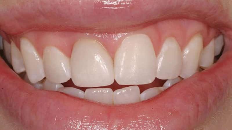
Временные пластмассовые коронки на передние зубы

Протезирование зубов — это процедура, которая используется, когда зуб имеет серьезные повреждения и не может быть восстановлен. Она выполняется с целью восстановления функциональности зубного ряда и улучшения эстетического вида, особенно в случаях, когда более 70% зуба разрушено. Существуют постоянные и временные коронки, которые используются в процессе протезирования. Эта процедура является сложной и требует времени, так как необходимо снять слепки, на основе которых изготавливаются постоянные протезы. Временные коронки устанавливаются, чтобы сохранить структуру зубного ряда и предотвратить его расшатывание и повреждение, пока постоянный протез не будет создан.

Конструктивные особенности и свойства материала

Пластмассовые коронки не достаточно прочные для использования в качестве постоянных протезов. Однако некоторые пациенты выбирают этот вариант из-за его экономичности. Временные пластмассовые коронки дешевы, поэтому они популярны среди пациентов с ограниченными финансовыми возможностями. Обычно они устанавливаются временно, пока не будут изготовлены более прочные протезы. Временные коронки имеют свои преимущества: они легко изготавливаются и устанавливаются, а также хорошо имитируют цвет зубной эмали.

Пластмасса используется для временных коронок из-за своих особенностей. Некоторые медики не исключают возможность ношения таких коронок постоянно. Этот вариант вполне приемлем для передних зубов.

Передние зубы не участвуют в жевательных движениях, но важно, чтобы они выглядели эстетично, так как они видны больше всего при улыбке и разговоре. Пластмасса прекрасно передает оттенки цвета, а прочность в данном случае не так важна. Именно на этом основывается вышеупомянутое мнение специалистов.

У пластмассовых конструкций есть и другие преимущества:

  • они доступны по цене даже для людей с низким достатком;
  • протезы изготавливаются быстро, не требуется много времени на каждую коронку;
  • недостаточная прочность не влияет на защитные функции, пластмасса хорошо справляется с этим;
  • такие протезы легко заменить на металлокерамические или керамические, если это необходимо.

Однако доктора также отмечают некоторые недостатки:

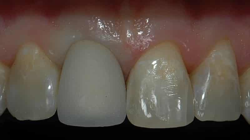
  • пластмасса со временем может изменять цвет под воздействием пищевых красителей, что может привести к появлению пятен;
  • при существенных нагрузках есть риск появления трещин;
  • у некоторых людей может возникнуть аллергическая реакция на пластмассу и ее соединения;
  • при недостаточном уходе за зубами пластмасса может накапливать бактерии из-за своей пористой структуры;
  • срок использования пластмассовых коронок меньше, чем у металлокерамических или керамических протезов;
  • коронка легко может быть повреждена при травмах или других сильных воздействиях, что может привести к травме щеки или десны.

image
image

Показания и противопоказания к использованию

Когда ношение коронки оправдано и рационально:

  • Если у зубов есть только незначительные дефекты, коронки используются для сохранения эстетического вида, исправления формы или оттенка.
  • Временные пластмассовые коронки на передние зубы используются для создания постоянных протезов.
  • Если пациент не определился с процедурами или откладывает лечение, коронка ставится для предотвращения роста десневого ложа и смещения зубного ряда.
  • Временная коронка на имплант ставится для его защиты от внешних воздействий до установки постоянного протеза.
  • Временные протезы используются для шинирования при пародонтозе и восстановления дикции.

Противопоказания ношения таких аппаратов на передних зубах:

  • Бруксизм (скрежет зубами).
  • Аллергические реакции на материал.
  • Деформированный прикус.
  • Диагностирование нервных расстройств и расстройств психики у пациента.
  • Детям не устанавливают такие протезы.

Процесс изготовления и установки

Вот перефразированный фрагмент статьи:

Коронки, которые создаются прямо в стоматологическом кабинете, предназначены для временного ношения, обычно не более месяца. Процесс изготовления включает создание слепка из пластмассы, заполнение его полимеризирующей субстанцией и надевание на зуб. После высыхания состава, массы удаляются, а коронка фиксируется с помощью специального материала, обычно цемента. При необходимости коронка может быть отшлифована и отполирована.

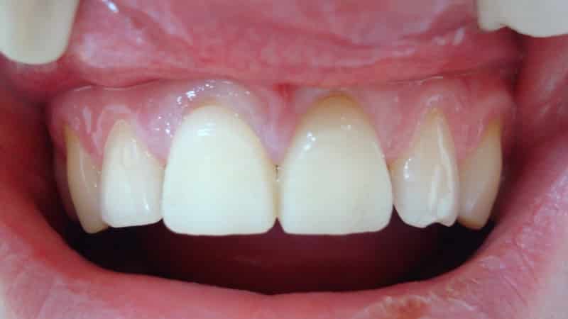
Временные коронки на передние зубы практически неотличимы от постоянных, особенно если они были установлены недавно. Для длительного ношения коронок требуется более сложный процесс создания, включающий подгонку размеров и формы под конфигурацию челюсти, чтобы они сохраняли свой вид на протяжении длительного времени.

Если пациент планирует носить коронку более месяца, процесс изготовления включает следующие этапы: создание слепка обоих челюстей с использованием силиконового состава, создание гипсовых моделей челюстей, изготовление конструкций в лаборатории, примерка и установка коронок с использованием цемента для фиксации.

Специалисты рекомендуют не использовать временные коронки из пластмассы более 3 лет, так как это может привести к проблемам, таким как трещины и т.д. Если в качестве основы используется металл, срок службы может быть продлен до 5 лет.

Перед протезированием проводится санация ротовой полости, включающая удаление налета и лечение кариеса. При необходимости заменяются старые пломбы. Протезы устанавливаются только при отсутствии серьезных проблем и заболеваний ротовой полости, чтобы срок службы коронок был максимальным.

В процессе установки коронок необходима обточка зубов для создания места для их установки. Врач решает, применять ли депульпацию в зависимости от мнения пациента. Жевательные зубы обычно не подвергаются депульпации, в то время как однокорневые зубы депульпируются обязательно, чтобы избежать повреждения зуба при процессе протезирования.

Депульпация является болезненной процедурой, при которой удаляется нерв при местной анестезии. Затем следует обтачка, процесс удаления ткани зуба, чтобы обеспечить правильную установку коронки. Если депульпация не проводилась, обтачка может быть очень болезненной, поэтому применяется местная анестезия.

image
image

Процесс снятия пластмассовых коронок

Временные коронки на зубы выглядят привлекательно на фото, но важно помнить, что их нужно менять после истечения срока службы. Если не заменить временные коронки, они могут потемнеть и появиться пятна. Металлокерамику можно распилить, но пластмасса не настолько прочна, поэтому этот процесс не требуется. Для удаления временных коронок стоматолог использует специальные аппараты, такие как аппарат Копа или бормашина, которые постепенно стягивают протез без болезненных ощущений. Зуб также очищается от остатков фиксирующих материалов. Временные коронки можно использовать дальше или заменить на постоянные, которые имеют более длительный срок службы до 15 лет. Решение о выборе коронок принимается пациентом совместно с лечащим врачом, учитывая их возможности и мнение специалиста.

image

Изготовление временной коронки на имплант прямым методомИзготовление временной коронки на имплант прямым методом
Ссылка на основную публикацию
Похожие публикации