С каждым годом современные технологии в стоматологии предоставляют пациентам возможность получить высококачественную помощь от профессионалов. Однако, стоимость стоматологических услуг постоянно растет, и не каждый пациент может себе позволить оплатить их. В интернете можно найти множество статей и рекомендаций о стоматологической помощи. Одним из популярных подходов стало лечение кариеса народными средствами в домашних условиях, что является эффективным решением данной проблемы.
Лечение кариеса в домашних условиях
Здоровые зубы и красивая улыбка играют важную роль в общем здоровье. Однако, если вы не уделяете достаточно внимания своим зубам, кариес может поражать не только эмаль, но и зубы. Чтобы предотвратить развитие кариеса и сохранить зубы, необходимо незамедлительно начать лечение. Если вы заметили легкое потемнение эмали, можно попробовать использовать народные средства для остановки заболевания.
Важно не затягивать болезнь и регулярно и методично проводить лечение кариеса народными методами, чтобы вернуть зубам здоровый блеск и красоту. Однако, перед тем как приступить к самостоятельному лечению, необходимо определить стадию болезни и предотвратить дальнейшее разрушение эмали. Если вы откладываете визит к стоматологу и самолечение приводит к осложнениям, то пульпит или периодонтит заставят вас обратиться к врачу немедленно.
Иногда пациенты на начальной стадии болезни пытаются самостоятельно удалить кариес и отшлифовать зуб металлическим предметом или использовать химические средства. Однако такое нестандартное лечение народными методами может привести к дополнительному повреждению эмали, зубов и мягких тканей во рту, а в некоторых случаях может потребоваться срочная помощь и хирургическое вмешательство.
Поэтому перед применением нетрадиционных методов лечения рекомендуется обратиться к опытному стоматологу. Врач проведет диагностику и назначит необходимое лечение, основываясь на вашем конкретном случае.
В данной статье вы найдете подробную информацию о том, как лечить кариес зубов в домашних условиях. Можно ли безболезненно устранить белесоватые пятна на эмали и избежать неожиданных осложнений.
Как избавиться от кариеса народными средствами
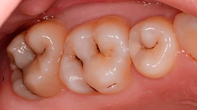
Кариес обычно можно заметить невооруженным глазом. Если вы хотите попробовать лечить его дома, вам следует обратить внимание на следующие признаки:
- зуб не должен реагировать на изменения температуры воды и воздуха;
- кариес не должен выглядеть как потемневшее пятно;
- кариес должен выглядеть как белесоватое и гладкое пятно, которое не меняется в течение длительного времени.
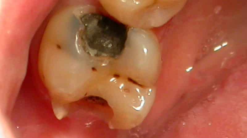
Однако, если эмаль разрушена и в зубе есть отверстие, самолечение дома категорически не рекомендуется. Это только усугубит симптомы и потребует обращения к врачу. Иногда маленькие темные пятна, которые не вызывают беспокойства, могут быть признаком ретроградного кариеса. В таких случаях, попытка очистить эти пятна механическим путем (например, с помощью наждачной бумаги или напильника) может привести к дальнейшему разрушению эмали.
В конечном итоге, вы заметите, что очищенное место не восстанавливается, а эмаль продолжает разрушаться. Ваши зубы начнут реагировать на изменения температуры. Все эти неправильные механические воздействия могут привести к серьезным проблемам. Решить их сможет только опытный врач, который, используя современную стоматологическую технику и медицинские препараты, сможет быстро, качественно и безболезненно избавить вас от любых стоматологических проблем.
