Зубные коронки из оксида циркония

Коронки из оксида циркония стали одними из самых инновационных материалов, применяемых в современной стоматологии. Этот материал обладает полной совместимостью с костной структурой человека, не вызывает побочных реакций и аллергических реакций. Оксид циркония является безопасным для организма и представляет собой значительный прорыв в современной зубопротезной практике.

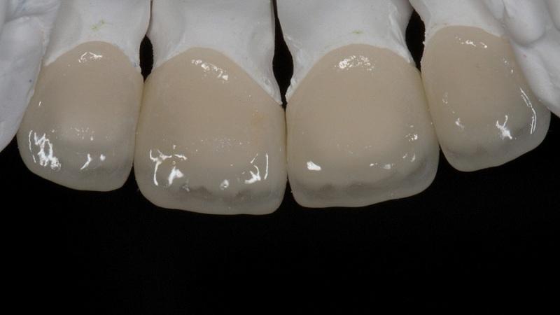
Что такое циркониевая коронка

Циркониевый оксид — это сложное неорганическое соединение, которое обычно принимает форму кристаллов. Этот материал давно пользуется популярностью среди ювелиров, которые используют его для создания искусственных алмазов. Сегодня циркониевые коронки являются самым безопасным и удобным методом протезирования зубов, вытеснившие традиционные аналоги. Недавно эту роль выполняли металлокерамические коронки, которые, несмотря на некоторые недостатки, широко применялись для восстановления зубов. Однако использование различных металлов и сплавов драгоценных металлов вызывало аллергические реакции и не обеспечивало безопасность. Керамика, которая до недавнего времени была популярна, имела привлекательный внешний вид, но была хрупкой и имела много противопоказаний. Ученые нашли идеальное решение — циркониевые коронки, которые могут использоваться даже на пациентах с повышенной иммунологической чувствительностью. Этот материал называют «белым золотом» из-за его прочности и надежности, которые сравнимы с драгоценным металлом. Циркониевый диоксид обладает высокой прочностью и износостойкостью. Он также обладает эстетическими свойствами, придающими обладателю красивую улыбку с жемчужными зубами. Благодаря современным технологиям, теперь можно решить такие проблемы, как отсутствие зубов и некрасивый природный цвет, и не стесняться своей улыбки.

image

Преимущества циркониевых коронок

Циркониевые коронки — элитный материал для протезирования, который стал новинкой в практике стоматологов. Они обладают рядом преимуществ:

  • Сохраняют естественный оттенок десны, не имея синюшного ободка, характерного для металлокерамики.
  • Выглядят эстетично и натурально при любом освещении, сохраняя прозрачность и тона.
  • Гипоаллергенны и могут применяться даже у аллергиков.
  • Обладают низкой теплопроводностью, что делает их менее чувствительными к холодным и горячим напиткам.
  • Легко поддаются реставрации благодаря отсутствию металлических соединений и способности на молекулярном уровне восстанавливать структуру без микротрещин.
  • Имеют минимальную толщину коронки, что позволяет снизить объем обтачивания родных зубов.
  • При соблюдении регулярной гигиены рта и профилактических осмотров у стоматолога могут прослужить более 20 лет.
  • Создают минимальную нагрузку на десны и остальные зубы благодаря легкому материалу.
  • Использование циркониевых коронок исключает появление металлического привкуса, жжения, покалывания и дискомфорта.
  • Легко поддаются шлифовке для восстановления блеска.
  • Антибактериальные свойства материала предотвращают размножение болезнетворных микробов, а природный оттенок зубной эмали делает коронки неразличимыми от натуральных, красивых и ухоженных зубов.

image

Перечень показаний

Циркониевые коронки могут быть установлены практически всем, кто имеет проблемы с зубами, и практически не имеют противопоказаний. Они могут быть полезны в следующих случаях:

  • Если у пациента есть сколы и трещины на зубах, вызванные травмами или механическими повреждениями.
  • Если у пациента было неудачное протезирование в прошлом, и мосты требуют реставрации из-за износа и стирания.
  • Если пациент хочет изменить оттенок зубов или скорректировать их форму.
  • Если пациент имеет аллергию на металлические компоненты.
  • Если необходимо установить большой мост без опоры.
    Однако, есть несколько случаев, когда коронки из диоксида циркония не могут быть установлены:
  • Если пациент страдает бруксизмом (скрежет зубами и непроизвольное сжатие), особенно во время сна. В таком случае, необходимо сначала избавиться от этой проблемы, обратившись к специалисту.
  • Если зубной ряд имеет низкую клиническую высоту.
  • Если пациент имеет глубокий прикус, который требует длительного ношения брекетов для исправления.
  • Если пациент беременен, протезирование запрещено в этот период.
  • Если у пациента есть воспалительные процессы в полости рта, которые требуют лечения.
    Если нет никаких противопоказаний, каждый может стать обладателем безупречной улыбки.

