Коронки на передние зубы: виды и технологии

Зубные коронки являются одним из популярных и широко используемых методов протезирования при повреждении, дефектах или травмах зубов. Они отличаются по типам, процессу подготовки и установке. Однако, в некоторых случаях, такие конструкции могут вызывать определенные осложнения после протезирования. Чтобы избежать проблем, важно ознакомиться с различными видами зубных коронок и отзывами пациентов.

Коронки передние на зубы

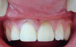
Коронки, предназначенные для передних зубов, должны быть не только прочными, но и эстетичными, согласно экспертам. Современные стоматологические технологии позволяют пациентам выбирать между различными вариантами коронок на передние зубы, включая металлические и безметалловые. Протезисты устанавливают оптимальные типы коронок, учитывая индивидуальные особенности ротовой полости пациентов. Однако, как правило, для передних зубов не используются металлические конструкции из-за их недостаточной эстетичности. Вместо этого, наиболее распространены металлокерамические и безметалловые коронки.

image

Особенности по видам

Протезирование зубов может быть необходимо как при отсутствии одного или нескольких зубов, так и при наличии всех зубов. Причинами для протезирования могут быть травма, обширный кариес, дефекты формы и цвета, а также другие проблемы. Для протезирования используются коронки, которые крепятся на сохраненные корни и позволяют исправить проблемы и придать зубам привлекательный вид. Кроме того, коронки выполняют защитные функции при патологической истираемости эмали, а временные конструкции помогают удерживать расшатанные зубы до их восстановления. Ортодонты предлагают пациентам различные виды коронок, включая керамические, пластмассовые и временные, которые изготавливаются из разных материалов и имеют свои преимущества и недостатки.

Керамические коронки

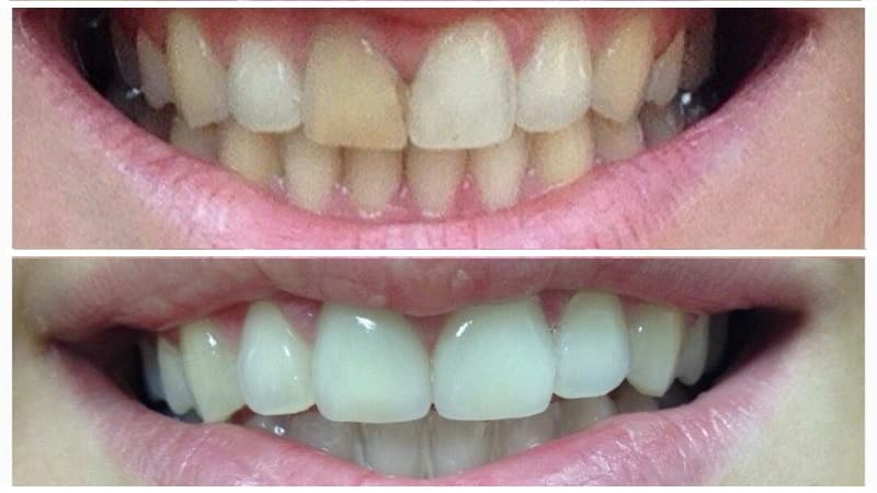
Керамические коронки на передние зубы могут быть разделены на несколько типов, которые можно рассмотреть на фотографиях до и после. Одни из самых популярных вариантов — коронки из циркония и фарфора. Циркониевые коронки изготавливаются из безметаллического материала и обладают высокой эстетичностью, прочностью и биологической совместимостью с тканями ротовой полости. Фотографии до и после установки циркониевых коронок на передние зубы позволяют пациентам получить представление о продукте, каркас которого создается с использованием компьютерного высокоточного фрезерования.

Цирконий — это белый, непрозрачный материал, который отличается долговечностью и высоким качеством. Основные преимущества циркониевых коронок включают возможность точной подборки цветовых оттенков, гипоаллергенность, использование для восстановления передних зубов, отсутствие темных краев в области десны и высокую прочность.

Сейчас можно найти много фотографий и отзывов о коронках из циркония на передние зубы от специалистов, которые наглядно демонстрируют высокое качество работы в различных местах установки. Важным преимуществом этих коронок перед фарфоровыми и другими конструкциями является возможность их установки как на передние, так и на боковые жевательные зубы. Фарфоровые коронки, в свою очередь, используются только для передних зубов, но они не уступают циркониевым по эстетическим свойствам.

