Пластмассовые коронки на зубы

Восстановление зубов является популярной и необходимой услугой для всех слоев населения, независимо от их финансового положения. Однако не многие могут позволить себе дорогостоящие идеальные керамические коронки. В то же время, никто не хочет ходить с беззубой улыбкой. Ортопеды разработали пластмассовые коронки на передние и жевательные зубы, которые являются комфортными, эстетичными и доступными. Отзывы о них в основном положительные. В этой статье мы рассмотрим преимущества и недостатки таких коронок, а также особенности их изготовления и ухода.

Сущность пластмассовых протезов

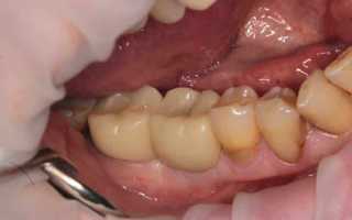
Пластмассовые коронки были разработаны как временное решение перед установкой постоянных керамических протезов. Ответ на вопрос о том, какие зубы лучше — пластмассовые или керамические, однозначно — керамические. Пластик значительно уступает керамике по прочности, надежности и крепости. Конструкция пластмассовых коронок изнашивается за несколько лет, может разрушаться и изменять свою форму, а также впитывать пигменты. Однако временные пластмассовые коронки используются в определенных случаях. Они устанавливаются на обточенные зубы, чтобы предотвратить их разрушение до установки постоянных протезов. Также они могут быть установлены после имплантации, пока производится выбор и изготовление постоянных коронок. Это позволяет пациенту сохранять функциональность зубного ряда и эстетическую улыбку в течение ортопедического лечения, которое может занимать до полугода. Временные пластмассовые коронки имеют следующие преимущества:

  • восстанавливают функцию важных зубов;
  • возвращают эстетичность ротовой полости;
  • защищают обточенные зубы от патогенной микрофлоры, травм и жевательной нагрузки;
  • предотвращают зарастание десневой лунки под имплант;
  • предотвращают изменение положения опорных зубов;
  • сохраняют внятную речь и привычную дикцию. Обычно пластиковые коронки носятся от 2 недель до 2-3 месяцев, но некоторые пациенты продолжают использовать их до 5 лет из-за отсутствия средств на более дорогостоящие модели.

image

Виды пластмассовых конструкций

Изделия из данного материала имеют различные характеристики:

  • способ изготовления (прессованные или литьевые);
  • вид крепления (съемные или несъемные);
  • период использования (временные или постоянные).

Литьевые модели требуют высокотехнологичного подхода и плотно прилегают к челюсти, точно воспроизводя индивидуальную структуру ротовой полости, мягких тканей и слизистой. Такие протезы максимально имитируют настоящие зубы.

Прессованные изделия производятся быстрее и проще, но их качество страдает. Они рекомендуются для временного восстановления перед установкой постоянных коронок.

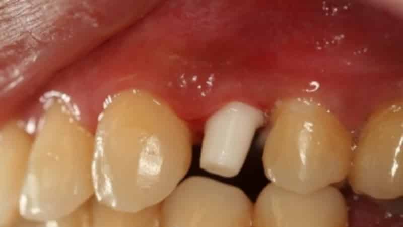
Съемные изделия являются наиболее распространенными. Если отсутствуют все зубы, протез опирается на десну и крепится с помощью вакуумной основы. Если же есть опорные зубы с обеих сторон, протез крепится с помощью металлических крючков, замочков или кламмеров, которые находятся в базисе. Эти элементы фиксируются на соседние зубы и становятся почти невидимыми для собеседника. Также протезы могут быть закреплены с помощью невидимых аттачментов. В случае отсутствия 1-2 зубов часто используется протез «бабочка».

image

Положительные и негативные свойства пластика

Пластмассовые коронки на передние и другие зубы (фото ниже) имеют ряд преимуществ, за которые они стали популярными.

  1. Существует несколько простых методов изготовления моделей, которые позволяют оперативно восстановить эстетику ротовой полости.
  2. Пластмассовые коронки имеют приятную цену, которая является наименьшей на рынке протезирования.
  3. Временная коронка из пластика по доступной цене позволяет пациенту привыкнуть к конструкции и самому протезу, а при необходимости легко заменить ее на импланты без больших затрат времени и денег.
  4. Пластмасса является биологически и экологически безопасным материалом, редко вызывающим отторжение организма и аллергические реакции.
  5. Пластмассовые коронки обладают достаточной надежностью, крепостью и функциональностью на протяжении заявленного производителем срока службы.
  6. Они выполняют эстетические пожелания, так как практически незаметны для собеседника благодаря искусственной эмали, полностью имитирующей природную.
  7. Нагрузка во время кусания и жевания равномерно распределяется.
  8. Уход за пластмассовым протезом не требует больших затрат времени и денег.
  9. Коронки из пластика защищают обточенные опорные зубы перед постоянным протезированием.

Однако, если рассматривать, какие коронки лучше — из керамики или пластмассы, то первые явно выигрывают, так как они лишены недостатков пластика, которых немало.

