Кариес является наиболее распространенной и известной проблемой в стоматологии. Почти каждый взрослый человек сталкивался с появлением кариозных образований на своих зубах после посещения стоматолога. Начиная с незаметного пятна на эмали, кариес может развиться в серьезное заболевание, требующее удаления зуба. В конечном итоге, зубной кариес — это патологическое изменение твердых тканей зуба, которое приводит к их разрушению.
Факторы влияющие на устойчивость к кариесу
Кариес является распространенным заболеванием, которое встречается у более чем 90% людей с зубами. Вероятность развития кариеса зависит от ряда факторов, таких как уровень потребления сахара, климатические условия, наличие кальция в пище и фтора в питьевой воде.
Регулярное потребление сладкой мягкой пищи может привести к образованию кариозных полостей в полости рта. Низкий уровень солнечного света в северных регионах, а также недостаток кальция и фтора в пище также негативно влияют на здоровье зубов.
Кроме внешних факторов, на сопротивляемость зубов кариесу влияют физиологические особенности человека и уровень его заботы о своем организме. Эти факторы включают недостаточное внимание к гигиене полости рта, сниженный иммунитет, наличие большого количества стрептококков в ротовой полости, повреждение эмали искусственными зубами или брекет-системами, нарушения гормонального фона и обмена веществ в период беременности или грудного вскармливания, а также проблемы с формированием эмали при появлении коренных зубов.
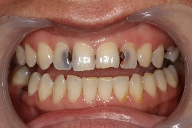
Большинство стоматологов выделяют 4 основные стадии развития кариеса и назначают лечение в зависимости от степени развития патологии. Эти стадии включают темные или светлые пятна на эмали зуба, кариес поверхности зуба, средний кариес, затрагивающий дентин, и глубокий кариес, проникающий в область зубного нерва.
Развитие кариозных образований происходит постепенно, начиная с поражения эмали на поверхности зуба и распространяясь вглубь к корням зуба. Фотографии кариеса на разных стадиях его развития наглядно демонстрируют эти изменения.
Пятна на эмали
Появление пятен на эмали является первым признаком проблем. Они возникают из-за деминерализации поверхности зубов, когда кальций, один из важнейших компонентов эмали, вымывается, что в конечном итоге приводит к разрушению ее структуры. Обычно самостоятельно заметить эти процессы без стоматологического образования довольно сложно, и разрушение эмали происходит безболезненно, поэтому пациент не предпринимает никаких мер. Однако стоматолог может обнаружить поражение во время профилактического визита, используя специальные красящие вещества и видя, как выглядит кариес на зубах. На этом этапе болезни можно обойтись без бормашины и пломбы, достаточно тщательно соблюдать гигиену полости рта и получать необходимые витамины и минералы для восстановления эмали и исчезновения пятен. В некоторых случаях можно использовать лазерное удаление пятна в специализированной клинике, но все равно необходимо пройти назначенный врачом курс лечения. Важно помнить, что даже небольшое пятно, оставленное без лечения, может впоследствии стать серьезной угрозой для зубов и привести к их потере. Поэтому, если ваш стоматолог поставил такой диагноз, необходимо предпринять все необходимые меры для поддержания здоровья полости рта.
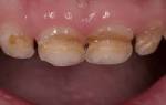
Кариес поверхности
При отсутствии регулярных посещений стоматолога, обнаружить пятна на зубах может быть сложно. Если эти пятна не лечатся, они начинают распространяться, изменяя структуру эмали и постепенно разрушая ее. К сожалению, на этой стадии нельзя самостоятельно восстановить эмаль, поэтому необходимо обратиться к зубному врачу. Кариес может появиться на внутренней поверхности зубов или между ними и оставаться незамеченным некоторое время. От простого пятна на эмали кариес может распространиться до корня зуба и вызвать его выпадение. Однако наличие дефектов эмали, белого или желтого налета, а также маленьких темных пятен на зубах может указывать на наличие кариеса на поверхности. На этом этапе могут возникать болезненные ощущения при употреблении горячей, холодной, сладкой или кислой пищи. Обычно на этом этапе люди обращаются к дантисту для лечения. Рекомендуется начать лечение незамедлительно, чтобы предотвратить дальнейшее распространение болезни и возможные негативные последствия.
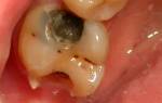
Средний кариес
На данном этапе кариес уже трудно не заметить, а игнорирование его лечения крайне опасно. Кариозные пятна на поверхности зубов значительно увеличиваются и их легко заметить самостоятельно. Однако есть случаи, когда зубы имеют достаточно прочную эмаль, чтобы устоять перед кариесом, и пятна не видны. В таких ситуациях, если есть трещина в эмали, кариес проникает внутрь зуба, поражая более мягкие ткани, известные как дентин. Кариес часто начинает проявляться на задней стороне зубов и между ними. Обычно кариозные образования сосредоточены глубже на поверхности и часто в области между зубами. Лечение в таких случаях включает очищение пораженной поверхности от налета и применение лекарственных средств в полости рта для уничтожения вредоносных бактерий. На место удаленной зубной ткани устанавливается пломба, которую необходимо регулярно очищать от образовавшегося налета.
Глубокий кариес
В последней стадии развития кариеса возникает боль в области зубного нерва, который становится очень чувствительным к температуре пищи. Повреждение эмали и дентина расширяется. Однако, важно помнить, что боль при прямом контакте с зубом, при пережевывании пищи или по ночам, не является признаком глубокого кариозного поражения, а указывает на поражение десен. Лечение проводится по тем же принципам, что и в предыдущих случаях — удаление пораженной ткани, очистка эмали от налета и зубного камня, установка пломбы.
В статье представлены фотографии, которые наглядно объясняют, какие повреждения может вызвать этое заболевание и что такое кариес зубов. Каждая последующая стадия болезни требует все большего вмешательства со стороны врача.
Регулярные посещения зубного врача для профилактики крайне важны. Необработанный кариес может привести к потере зубов и развитию смежных инфекций.