Лечение кариеса с применением нетрадиционной медицины
Всегда лучше предупредить развитие заболевания, чем потом справляться с его последствиями. Если вы заметили белесоватое пятно на зубах, это означает начало разрушения зубной эмали — кариес. Но если ваш бюджет не позволяет обратиться к опытному стоматологу, вы можете попробовать вылечить его народными средствами. Главное — начать лечение сразу, регулярно и направить его на полное восстановление эмали. Если кариес уже поразил глубокие слои зубной ткани, то лечение народными методами будет бесполезным, и вам потребуется срочная помощь стоматолога. Чтобы предотвратить появление кариеса, необходимо соблюдать ежедневную профилактику зубов:
- регулярно чистить зубы с использованием профилактической или лечебной зубной пасты, а также применять зубную нить, если возможно;
- использовать восстановительные гели с минеральными компонентами, которые помогут минерализовать поврежденные участки эмали;
- ограничить потребление сладких продуктов;
- избегать использования металлических предметов, таких как игла, наждачная бумага или скребок, для воздействия на зубы;
- полоскать рот зубным эликсиром или использовать жевательную резинку без сахара после еды, если возможно;
- включать в рацион питания фрукты, овощи и продукты, богатые кальцием.
Чем может навредить народная медицина
Если ваш зуб поражен кариесом, эмаль трескается и появляются черные полосы, необходимо тщательно разработать последовательные этапы лечения. Как избавиться от кариеса на зубах в домашних условиях? Прежде всего, лечение следует проводить у стоматолога, так как небольшой кариес может привести к серьезным осложнениям, а народные методы лечения будут бесполезными.
Не всегда лечение народными методами может помочь избавиться от кариеса, а скорее всего оно усложнит ситуацию. Мы не рекомендуем вам:
- смазывать зубы медом, так как это только усилит их разрушение;
- полоскать рот спиртными настойками, такие действия только повредят слизистую оболочку;
- использовать перекись водорода, так как она не отбеливает потемневшие участки, а только усиливает разрушение зубных тканей;
- прополис не обладает лечебными свойствами, а только создает благоприятную среду для размножения бактерий.
Тем не менее, если на эмали образовались белесые пятна, как их удалить? Как остановить кариес зубов? Может ли лечение в домашних условиях быть эффективным? В нашей статье вы найдете советы по использованию некоторых народных средств для лечения кариеса без особых затруднений и вреда для здоровья.
- Чеснок — отличное средство для временного снятия зубной боли.
- Камфорный спирт является эффективным средством для обработки поврежденного зуба и десны.
- Пихтовое масло поможет временно снять ноющую зубную боль.
- Настойка аира, смешанная с прополисом, поможет запломбировать эмаль путем полосканий.
Чем опасно самолечение
Перед тем, как приступить к самолечению с использованием народных методов, необходимо тщательно изучить каждый из препаратов, чтобы обеспечить эффективное лечение и остановить развитие болезни. Некоторые люди игнорируют предосторожностные меры и начинают самостоятельное лечение кариеса традиционными способами:
- удаляют кариес с помощью абразивных средств, таких как напильник или наждачная бумага. Это не только ухудшает состояние зубов, но и приводит к их дальнейшему разрушению;
- чистят кариес с использованием швейной иглы, что не дает положительного результата, а только повреждает зубы;
- отбеливают пигментацию с помощью хлорных препаратов, что является опасным для здоровья и может серьезно повредить слизистую оболочку полости рта;
- используют уксусную эссенцию для удаления зубной черноты, что не только не помогает, но и полностью разрушает эмаль и вызывает ожоги слизистой оболочки рта.
Все эти методы самолечения кариеса указывают на то, что рано или поздно человек может оказаться в стоматологическом кресле, а применение народной медицины не всегда дает положительный результат.
Тем не менее, при использовании народных методов необходимо быть крайне осторожным. Мы рекомендуем вам регулярно посещать стоматологический кабинет и не игнорировать советы опытных врачей. Врач поможет вовремя предотвратить хирургическое вмешательство, проведет исследование и диагностику болезни на ранней стадии, и примет необходимые меры.
Поэтому, прежде чем приступать к лечению народными методами, обратитесь к стоматологу. Современные стоматологические кабинеты оснащены современным оборудованием и медицинскими препаратами, а все лечебные процедуры абсолютно безболезненны. Посещение стоматолога вовремя поможет сохранить не только ваш семейный бюджет, но и ваше здоровье. Ведь красивая улыбка и здоровые зубы — это залог вашего благополучия.






