Кариес у детей является неприятным стоматологическим заболеванием. Однако, существуют меры, которые можно принять для предотвращения образования дырок и разрушения молочных зубов. Важно регулярно и тщательно чистить зубы, следить за питанием и принимать таблетированный кальций с витамином D3. Также полезно давать дёснам полноценную нагрузку, например, жевать морковь, тыкву, яблоки и капусту. Это поможет обеспечить полноценное кровоснабжение и предотвратить появление кариеса в коренных зубах. Если кариес молочных зубов уже сформировался, важно обратиться к стоматологу для консультации и лечения. Лечение кариеса у детей проводится по необходимости. Если молочный зуб уже шатается, его пломбирование не имеет смысла. Однако, если на крепком молочном зубе появилось пятно, лечение поможет предотвратить его дальнейшее разрушение. В данной статье мы рассмотрим подробности формирования детского кариеса, методы лечения и способы предотвращения разрушения молочных зубов.
Кариес в молочных зубах: причины развития
Кариес молочных зубов у детей может быть вызван несколькими факторами. Во время беременности формируется крепость зубов, и недостаток кальция в организме матери может привести к разрушению зубной эмали у второго ребенка. Кроме того, наличие кислой микрофлоры в ротовой полости также может способствовать развитию кариеса. Углеводистая и белковая пища, а также остатки пищи, особенно сладости и мясо, могут вызывать закисление слюны и формирование патогенной флоры, которая разъедает эмаль и образует дырки. Нарушение пищеварения, такие как гастрит или воспаление печени, а также наследственная предрасположенность к желудочным заболеваниям, могут также способствовать разрушению зубных тканей у детей. Кариес может стать источником инфицирования желудка и провоцировать развитие заболеваний ЖКТ. В целом, недостаток кальция, остатки пищи между зубами и внутренние заболевания являются главными причинами детского кариеса.
Лечение молочного кариеса
Кариес молочных зубов требует обязательного лечения, если резец или клык ещё не шатается. Если под зубом с кариесом уже формируется коренной зуб, то лечение нецелесообразно. В течение нескольких месяцев он сам выпадет, и на его месте появится новый зуб. Если шатающийся зуб вызывает сильные боли, его удаляют. Корни молочного зуба уже рассасываются к моменту его расшатывания, когда новый зуб формируется в десне. Поэтому удаление шатающегося молочного зуба происходит безболезненно и без использования анестезии.
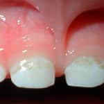
Если зуб не шатается, детский кариес необходимо лечить как можно раньше. У детей выделяют несколько стадий развития кариеса.
-
Поверхностный кариес молочных зубов характеризуется небольшой глубиной разрушения. В эмали образуется небольшая полость, которая не проникает в среднюю часть коронки (дентин). Появление поверхностного кариеса у ребенка сопровождается болевыми ощущениями при употреблении сладкого или кислого. Часто лечение этой формы кариеса не требует применения бормашины. Поверхностную полость можно закрыть фторсодержащим лаком или серебряной пастой.
-
Средний кариес молочных зубов охватывает дентин. В дополнение к боли от сладкого и кислого появляется чувствительность к горячему и холодному. Средний детский кариес требует пломбирования. Для этого необходимо удалить разрушенный слой внутри полости. В большинстве стоматологических клиник для пломбирования используется бормашина.
-
Глубокий кариес молочных зубов является самой запущенной формой заболевания. Часто возникает воспаление на корнях, образуются кисты, инфицируется десна, возникает нагноение (флюс). Лечение в данном случае сводится к удалению зуба.
Кариес у малыша в два года
Кариес молочных зубов у детей в возрасте полтора-два года часто начинается на передних резцах. Сначала на зубах появляется налет желтого или коричневого цвета, затем они полностью окрашиваются в коричневый и становятся черными, после чего начинают ломаться. Этот неблагоприятный прогноз часто относится к передним резцам, которые чаще всего разрушаются у малышей в первую очередь.
Детский кариес часто является результатом недостатка кальция в первые три месяца беременности. Например, дефицит кальция может быть обусловлен еще до зачатия или сильным токсикозом в начале беременности.
Лечение молочного кариеса в возрасте полтора-два года является необходимым. Чем раньше обнаружено разрушение зубов, тем проще их лечение. В начальной стадии зуб не вызывает боли и может быть обработан серебром для остановки кариеса. Лечение молочных зубов помогает предотвратить распространение кариеса на постоянные зубы.
