы, теплые отвары трав, спиртовые настои антисептических трав, спиртовой раствор прополиса. Также эффективным способом лечения гингивита является рассасывание прополиса под языком, так как он является природным антисептиком и натуральным антибиотиком.
Все полоскания следует проводить в теплом виде, так как это улучшает проникновение веществ в десну и прогревает место воспаления.
Хирургическая помощь в виде кюретажа необходима при образовании карманов между зубом и десной, где скапливаются остатки пищи. Врач очищает эти полости специальным инструментом, предотвращая загнивание остатков пищи, образование гноя и сильное воспаление. Кюретаж обычно проводится без надреза десны и требует местного обезболивания.
Главное условие успешного лечения — поддержание постоянной гигиены полости рта, борьба с распространением инфекции и подавление источников инфицирования.






