Протезирование передних зубов

Потеря передних зубов является настоящей трагедией для каждого человека, вызывая неуверенность, дискомфорт и иногда даже глубокую депрессию. Эксперты утверждают, что восстановление твердых тканей зубов с учетом фонетических особенностей речи и эстетических требований является сложной процедурой.

Описание процедуры

В стоматологических клиниках существуют различные варианты протезирования передних зубов, которые предлагаются пациентам в случае невозможности восстановления зубов с помощью пломбировочных материалов или виниров. Эти варианты, такие как коронки и мостовые протезы, отличаются высокими эстетическими свойствами и функциональностью.

Стоматологи, приступая к процессу протезирования, ставят перед собой две основные задачи: восстановление жевательных функций и эстетической привлекательности. Особое внимание уделяется передним зубам, которые считаются визитной карточкой человека. Часто процедуры протезирования проводятся с целью улучшения косметических характеристик, таких как дефекты, цвет и форма зубов. Специалисты стремятся удовлетворить требования по прозрачности, светоотражающей способности и форме, чтобы достичь желаемой эстетической привлекательности. Важно также учитывать, чтобы протезы не подвергались заболеваниям в будущем.

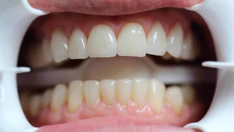
Сегодняшние популярные протезные конструкции включают металлокерамические, безметалловые, виниры, имплантаты и другие виды протезов. Вы можете ознакомиться с различными вариантами протезирования передних зубов на фотографиях до и после процедуры.

image

Коронки из металлокерамики на передние зубы

Коронка из металлокерамики, которая устанавливается на передние зубы, является одним из типов зубных протезов. Это изделие полностью заменяет естественные передние зубы и имеет эстетичный внешний вид. Она состоит из прочного металлического каркаса, который покрыт керамикой для достижения высокой эстетичности. На фото выше можно рассмотреть пример протезирования передних верхних зубов для ознакомления.

Показания

Подробнее рассмотрим ситуации, когда требуется протезирование передних нижних зубов. Протезирование передних зубов может потребоваться в следующих случаях:

  • Повреждения, такие как сколы, трещины и другие проблемы.
  • Необходимость реставрации из-за кариеса.
  • Заметная стертость эмали.
  • Отсутствие одного или нескольких зубов.
  • Проблемы, возникшие в результате неправильного протезирования или неправильного прикуса.
  • Желание улучшить эстетический вид зубов.

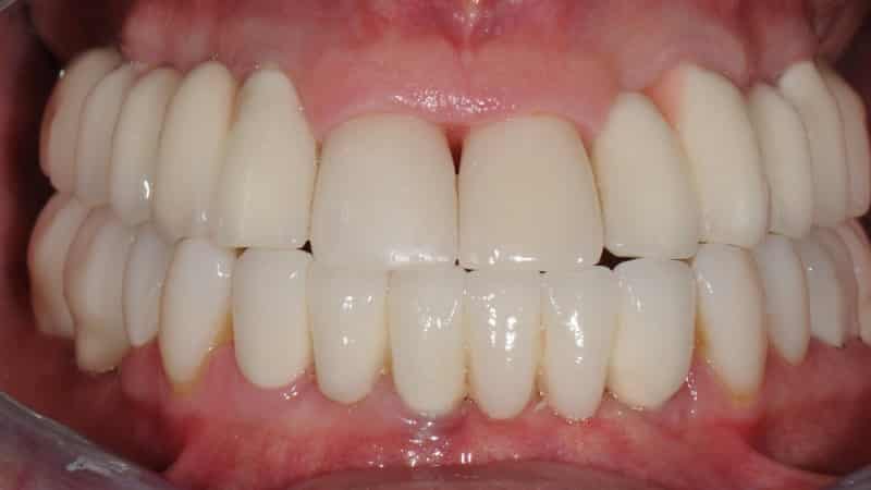
При протезировании передних зубов могут использоваться коронки из металлокерамики или керамики. Эти материалы обладают определенными требованиями к применению, особенно в отношении прочности и эстетического вида, что особенно важно для передних и жевательных зубов. Например, протезирование передних нижних зубов металлокерамикой в одном мосту позволяет восстановить несколько зубов, что невозможно с другими протезными конструкциями. Желтые или стальные коронки редко используются, если пациент не имеет особых требований к эстетическому виду.

Если отсутствуют жевательные зубы, рекомендуется использовать коронки из металлокерамики. Одиночные конструкции могут быть установлены в случаях, когда корень зуба сохранен или наличествуют имплантаты. Если корень зуба сохранен, его следует пролечить и частично восстановить коронковую часть, а затем зафиксировать протез. Для прочного крепления коронки можно использовать штифт с обточкой культи или культевую вкладку. Штифты и вкладки изготавливаются из металла.

