Зубы до и после брекетов: фото результата

Дефекты прикуса могут не только испортить внешний вид улыбки, но и вызвать различные проблемы со здоровьем, включая головные боли. Брекеты предназначены для решения этих проблем. В настоящее время они принимаются вполне нормально, но некоторые люди все еще насмехаются над теми, кто носит эти стоматологические аппараты. Однако их необходимо носить длительное время, как минимум год, но результаты видны, поэтому нет необходимости стесняться — гораздо хуже будет чувствовать себя неудобно из-за некрасивой улыбки и испытывать другие неприятные ощущения на протяжении всей жизни.

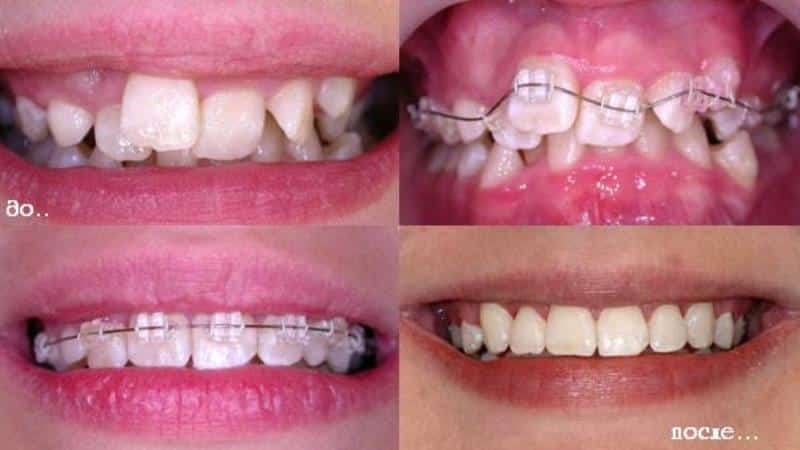
Как преображаются зубы

Фотографии до и после установки брекетов являются наилучшим способом увидеть, насколько эффективно они исправляют неправильный прикус. В прошлом брекеты были редкостью, и над их обладателями часто шутили, но сейчас они стали популярными и доступными. Современная стоматология достигла высокого уровня развития, и фотографии до и после установки брекетов показывают, что они практически всегда полностью исправляют неправильный прикус. Существуют различные типы брекет-систем, включая керамические, которые можно сделать невидимыми, и лингвальные, которые устанавливаются на внутреннюю поверхность зубов и не заметны для окружающих. Хотя ношение брекетов требует времени, результаты оправдывают затраты.

image

Какие они бывают и как их правильно ставить

Системы брекетов классифицируются в зависимости от используемого материала. Варианты включают сапфировые (не связанные с драгоценным камнем, а с особым обработанным керамическим материалом, который обладает прозрачностью), обычные керамические, металлические (которые ранее считались классическими) и пластмассовые брекеты. Каждый из этих видов имеет свои преимущества и недостатки.

Также существуют лингвальные конструкции, которые крепятся на внутренней стороне зубов и поэтому невидимы для окружающих.

В настоящее время металлические брекеты считаются не очень удобными, но они являются наиболее доступным вариантом. Пластмассовые брекеты могут быть недолговечными, но легко ухаживать за ними. Большинство специалистов считают, что наилучшим выбором являются керамические брекеты. Они гипоаллергенны, легко ухаживать за ними, прочны и надежны. Кроме того, их стоимость более доступна, чем у сапфировых брекетов, и они являются универсальным вариантом, в отличие от лингвальных.

image

Хотя такие стоматологические конструкции чаще всего устанавливаются в подростковом возрасте, они также могут быть применены и в зрелом возрасте. Раньше считалось, что исправить прикус в зрелом возрасте невозможно, но сейчас доказано, что это возможно, при условии правильного выбора типа конструкции. Существуют съемные и несъемные аппараты.

image

Для взрослых подходят только несъемные аппараты, в то время как для детей можно использовать съемные аппараты, также известные как пластиночные. У детей зубо-челюстная система более податлива.

image

Также важно учитывать время ношения брекетов. Процесс исправления прикуса является длительным, и конкретный срок может быть определен только врачом. Взрослым может потребоваться до двух лет, в то время как у детей срок ношения может быть ограничен годом, если дефекты незначительные. После снятия брекетов начинается период восстановления, в течение которого устанавливаются ретейнеры, чтобы закрепить достигнутый результат, так как зубы могут изменять свое положение. Ретейнеры носятся примерно год, половину срока ношения брекетов. Некоторым взрослым рекомендуется носить ретейнеры постоянно.

В чем особенность установки

Брекет-система устанавливается только на здоровые зубы. Перед установкой необходимо провести процедуру санации, чтобы исключить воспалительные очаги в ротовой полости. Санация включает лечение кариозных повреждений и другие необходимые процедуры. Постоянные посещения специалиста являются обязательными, чтобы корректировать конструкцию и обеспечить правильное воздействие на зубной ряд. Если возникает острая необходимость, посещение также требуется. Ортодонт, специалист по исправлению зубного ряда, проводит установку брекет-системы. Процедура установки сама по себе не вызывает неприятных ощущений, но может занять не менее двух часов. В первое время после установки могут возникнуть неприятные ощущения, связанные с привыканием к конструкции и ощущением сжатия от дуги. Родителям стоит объяснить детям, что использование брекет-системы — это нечто обычное, и в детском возрасте коррекция проще, а результаты впечатляющие. Важно следовать указаниям лечащего врача и не отказываться от применения системы, даже если зубы уже выровнялись.

Приклеивание брекетовПриклеивание брекетов
Ссылка на основную публикацию
Похожие публикации