Виниры на зубы: фото до и после установки

В стоматологии широко используются виниры для восстановления поврежденных зубов. Их длительность ношения зависит от материала, из которого они изготовлены. Виниры представляют собой пластинки, которые могут быть композитными, фарфоровыми или использоваться для замещения поврежденных поверхностей. Они также могут использоваться в качестве защитного барьера от соприкосновения с мундштуком при игре на трубе.

Разновидности виниров

Виниры — это разновидность стоматологических изделий, которые используются для улучшения внешнего вида зубов. Для того чтобы понять, как они выглядят, необходимо ознакомиться с их классификацией. Существуют три основных типа виниров, которые отличаются материалом, используемым при их изготовлении.

Первый тип — керамические виниры, которые имеют толщину от 0,3 до 0,5 мм. Они считаются надежными благодаря своей прочности. Керамические виниры изготавливаются в лаборатории с использованием диоксида циркония и медицинского фарфора. Они полностью соответствуют оттенку естественных зубов и сохраняют свою цветовую гамму на протяжении длительного времени.

Второй тип — композитные пластинки. Они уступают винирам из более современных и долговечных материалов. Композитные пластинки быстро устанавливаются, но не всегда обладают высокой эстетичностью и быстро изнашиваются.

Третий тип — фарфоровые люминиры, толщина которых составляет не менее 0,2 мм. Они пришли из Калифорнии и не требуют предварительного обтачивания зубов. Фарфоровые люминиры быстро устанавливаются и обладают долгим сроком службы.

Виниры представляют собой отличный способ улучшить внешний вид зубов и достичь желаемого эстетического эффекта.

Методики изготовления виниров

Виниры на зубы — это стоматологические конструкции, которые помогают решить проблемы с внешним видом зубов и восстановить красоту улыбки. Их изготавливают несколькими способами, включая нанесение керамических порошков, прессование или фрезерование пластин из блоков. Для создания винира из блока диоксида циркония сначала подготавливают зуб и делают слепок, затем модель винира создается на компьютере и фрезеруется. Винир фиксируется на зубе с помощью цементного состава. Важно понимать, что виниры — это микропротезы, которые уже давно используются в стоматологии. Они могут быть изготовлены непосредственно в стоматологическом кресле или по слепку зуба, предварительно обточенного стоматологом.

Мотивация установки

Вопрос о том, что представляют собой виниры для зубов, часто возникает в ситуациях, когда требуется провести мягкую реставрацию поврежденных зубных поверхностей, чтобы вернуть им прежнюю красоту. Существует множество причин, по которым может возникнуть необходимость в такой процедуре:

  • Эрозия эмали;
  • Заметная неприятная желтизна на передних зубах;
  • Дефекты с серьезным повреждением зубных тканей;
  • Оттенение после удаления пульпы;
  • Значительные промежутки между зубами;
  • Неправильная форма зубов;
  • Сколы;
  • Пятна от флюороза;
  • Слишком близко расположенные резцы;
  • Неудачные реставрационные процедуры;
  • Неправильное положение зуба;
  • Наличие других пломб разного цвета.

Виниры могут быть использованы для восстановления одного зуба, но результат будет более впечатляющим, если пластина будет накладываться на несколько соседних поверхностей. Все больше людей обращаются к этой методике с целью достижения «голливудской улыбки».

Противопоказания

Перед установкой виниров необходимо учитывать, что реставрация зубов с помощью микропротезов имеет свои противопоказания, о которых вам обязательно расскажет опытный стоматолог:

  • неправильный прикус;
  • разрушение эмали с внутренней стороны;
  • склонность к стиранию зубов;
  • значительное отсутствие жевательных зубов (более шести);
  • непроизвольный скрежет зубами;
  • занятия, которые могут привести к травмам челюсти, например, бокс;
  • привычки, которые негативно влияют на эмаль, такие как открывание бутылок зубами, грызение семечек, раскусывание орехов, кусание ногтей;
  • наличие большой пломбы.
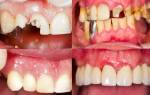
    Потенциальные покупатели, которые мечтают о идеальной улыбке, непременно заинтересуются преимуществами и недостатками виниров, чтобы оценить возможные риски.

image
image
image

Достоинства

Методика, которая обеспечивает идеальную ровность зубов, имеет множество преимуществ. Она отличается быстрым процессом изготовления, долговечностью керамики, прекрасной внешней эстетикой и близостью к естественным оттенкам зубной эмали. В результате получаются установленные виниры на зубы.

image

Недостатки

Перед принятием решения о посещении стоматолога, рекомендуется тщательно изучить виниры и оценить их преимущества и недостатки. Помимо очевидных преимуществ, внимание должно быть обращено на некоторые недостатки:

  • ограниченная прочность композитных материалов;
  • невозможность полного скрытия значительных дефектов;
  • высокая стоимость керамических пластин;
  • необходимость обтачивания эмали при каждой последующей фиксации конструкций.

Процесс установки

Алгоритм работы с керамическими винирами включает несколько шагов.