Строить протезы на имплантатах позволяет избежать препарирования соседних зубов, что является преимуществом. Кроме того, успешно проводится протезирование с использованием имплантатов и последующей фиксацией коронки. Также пациентам может быть предложено восстановление с помощью мостовидного протезирования.

image

Противопоказания

Протезирование передних зубов может иметь противопоказания, особенно при использовании металлокерамики из-за наличия металла в ее составе. Однако, безметалловое протезирование практически не имеет ограничений. У некоторых пациентов может возникнуть аллергическая реакция на металлическую основу конструкции, но в основном она изготавливается из биоэнергетического металлического сплава, который не ржавеет и не вызывает окислительной реакции. В случае аллергии рекомендуется использовать конструкции с цирконием или золотом.
После установки протеза могут возникнуть следующие проблемы:

  • появление синюшности в десневом крае через некоторое время или непосредственно после установки, обусловленное основой;
  • металлокерамические конструкции в отдельных случаях могут отличаться от естественных зубов, но в мостовидных протезах такая проблема отсутствует.

Преимущества металлокерамических и безметалловых коронок

Прогрессивные технологии позволяют создавать протезы на передние зубы верхнего и нижнего ряда, которые полностью неотличимы от естественных. Основные преимущества таких протезов включают:

  • Использование материалов, которые обеспечивают превосходные эстетические свойства. Металлокерамические коронки, например, имеют великолепный внешний вид.
  • Прочность и долговечность.
  • Способность выдерживать большие нагрузки.
  • Отсутствие повреждений.
  • Доступная стоимость, позволяющая многим пациентам получить такие протезы.
  • Длительное сохранение блеска.
  • Устойчивость к воздействию пищи.
  • Отсутствие стирания при приеме пищи.
  • Легкий уход.

При соблюдении гигиены срок службы таких протезов может превышать пятнадцать лет. Если имеются небольшие дефекты, металлокерамические коронки могут использоваться для протезирования двух отсутствующих передних зубов. Для достижения высокого эстетического и функционального эффекта в области моляра и премоляра может применяться бюгельный протез. Однако следует отметить, что установка металлокерамических коронок имеет некоторые недостатки, такие как необходимость сильного сошлифовывания твердой ткани до 2 мм с каждой стороны. В некоторых случаях также может потребоваться депульпирование зубов.

Важно правильно выполнить процедуру, чтобы избежать повреждения пульпы, которое может привести к воспалительным процессам и необходимости повторного протезирования.

Для передних зубов одним из лучших вариантов протезирования являются безметалловые коронки, изготовленные из высокопрочной керамики. Они обладают высокой эстетичностью, не сколачиваются и не меняются со временем, легко подбираются по цвету и имеют долгий срок службы. Однако их стоимость выше, чем у металлокерамических конструкций в два или три раза.

image

Подготовка

Пациентам предварительно проводится осмотр полости рта и снимаются рентгеновские снимки. При необходимости, проводится лечение, включая проверку качества установленных пломб. Если пломбы находятся в плохом состоянии, каналы прочищаются и пломбирование повторяется. Затем выполняется депульпация, что является неотъемлемой процедурой перед протезированием. В случае разрушенного зуба, устанавливается штифт или культевая вкладка.

Установка

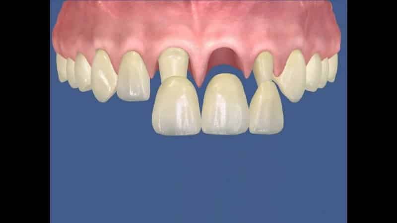
В процессе установки мостовидного протеза необходимо выполнить обточку зуба для создания опоры для коронки. После этого производится снятие слепка с челюсти, который отправляется в лабораторию для изготовления коронки или мостовидного протеза. Во время изготовления конструкций на обточенные зубы временно устанавливаются протезы, чтобы защитить обнаженные ткани и восстановить эстетику. После первоначальной готовности коронки без покрытия проводится примерка для внесения изменений, коррекции формы и подбора цвета. Затем конструкцию покрывают глазурью и фиксируют на зуб стоматологическим цементом.

image

Рекомендации стоматологов

Современные достижения в стоматологии позволяют пациентам заменить один или несколько передних зубов, восстанавливая их эстетический и функциональный вид, при этом не нанося вреда соседним зубам.
Современная стоматология предлагает возможность замены передних зубов без негативного влияния на соседние зубы.
Пациенты, которые выбирают металлокерамические или керамические конструкции, могут наслаждаться комфортом и привлекательным внешним видом на долгое время.
Ведущие специалисты рекомендуют использовать два типа коронок для восстановления передних зубов: металлокерамические и безметалловые. Однако, важно правильно выбрать опытного и квалифицированного стоматолога, а также клинику с современным оборудованием и материалами для достижения наилучших результатов.

image

Безметаловая керамика.aviБезметаловая керамика.avi
Ссылка на основную публикацию
Похожие публикации