Метод изготовления и установка

Коронки из оксида циркония изготавливаются с использованием компьютерных программ, которые обеспечивают точные размеры, форму и оттенок. После оттиска проводится лазерное сканирование и фрезеровка модели. Цифровые технологии исключают неточности и обеспечивают плотное прилегание к родным зубам. Слепок обжигается в печи, наносится базовая керамическая масса и окрашивается в нужный оттенок. Затем проводится обжиг для закрепления материалов. Весь процесс изготовления коронок полностью автоматизирован, что исключает ошибки и погрешности. Сроки протезирования составляют около двух недель. Перед установкой коронок необходимо провести лечение зубов, удаление и обтачивание. После готовности коронок мастер проводит установку, снимает слепок с челюстей, примеряет протез и проверяет прилегание. Процесс установки может занять от 30 минут до 2 часов.

image

Как ухаживать за коронками

Уход за коронкой из оксида циркония играет важную роль в ее долговечности. Простые гигиенические процедуры помогут сохранить эстетический вид и продлить срок службы коронки. Вот несколько правил, которые следует помнить:

  • Проводите чистку зубов дважды в день с использованием мягкой зубной щетки и специальной пасты без абразивных частиц.
  • После приема пищи рекомендуется использовать ополаскиватели, зубную нить или межзубные щетки для тщательной очистки межзубных промежутков.
  • Избегайте проверки прочности коронки путем разгрызания твердых предметов, таких как орехи, лед и карамель. Это может повредить как искусственные, так и естественные зубы.
  • Регулярно посещайте стоматолога два раза в год для оценки состояния зубов, лечения естественных зубов и получения практических советов.
  • В первые дни после установки коронки может возникнуть некоторый дискомфорт, который обычно исчезает со временем, поскольку челюсти приспосабливаются к новой нагрузке.
  • Если дискомфорт не уменьшается в течение месяца и появляется чувствительность зубов, рекомендуется обратиться к стоматологу для консультации.

image

Цирконий или металлокерамика – что лучше

Перед теми, кто планирует установить новые коронки, всегда возникает вопрос: есть ли более доступные альтернативы и стоит ли тратиться на новые технологии, которые только появились на рынке стоматологических услуг?

Ответ на этот вопрос можно найти, рассмотрев особенности циркониевых коронок, которые являются более привлекательными по сравнению с металлокерамикой:

  • Цирконий не вредит организму и не вызывает побочных эффектов, в отличие от металлокерамики, содержащей сплавы металлов.
  • Металлокерамические коронки не пропускают свет и не имеют естественной схожести с настоящими зубами. Они сразу бросаются в глаза и выглядят неестественно.
  • Керамические коронки очень плотные, поэтому для их установки стоматологу приходится значительно стачивать зубы, в то время как толщина циркониевых коронок составляет всего 0,4 мм.
  • Средняя срок службы металлокерамики составляет 10 лет, в то время как коронки из оксида циркония могут прослужить более 20 лет.
  • Цирконий не подвержен окислению и не вызывает окрашивания десны в синий оттенок, что часто наблюдается после установки металлокерамики.
  • Коронки из циркония изготавливаются с использованием современных технологий, что исключает возможность ошибок. В то время как металлокерамика требует ручной работы, что часто приводит к необходимости коррекции и дополнительных посещений стоматолога.

Таким образом, можно сделать вывод, что несмотря на более высокую стоимость, коронки из циркония полностью оправдывают себя и обеспечивают более долговременное решение стоматологических проблем по сравнению с более дешевыми аналогами.

При выборе стоматологической клиники для протезирования зубов следует подойти максимально ответственно, учитывая, что сама процедура требует времени, усилий и финансовых затрат. Рекомендуется выбирать зуботехнические лаборатории, которые зарекомендовали себя как профессионалы и имеют положительные отзывы от пациентов.

image

Ссылка на основную публикацию
Похожие публикации