Использование оксида циркония в стоматологии относится к новым, высокотехнологичным методам протезирования, которые удовлетворяют самым взыскательным требованиям пациентов. Керамические изделия с использованием оксида циркония обеспечивают высокую эстетику благодаря светопроницаемому каркасному колпачку. Установка таких изделий осуществляется с максимальной точностью благодаря компьютерным технологиям. Они не требуют маскировки металлического каркаса и оказывают меньшую нагрузку на опорные зубы из-за своего небольшого веса. Фотографии безметаллической керамики на передние зубы позволяют увидеть эстетическую красоту ротовой полости после установки.

image

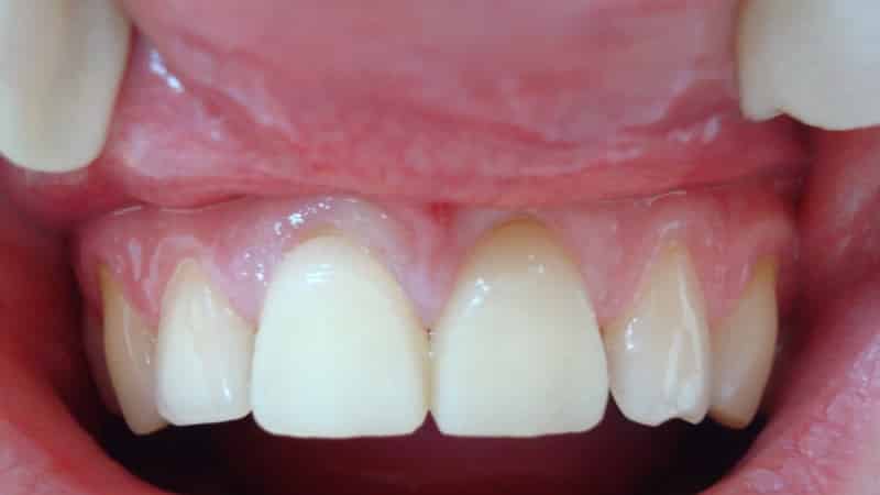
Коронки из пластмассы

Коронки из пластмассы обладают определенными преимуществами, однако они не так прочны и износостойки, как керамические и металлические изделия. Их изготовление происходит быстрее и проще, а стоимость ниже по сравнению с безметалловой керамикой и металлокерамикой. Пластмассовые коронки доступны пациентам с любым уровнем дохода и обеспечивают защиту обточенных зубов от холода и бактерий при временном использовании. Они также могут быть установлены после имплантации в ожидании постоянной конструкции. Однако следует учитывать, что коронки из пластмассы стираются быстрее, меняют цвет со временем и могут пятниться от красителей. Они также могут вызывать аллергические реакции и накапливать бактерии из-за пористой структуры. Острые края пластмассовых коронок могут травмировать мягкие ткани. Поэтому требуется более тщательный уход за такими коронками, и при появлении боли или других проблем следует обратиться к врачу.

image

Применение временных изделий

Используются изделия из пластмассы для временных коронок в следующих случаях:

  • Перед установкой постоянной коронки после обточки зуба.
  • После установки имплантата, на который позже будет надет постоянный протез.

Основная цель временных коронок — восстановление жевательных функций и эстетики зубов на время изготовления постоянной конструкции. Они также защищают обточенные зубы от агрессивных воздействий, размножения бактерий, травмирования и температурных перепадов. Временные коронки предотвращают зарастание десневого ложа, не смещают опорные зубы, сохраняют дикцию и обеспечивают комфорт пациентам. Их можно носить в течение месяца.

На фото выше можно увидеть временные коронки из пластмассы на передние зубы.

image

Показания и противопоказания к установке коронок на передние зубы из циркония, пластмасса

Коронки, включая безметалловые конструкции, применяются на передние зубы по различным причинам. Они могут использоваться для решения проблем, таких как кариозные процессы, которые приводят к разрушению коронок зубов, патологическая стираемость, некариозные патологии (эмалевая эрозия, гипоплазия), отсутствие одного или двух зубов, неэстетичный внешний вид, выравнивание и реставрация поврежденного зуба.

Однако, есть некоторые противопоказания для протезирования передних зубов безметалловыми коронками. Это включает хронические заболевания в остром периоде, воспаление ротовой полости, беременность, ослабленный организм после болезни, выраженный остеопороз, аллергические реакции, а также не рекомендуется устанавливать их детям и подросткам до 16 лет, при наличии неправильного прикуса или расшатанного зуба.

Минусы коронки на передние зубы

Керамические коронки на передние зубы пользуются большой популярностью среди пациентов, и в большинстве случаев они получают положительные отзывы. Установка коронок проходит безболезненно с применением анестезии и вызывает лишь незначительный дискомфорт после процедуры. Однако, существует риск осложнений, если установка коронок была выполнена неправильно. Например, неправильное пломбирование может привести к появлению гнойников на десне, кровотечению десен и образованию флюса. Чтобы избежать таких проблем, рекомендуется обратиться в несколько клиник, ознакомиться с работами врачей и пообщаться с пациентами во время приема. Также стоит учесть, что керамические коронки имеют высокую стоимость, что является их недостатком.

image

https://www.youtube.com/watch?v=E0dBVXhyasg

Ссылка на основную публикацию
Похожие публикации