Альтернативные методы лечения
Современная стоматология учитывает желание детей и их родителей получить лечение зубов без боли. Для этой цели были разработаны новые методы лечения кариеса, которые не требуют использования бормашины, являются безболезненными и очень эффективными. Эти новые методы лечения называются альтернативными.
- Метод серебрения используется для лечения молочных зубов, но может оставлять серый налет на эмали, что не всегда устраивает взрослых пациентов.
- Реминерализация, или насыщение эмали минералами кальция и натрия, является длительным процессом лечения, который включает нанесение минеральной пасты на жевательную поверхность зуба с начальным кариесом. Минералы из пасты постепенно проникают в дентин и насыщают его, делая зуб твердым и прочным.
- Озонотерапия основана на дезинфицирующих свойствах озона и может быть эффективна в начальной стадии заболевания, так как озон не так эффективно проникает в глубокие кариозные полости.
- Депофорез — эффективный метод лечения глубокого кариеса у детей. Он включает введение лекарства, содержащего гидроокись меди и кальция, внутрь кариозной полости. Это лекарство способно проникать в каналы любых мелких размеров и дезинфицировать их. Для предотвращения боли при прохождении электрических импульсов, зуб обезболивается.
- Фотодинамическая терапия использует фотоматериалы и лазер. Лечебные вещества наносятся на больной зуб и облучаются лазером.
Профилактика кариеса у детей
Для предотвращения и остановки кариеса у детей необходимо принимать правильные профилактические меры. Вот несколько рекомендаций:
-
Соблюдение гигиены полости рта. С самого раннего возраста ребенка следует научить чистить зубы и полоскать рот после еды. Важно также развивать привычку не перекусывать между приемами пищи и не есть на ходу, так как это может негативно сказаться не только на зубах, но и на работе желудочно-кишечного тракта. Поддержание чистоты во рту и нормальной микрофлоры поможет предотвратить развитие кариозных бактерий.
-
Правильное и полноценное питание. Ребенок должен получать все необходимые ему витамины, микроэлементы, углеводы и белки с пищей. Особенно важно обеспечить достаточное количество кальция, содержащего витамин D3, особенно для детей, живущих в экологически загрязненных регионах или крупных городах. Кальций играет важную роль в формировании здоровых постоянных зубов в раннем возрасте (от года до пяти лет).
-
Умеренное потребление сладостей. Необходимо строго ограничить количество конфет, пирожных, шоколадок и других сладостей, которые ребенок потребляет в течение дня. Лучше вообще избегать их употребления. Если вокруг есть бабушки, которые любят баловать внуков сладостями, важно установить четкие границы и разрешить не более одной-двух конфет в день. Также следует ограничить потребление газированных напитков, так как они, как и сахар, могут вымывать кальций из зубов и костей.
-
Активная нагрузка на десны. Жевательная нагрузка способствует нормальному кровотоку в деснах. Это важно, так как кровь поставляет клеткам необходимые питательные вещества, кислород и микроэлементы. Усиление кровотока помогает каждой клетке получить больше необходимых веществ и предотвращает развитие кариеса у детей. Пережевывание твердых овощей, таких как морковь, капуста и тыква, является своеобразной гимнастикой и массажем для зубных тканей и десен. Поэтому, когда у ребенка появляется первый резец, ему можно дать кусочек яблока, почищенную морковь или капустную кочерыжку.
-
Регулярные посещения стоматолога (каждые три месяца) помогут своевременно выявить и предотвратить развитие кариеса.
-
Избегание вредных привычек. Если в доме есть курящий родитель, ребенок может получить «подарок» в виде детского кариеса от сигарет. Табак попадает в организм ребенка вместе с вдыхаемым воздухом, а содержащийся в нем никотин разрушает кальций.
Минеральные комплексы против кариеса
Состояние ногтей ребенка может служить косвенным показателем необходимости приема искусственных минералов. Если ногти ломкие и тусклые, это может означать, что организму не хватает кальция.
Важно помнить, что кальций лучше всего усваивается в организме вечером. Поэтому наиболее эффективно принимать кальциевые препараты после 16:00. Для полноценного ужина ребенка рекомендуется включать продукты, богатые кальцием, такие как творожная запеканка, сырники, сырковая масса, ряженка, кефир, сыр и молоко. Кроме того, эти продукты содержат белок, который долго переваривается в кишечнике, что обеспечивает его полноценное расщепление после ужина.
Кальций не синтезируется в организме человека, но выполняет несколько важных функций, таких как регулирование кровяного давления, свертываемость крови и передача нервных импульсов. Недостаток кальция может привести к вымыванию минерала из костей и зубов, а также стать основой для развития кариеса в зубных тканях.






