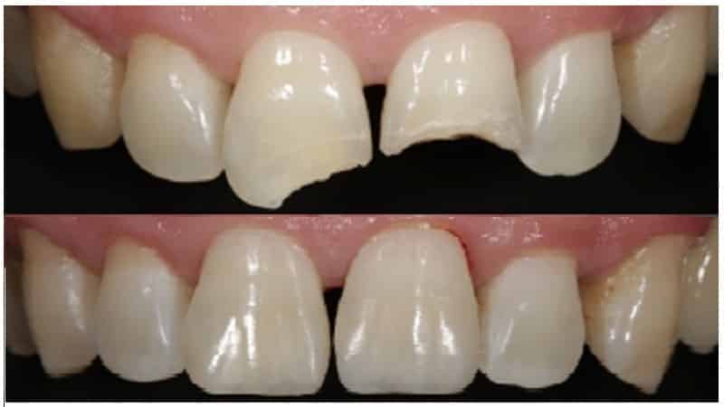
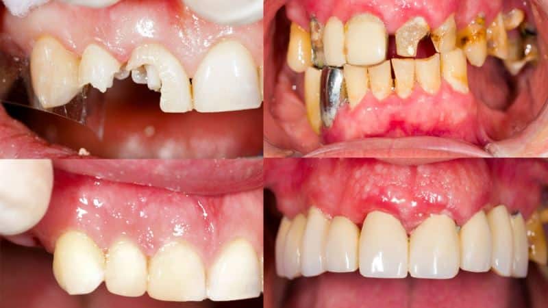
Многие взрослые пациенты сталкиваются с проблемой повреждения коронки зуба из-за различных факторов. Травма при занятиях спортом, естественный износ, употребление твердой пищи, кариес или остеомиелит, ушибы и другие причины могут привести к обломкам зуба, в результате чего можно спасти только часть коронки или корень. Один из эффективных способов решения этой проблемы — наращивание зубов (см. фото до и после ниже). В данной статье мы рассмотрим преимущества и недостатки этой методики, а также особенности каждого вида наращивания.
Сущность процедуры
Ранее, любые повреждения зубов, такие как сколы, травмы, глубокий кариес или износ, требовали радикальных методов решения проблемы. Например, грубая пломба на ползуба, ампутация оставшейся части зуба или установка дорогостоящих и несовершенных протезов. К счастью, с появлением художественной реставрации, появились способы сохранить естественный зуб.
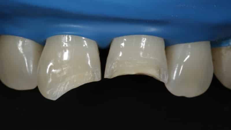
Пример скола переднего зуба.
С помощью специальных композитных материалов врач может восстановить зуб.
Современные компьютерные технологии позволяют создать точную копию естественного зуба, включая его форму, цвет, текстуру и даже наклон поврежденной части.
Реставрация зубов имеет следующие цели:
- Исправление врожденных патологий и дефектов зубного ряда.
- Устранение последствий травмы, ушиба, удара, падения, скола или возрастного износа коронки зуба.
- Восстановление зуба в его первоначальном состоянии, что является важным аспектом эстетической стоматологии.
Показания и противопоказания к наращиванию
Медицинские показания для наращивания переднего или другого зуба включают несколько ситуаций. Во-первых, это может быть необходимо для эстетических целей, особенно в профессиях, где внешний вид имеет значение. Во-вторых, наращивание может быть рекомендовано для исправления врожденных аномалий зубного ряда. Также, оно может быть необходимо для восстановления поврежденной коронки после кариозного поражения или остеомиелита. Другие показания включают значительные межзубные промежутки, пигментацию эмали, появление межзубных щелей или нарушение прикуса из-за повреждения зуба.
Однако, перед проведением процедуры наращивания зуба необходимо учитывать противопоказания. Во-первых, процедура не рекомендуется при обнаружении дефектов прикуса, которые могут привести к неравномерному распределению нагрузки на восстановленную коронку. Во-вторых, если зуб серьезно разрушен и осталась только часть корня, может потребоваться полная замена коронки, протезирование или имплантация. Также, противопоказания включают наличие серьезных заболеваний слизистой, десен или зубов, которые требуют предварительного лечения и санации. Наконец, пациенты, не уделяющие достаточного внимания гигиене рта, могут столкнуться с хроническими заболеваниями и рецидивами кариеса, остеомиелита и других болезней.