  1. Сначала выбирается оттенок винира.
  2. Затем, в зависимости от состояния зуба, производится подготовка его поверхности перед установкой винира.
  3. С помощью специальной пластичной массы делается слепок, который отправляется в лабораторию.
  4. На подготовленные зубы временно устанавливается пластмассовая накладка.
  5. Мастера создают гипсовую модель на основе слепка, которая служит прототипом для изготовления самой винированной пластины.

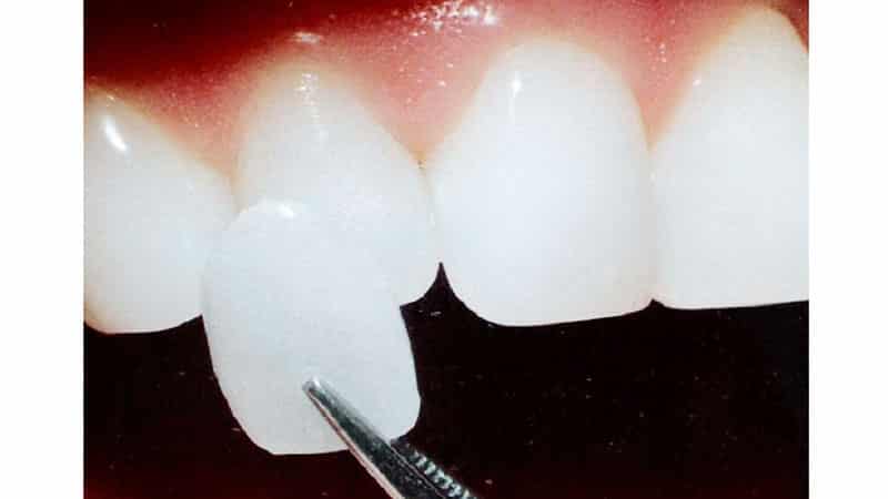
На фотографиях до и после реставрации зубов можно увидеть процесс установки виниров. В стоматологической клинике они крепятся специальным клеем, а затем проверяется прикус и удаляются излишки клея.

Более мягкий метод без обтачивания зубов представлен инновационными зубными конструкциями — люминирами. Они выглядят как тонкие лепестки, которые легко прикрепляются на поверхность зуба с помощью стоматологического клея. Фотографии позволяют рассмотреть процесс установки виниров в деталях.

Стандартизированные люминиры выбираются из готовых наборов в соответствии с определенными параметрами. Индивидуальные пластины изготавливаются специально для каждого пациента в лаборатории.

Восстановительный период

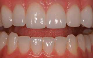
Виниры могут значительно улучшить внешность и сделать человека моложе. Фото до и после помогают оценить эффект от процедуры. Чтобы сохранить винир, важно следовать рекомендациям врача. Обычно пациентам назначается контрольный осмотр через полмесяца, чтобы оценить надежность винира и реакцию окружающих тканей и десны. Некоторые пациенты могут испытывать повышенную чувствительность к холодным и горячим напиткам. Если обнаруживаются признаки разрушения винира, может потребоваться защитная коронка.

Выбор варианта

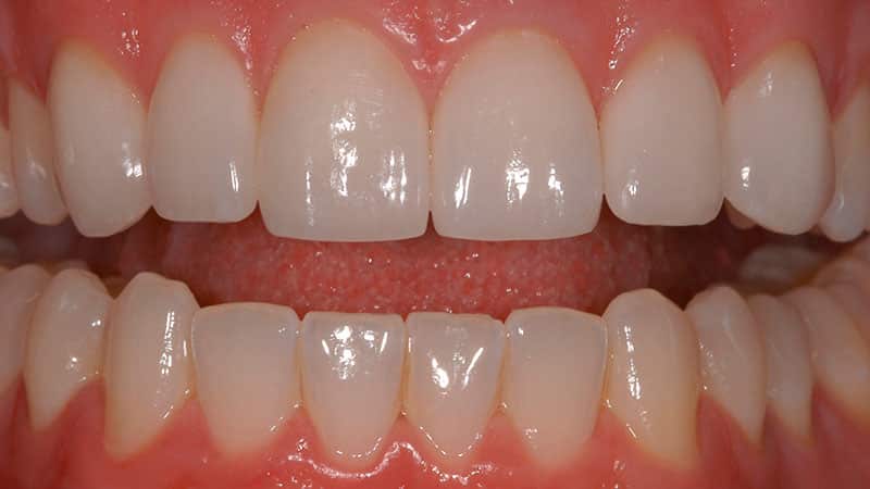
При выборе виниров следует учитывать несколько факторов. Керамические виниры имеют более длительный срок службы по сравнению с композитными конструкциями. Однако, композитные виниры стоят дешевле при установке. В то же время, учитывая необходимость их замены примерно через пять лет, экономия может быть сомнительной. Фотографии до и после демонстрируют, что керамические виниры сохраняют свою белизну, в то время как композитные материалы могут менять цвет. Однако, более современные виниры могут привести к большему стачиванию зубов. В конечном счете, решение о выборе виниров принимается совместно с врачом, который может дать исчерпывающую консультацию.

image

Ссылка на основную публикацию
Похожие публикации