Установка зубной коронки – это метод восстановления сильно поврежденного зуба, который возвращает ему функциональность и защищает от различных заболеваний, включая кариес. Коронка представляет собой постоянный протез, изготавливаемый на основе слепков в зуботехнической лаборатории.
Коронка выполняет несколько функций и может использоваться для фиксации мостовидного или бюгельного протеза, а также при полном отсутствии зуба, хотя в этом случае процесс установки отличается. В первом случае применение коронки является необходимостью при разрушении зуба более чем на две трети, когда другие методы лечения не могут обеспечить правильное распределение нагрузки при жевании.
Классификация
Классификация протезов в медицинском сообществе основана на материале, используемом для их изготовления. Определить, какие коронки на зубы лучше, по фото, снимкам, истории болезни и анамнезу невозможно, поэтому необходима консультация специалиста. Он поможет выбрать коронки на зубы, учитывая медицинские данные, цены, предпочтения и возможности пациента.
Существуют различные типы протезов:
- Металлические;
- Керамические;
- Металлокерамические;
- Металлопластмассовые;
- Пластмассовые.
Металлические и золотые
Металлические коронки были первыми, и для их изготовления часто использовали золото или специальные медицинские сплавы на его основе. Золото было выбрано из-за своих особых свойств и хорошей совместимости с организмом. Однако сейчас в медицинском сообществе считается, что эстетически золотые коронки не оправданы, хотя многие все еще могут представить себе их функции, видя фото золотого протеза.
Металлические коронки все еще используются, но сейчас для их изготовления применяются различные сплавы титана, нержавеющей стали и иногда драгоценные металлы, такие как платина или специальное напыление. Эти конструкции являются более доступными и обеспечивают полное восстановление функции зуба, но их неэстетичный внешний вид все еще вызывает недовольство.
Металлокерамические зубные протезы
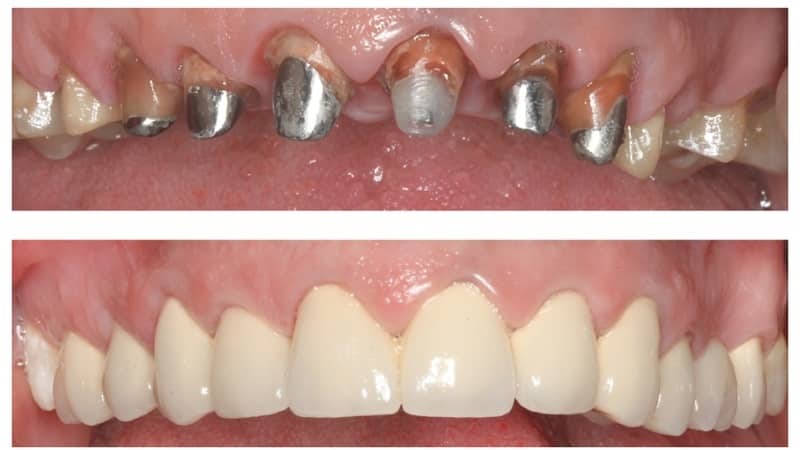
Протезы такого типа являются средним вариантом. Они обладают достаточной прочностью, доступны по цене и обеспечивают достижение оптимального эстетического результата. Результат можно ясно увидеть на фотографиях до и после установки металлокерамической коронки на зубы. Конструкция этих протезов особенная, поскольку металлическая основа присутствует только внутри.
Фотографии металлокерамических зубных протезов до и после установки.
Установка такого протеза имеет множество преимуществ, однако стоматологи отмечают, что они уступают цельнокерамическим коронкам в одном аспекте. При обнажении корня зуба, даже если это происходит в минимальной степени, видна металлическая основа. Однако, если использовать специальный металл с соответствующим оттенком при изготовлении протеза, эта проблема может быть легко решена.
Керамические коронки
Протезы из этого материала являются самыми дорогими, но визуально они выглядят наиболее привлекательно. Биосовместимость этого материала выше, чем у других. Он позволяет создать протез, который практически неотличим от естественного зуба, воспроизводя его прозрачность и цветовые характеристики.
Этот материал часто используется для протезирования передних зубов, чтобы создать красивую улыбку.
Однако из-за недостаточной прочности и проблем с прозрачностью он не подходит для восстановления жевательных поверхностей.
Пластмассовые протезы
Пластмассовые коронки — один из видов коронок на зубы, которые широко используются в настоящее время. Они являются более доступным вариантом, но не так прочны, поэтому их устанавливают только на определенный период времени. Чаще всего они применяются для крепления имплантов, но иногда также используются для фиксации мостовидных протезов. Срок службы пластмассовых коронок составляет от одного до трех лет. Они имеют преимущество в доступной стоимости, но также имеют ряд недостатков. Они не долговечны, быстро теряют свой цвет, что делает металлическую основу заметной. Кроме того, часто бывает сложно достичь должного прилегания между металлической основой и пластмассовой частью.
Пластмассовые коронки
Изготовленные полностью из пластмассы, такие коронки используются только в качестве временных конструкций. Их срок службы невелик, и их наиболее оптимально использовать на время приживления имплантов, при изготовлении постоянной конструкции.
Какие коронки лучше применять
Зубные коронки могут быть различными, и выбор подходящей определяется врачом, учитывая медицинские показания и пожелания пациента. Каждая коронка имеет свой срок службы, и рекомендуется заменять их каждые десять лет, чтобы избежать проблем, таких как зубная боль или кариес под коронками. Среди всех видов коронок, цельнокерамические протезы считаются наиболее прочными и эстетичными, но они также являются самыми дорогостоящими. В основном, они рекомендуются для передних зубов, в то время как для жевательных зубов можно выбрать более доступные по цене варианты. Фотографии до и после установки коронок на зубы показывают, что цельнокерамические протезы создают более естественный внешний вид зубного ряда.





