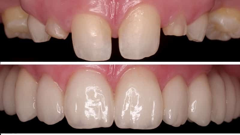
Керамические зубы: фото до и после коронок

Установка коронок имеет важное значение не только для сохранения внешней привлекательности, но и для надежной реставрации зубов. Если не принимать меры после потери зуба, могут возникнуть неприятные последствия для организма. Соседние зубы начинают расшатываться, а функциональность всего ряда зубов утрачивается. Современные протезы из керамики широко используются, так как они соответствуют всем требованиям, обладают эстетичностью и прочностью.

Преимущества с точки зрения эстетики

Керамические протезы представляют собой идеальное решение для восстановления зубов с точки зрения внешнего вида. Они обладают особым свойством материала, благодаря которому выглядят так же, как естественные зубы. К тому же, в отличие от протезов с металлическим каркасом, керамические протезы не имеют проблемы просвечивания и темного оттенка, что делает их более натуральными и идентичными соседним зубам. Керамические протезы могут быть установлены как на передние, так и на жевательные зубы, и обеспечивают полное восстановление зубной структуры и прозрачность тканей. Они также позволяют регулировать цвет и придавать протезам нужный оттенок. Керамические протезы являются необходимыми в случае потери более 70% зубной ткани.

image

Плюсы использования материала

Свойства материала для керамических коронок:

  • Благодаря инертности керамики, коронки обладают биологической совместимостью, что позволяет быстро привыкнуть к протезам. Они не впитывают запахи и не пропускают бактерии, что предотвращает их проникновение в организм.
  • Керамические коронки гипоаллергенны и не выделяют посторонних веществ, что делает их безопасными для организма. Они также мало влияют на состояние десен, редко вызывая воспаление.
  • Хотя прочность керамических коронок не сравнима с металлическими, они все же могут использоваться для жевательных зубов. Однако требуется более тщательный уход и внимательное отношение.
  • Материал позволяет создавать тонкие протезы, сохраняя их прочность и надежность. Это важно, так как меньшая обработка зуба при установке протеза уменьшает болевые ощущения и гарантирует долгий срок службы.
  • Использование специального цемента обеспечивает надежную фиксацию протеза на зубе, предотвращая проникновение бактерий и обеспечивая здоровье ротовой полости и долговечность конструкции.
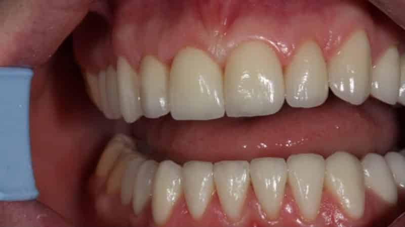
    Фотографии керамических коронок подтверждают, что они практически неотличимы от настоящих зубов.

Наиболее распространенные и современные виды аппаратов

Специалисты рекомендуют использовать прессованную керамику для создания коронок на зубах. Внешне они практически неотличимы от других типов коронок. Однако, врачи подчеркивают их высокую прочность. Кроме того, материал позволяет точно передать оттенки зубов. Это современный и передовой метод изготовления протезов, который обеспечивает долговечность и привлекательный внешний вид.

Керамические коронки на основе оксида циркония часто неправильно относят к безметалловым протезам. Однако, оксид циркония является разновидностью металла. Они отличаются от других коронок только тем, что лучше передают оттенки зубов, благодаря своему белому цвету. Однако, они не могут воссоздать естественную прозрачность и выбор оттенков ограничен. В то же время, они конкурируют с керамическими коронками по прочности. Поэтому, для жевательных зубов рекомендуется использовать такие коронки, а для фронтальных и передних зубов лучше выбрать керамические протезы.

image

Для каких зубов подходят больше такие протезы

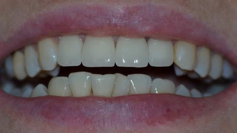
Многие специалисты ранее утверждали, что керамические коронки подходят только для передних зубов, но отзывы пациентов свидетельствуют о том, что такие протезы универсальны. В настоящее время используется прессованный материал, который позволяет устанавливать конструкции как на передние, так и на жевательные зубы. Эти коронки достаточно прочные и надежные, даже без использования металла, и могут быть установлены не только в области улыбки.

Фотографии керамических коронок на передние зубы до и после ясно демонстрируют, что эти протезы превосходят другие конструкции в плане эстетики и воссоздания естественного вида улыбки. Стоимость керамических коронок на передние зубы может варьироваться в разных клиниках, но следует признать, что это дорогое решение. В столице некоторые клиники могут взимать до 50 000 рублей за одну коронку, однако можно найти и более доступные медицинские учреждения, где цена на протез составляет всего 25 000 рублей.

Срок службы

Керамические коронки на зубы обычно получают положительные отзывы, за исключением случаев, связанных с неправильным уходом и небрежным отношением к протезам. Важно отметить, что у любой конструкции есть ограниченный срок службы, который не зависит только от прочности материала, а также от разрушения фиксирующего вещества, что может привести к расшатыванию и попаданию бактерий под коронку.

Керамические коронки обычно имеют положительные отзывы. Однако, если речь идет о металлокерамических конструкциях, их срок службы обычно составляет 5-7 лет. После этого цемент начинает размываться, коронка становится шаткой и может вызывать травмы десен. Керамические протезы, с другой стороны, могут быть заменены примерно через 10 лет благодаря использованию современных адгезивных материалов, которые обеспечивают более прочную фиксацию.

Современные материалы и прессованная керамика позволяют устанавливать керамические коронки даже на жевательные зубы, что раньше считалось недопустимым. В случае возникновения сколов, что может произойти у любого пациента, включая тех, кто использует металлокерамические протезы, их легко можно восстановить. Отсутствие каркаса делает любые повреждения незаметными, а значительные сколы могут быть заполированы.

image

Как подобрать аппарат

При выборе конкретного протеза необходимо проконсультироваться с лечащим врачом, который обладает знаниями о клинической картине, показаниях, симптомах и потребностях пациента. Важно также учесть мнение самого пациента. Врач должен объяснить процесс установки протеза и дать представление о его стоимости.

Один из важных фактов для многих пациентов заключается в том, что для установки керамических протезов не требуется значительное обтачивание зубов. Кроме того, чаще всего нет необходимости удалять пульпу, что означает, что зубы остаются живыми. Однако изготовление керамических коронок занимает достаточно длительное время, поэтому пациентам устанавливают временные пластмассовые протезы.

Керамические коронки являются идеальным вариантом для имплантации передних зубов, так как они выглядят гораздо более привлекательно по сравнению с металлическими конструкциями. Керамика является оптимальным материалом для имитации передних зубов. Однако выбор другого материала может быть оправдан только ограниченными финансовыми возможностями. В таком случае можно обратиться к пластмассовым протезам, которые стоят дешевле, но также выглядят достаточно эстетично.

Окончательное решение о выборе протеза остается за пациентом, но он должен формировать свое мнение на основе актуальной информации, предоставляемой специалистом. Консультация является обязательной, особенно учитывая значительные затраты на протезирование. Врач может рекомендовать конкретную клинику, однако настаивать на своем выборе не является профессиональным подходом. Пациент вправе остановить свой выбор на клинике с более доступными ценами.

image

https://www.youtube.com/watch?v=d1UrhxjX26U»><p

Ссылка на основную публикацию
Похожие публикации