  1. Пластмассовые коронки имеют ограниченный срок службы, обещаемый производителями до 1 года, но часто устанавливаются на меньший срок. Единицы из них могут прослужить до 5 лет.
  2. Пластик быстро разрушается, скалывается и стирается за указанный период. Он не выдерживает серьезных нагрузок, травм, повреждений и ударов, а также повышенной жевательной нагрузки.
  3. Модели из пластика не подходят для протезирования у профессиональных спортсменов и людей, работающих в экстремальных условиях.
  4. Пластмасса является более токсичным и аллергенным материалом по сравнению с керамикой.
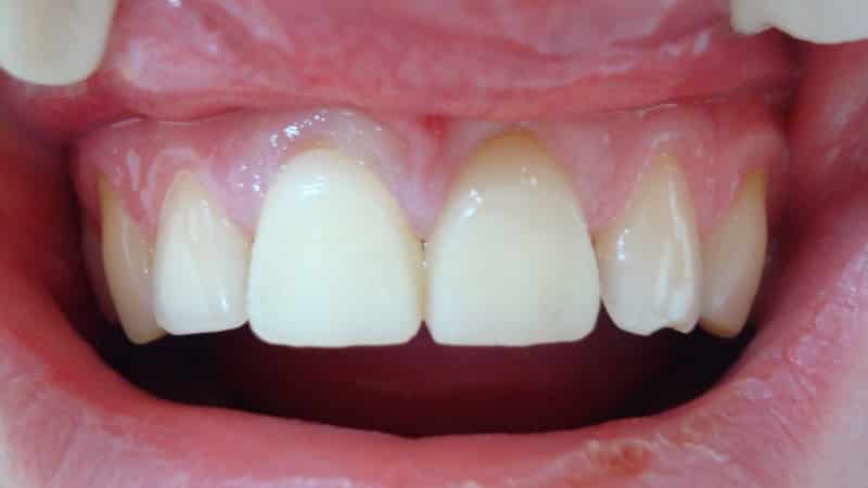
  5. Пористая поверхность пластика вбирает пищевые пигменты и красители, что приводит к потускнению и желтизне белой эмали на коронках, появлению пятен, бактериального налета и темного камня. Чистка модели возможна только в стоматологической клинике с использованием специальной аппаратуры и средств, что требует дополнительных усилий и затрат.
  6. Шершавая поверхность пластика задерживает пищевые остатки и ароматы, создавая благоприятную среду для развития патогенной микрофлоры. Это может привести к воспалению, заболеваниям, кариесу, появлению темного налета и неприятного запаха изо рта.
  7. Пластмассовые зубные коронки не являются гибкими и эластичными, поэтому конструкция может натирать и даже травмировать нежную слизистую ротовой полости, что снижает комфорт при ношении протезов.

image
image

Показания и противопоказания

Пластиковые коронки обычно используются временно в следующих ситуациях:

  • При лечении пародонтоза и пародонтита.
  • При несоответствии размеров, формы, текстуры и оттенка естественных зубов.
  • При дефектах и патологиях передних зубов.
  • Для защиты обработанных опорных зубов перед установкой постоянного протеза или имплантации.
  • Для установки конструкций для социально незащищенных слоев населения и среднего класса с ограниченными финансовыми возможностями.
  • В случае травм, повреждений и разрушения зуба для быстрого восстановления функциональности полости рта.
  • При аномальном расположении зубов.
  • В случае удаления пульпы опорных зубов.
  • Для восстановления одного, нескольких или всех зубов.
    Пластмассовые коронки используются для восстановления одного, нескольких или всех зубов.
    Несмотря на множество показаний для процедуры, есть и противопоказания к использованию пластиковых коронок на жевательные и другие зубы.
    Данные изделия не применяются в следующих случаях:
  • В детском возрасте.
  • При занятиях спортом и экстремальных видах работы.
  • При аллергии на акрил, пластик или пластмассу.
  • При наличии психических заболеваний и патологий.
  • При нарушениях прикуса.
  • При несоблюдении правил гигиены полости рта.
  • При воспалительных процессах, грибках, вирусах, инфекциях и других заболеваниях слизистой оболочки и зубов.
  • При предрасположенности к бруксизму.

image

Способы изготовления пластиковых коронок

Бюджетные пластмассовые изделия не требуют больших затрат на оборудование, технологии и материалы. Конструкцию обычно собирают прямо в кабинете дантиста или в зуботехнической лаборатории. Стоимость пластмассовой коронки на зуб будет зависеть от того, где она была собрана. Давайте рассмотрим, как производится протезирование зубов. Вначале врач выливает слепок зуба с помощью силиконового композита. Затем зуб, на который будет надеваться коронка, подготавливается путем обтачивания и шлифования. Далее в слепок заливается полимерная масса, которая затвердевает, после чего слепок удаляется. На получившейся форме остается пластмассовая коронка, которая шлифуется, стачивается и полируется до достижения естественной формы и текстуры, удобной для пациента. Затем протез фиксируется на зубе с помощью стоматологического цемента. В лаборатории зубной техник производит изделие по следующему принципу: снимает слепок зубов, производит гипсовые дубляжи обеих челюстей для сохранения правильного прикуса и точной подгонки конструкции, моделирует систему с помощью воска, а затем использует пластмассу для окончательного изготовления протеза. После изготовления протез шлифуется и полируется. Затем дантист примеряет конструкцию пациенту и, при необходимости, отправляет ее в лабораторию на доработку, а затем фиксирует с помощью доступных крепежных материалов. Срок службы всех пластиковых протезов составляет от 1 до 3 лет, при условии регулярного и тщательного ухода, соблюдения предписаний врача и плановых посещений стоматологии хотя бы раз в полгода.

https://www.youtube.com/watch?v=tXm91pHI9eY»><p

Ссылка на основную публикацию
Похожие публикации