Восстановление фотополимером
Фотополимерные композиты позволяют проводить различные виды восстановления коронки, включая наращивание зуба на корень. Этот метод часто используется для устранения последствий кариеса, установки качественной пломбы и восстановления поврежденных моляров. Для начала, дентист проводит санацию ротовой полости и культи, на которую будет происходить наращивание. Затем культа подвергается обточке и шлифовке до достижения необходимой формы. Специалист формирует искусственную коронку из полимерного материала на специальном столе, после чего она надевается на культю и припаивается к зубу с помощью УФ лампы. После затвердевания материала, производится отшлифовка для удаления шероховатостей и неровностей, пока пациент не перестанет ощущать дискомфорт от нового зуба. Затем на зуб наносится специальный защитный состав, который помогает сохранить цвет композита на протяжении долгого времени. Этот метод реставрации зубов имеет ряд преимуществ, таких как доступная цена, широкое распространение и простота применения, а также хороший срок службы. Однако, в некоторых случаях пломба из фотополимера может быть бесполезной. Это может произойти при слабом зубном корне или его инфицировании, наличии воспалительных процессов, подвижности зубов на 4 стадии или отсутствии двух или более соседних зубов. В таких случаях рекомендуется протезирование или имплантация.
Реставрация с применением виниров
Многие пациенты задаются вопросом о том, как происходит наращивание передних зубов с использованием виниров и вкладок. Внешний вид центральных резцов играет важную роль в эстетике улыбки, поэтому их восстановление должно быть максимально точным и без видимых следов реставрации.
Для этой цели стоматологи используют тонкие пластинки из фарфора, называемые винирами, которые накладываются на внешнюю поверхность резца и закрепляются специальным составом.
Виниры являются особенно эффективным методом для устранения минимальных трещин и сколов, природных пятен при флюорозе, пигментации, возрастных потемнений пломбы и эмали, а также сточенных или стертых краев и рельефных недостатков. Они полностью скрывают эти недостатки и выглядят естественно, а срок их службы составляет от 5 до 10 лет.
Керамические виниры также обладают устойчивостью к пищевым красителям и природным пигментам, таким как никотин, кофеин, свекла, вино и другие.
Однако, у этого метода есть свои недостатки:
- Цена – даже один винир может быть достаточно дорогим.
- Перед установкой фарфоровой накладки природный зуб должен быть сильно обточен, что затрагивает даже здоровые ткани.
- Улыбка с винирами может выглядеть слишком идеальной и белоснежной, что может привлекать внимание собеседника.
Однако, второй недостаток можно устранить, используя так называемые «люминиры». Этот современный вариант фарфоровых пластинок устанавливается без обточки зуба, остается прочным и долговечным, хотя и более дорогим.
Восстановление зуба на штифте
Метод наращивания зуба на штифт напоминает имплантацию и используется, когда коронка полностью разрушена, но корень остается здоровым. Для этого дентист делает рентгенограмму и воссоздает вид и форму природного зуба с помощью компьютерных программ. Затем в корневой канал устанавливают штифт из металла, стекла или углеводорода, а вокруг него размещается композитный материал, воссоздающий вид и форму коронки. Этот метод позволяет сохранить здоровый корень, который вместе с штифтом обеспечивает надежную опору для искусственного материала. Срок службы наращенной конструкции составляет более 10 лет. Метод также позволяет наращивать только основу коронки, укреплять депульпированный зуб и реставрировать некоторые части моляра. Кроме того, этот метод может быть использован для наращивания передних зубов. Однако следует учитывать возможную аллергию на материал, используемый при изготовлении штифта, а также сложность метода, требующую высокой квалификации врача и финансовых затрат пациента.
Плюсы и минусы реставрации
Метод реставрации зубов предлагает ряд преимуществ по сравнению с более радикальными методами, такими как имплантация и протезирование. Во-первых, этот метод безопасен и может быть использован даже в детской стоматологии, где дети часто подвергаются травмам и повреждениям зубов. Иногда требуется сохранить молочные зубы, так как появление постоянных зубов может затянуться. Во-вторых, реставрация позволяет восстановить природный здоровый зуб даже при наличии небольших повреждений или корней. Искусственный материал, используемый при реставрации, полностью имитирует костную ткань и соответствует ей по прочности, оттенку и текстуре. Кроме того, реставрация зубов более доступна по стоимости и занимает меньше времени, чем имплантация или протезирование. Восстановление улыбки с помощью реставрации может быть выполнено за один сеанс, в то время как другие методы могут занимать месяцы. Однако у реставрации есть и недостатки, такие как наличие противопоказаний, ограниченный срок службы материала и необходимость соблюдения особого режима. В целом, реставрация зубов имеет свои плюсы и минусы, и ее успешность зависит от бережного отношения к зубам и своевременного лечения заболеваний.






