Металлокерамика на передние зубы: фото до и после установки

В современной стоматологии существует множество методов восстановления передних зубов, но выбор конструкций должен быть осознанным из-за их высокой видимости. Если невозможно восстановить зубы с помощью стоматологических материалов или если они полностью утрачены, альтернативным вариантом является использование коронок металлокерамики.

Металлокерамика на передние зубы –виды

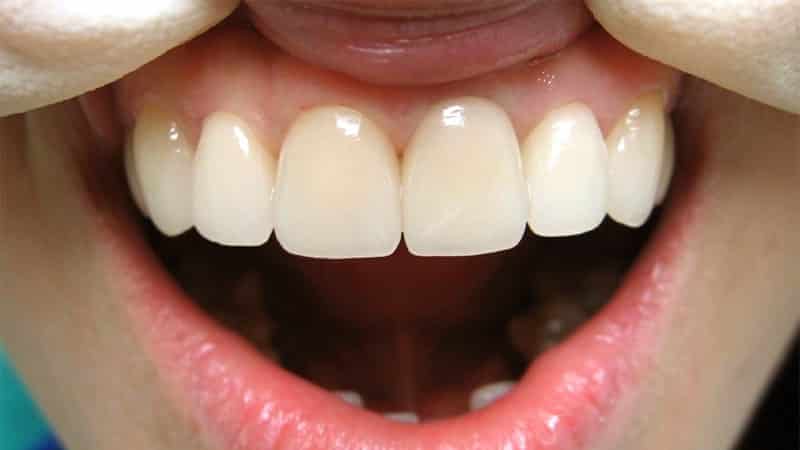
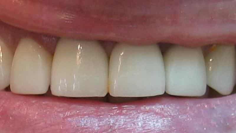
Металлокерамическая коронка широко используется в несъемных протезах. Каркас изготавливается из различных металлов, а на него наносится керамика в нескольких слоях, после чего происходит обжиг. Фотографии до и после применения металлокерамических коронок на передних зубах позволяют рассмотреть различные варианты.
Металлокерамические коронки обладают высокими эстетическими свойствами, прочностью и доступной стоимостью благодаря использованию передовых технологий. Они идеально подходят для восстановления жевательных зубов, несмотря на высокую нагрузку и износ. Популярность металлокерамики позволяет специалистам проводить различные эксперименты и внедрять новшества для обеспечения комфортного использования в будущем.
На сегодняшний день существуют два вида металлокерамических коронок: с использованием неблагородных и драгоценных металлов. В первом случае они имеют низкую стоимость и простоту изготовления. Металлический каркас может быть выполнен из хрома, кобальта, никеля или их сплавов. Хромовые и кобальтовые коронки считаются наиболее прочными и долговечными.

Использование прочных сплавов обеспечивает длительный срок службы коронки. При правильном изготовлении они могут прослужить более десяти лет.
Несмотря на преимущества, у металлокерамических коронок также есть недостатки, такие как низкая биологическая совместимость у некоторых пациентов и возможность возникновения аллергических реакций. В течение времени ношения могут появиться отечность, гиперемия пародонта, болевые ощущения и распирание. Места, где находятся искусственные образования, могут вызывать потемнения на десне из-за окисления. Керамические коронки с драгоценными металлами, особенно с золотом, считаются наиболее популярными. Они обладают антисептическими свойствами, предотвращающими воспалительные процессы в мягких тканях, и не вызывают аллергических реакций. Золото обладает высокой пластичностью и устойчивостью к нагрузкам, а его легкое желтоватое просвечивание через искусственный слой эмали придает зубам естественный вид. Однако прочность золота значительно ниже, чем у неблагородных металлов, и поэтому срок службы и гарантия составляют не более пяти лет. Также стоимость материала является значительным недостатком.
Фотографии до и после применения металлокерамики на передних зубах наглядно демонстрируют различные конструкции с использованием драгоценных и неблагородных металлов для сравнения.

image
image

Подготовка и установка

Для проведения протезирования необходимо сначала выполнить рентгенологическое исследование, чтобы убедиться, что нет воспалений и пломбы в зубных каналах установлены качественно. Если обнаружены какие-либо дефекты, проводится лечение, включающее очищение и заполнение каналов пломбировочным материалом. Депульпирование считается обязательной процедурой для передних зубов, но не так важной для задних зубов, у которых есть несколько корней. Затем врач занимается лечением зубов с устаревшими пломбами, заменяя их новыми. Если зуб разрушен наполовину, устанавливаются штифты и производится наращивание. Также проводятся другие лечебные и профилактические процедуры, включая обтачивание зубов. Затем протезист делает слепок и отправляет его в лабораторию.

Во время изготовления индивидуальной металлокерамической коронки пациенту надевают временные пластмассовые конструкции, чтобы защитить обнаженные ткани и обеспечить эстетичность внешнего вида.
Цвет коронок подбирается максимально приближенным к естественным зубам. Конструкцию примеряют без глазури, чтобы внести корректировки по форме и цвету, после чего проводится глазирование. Готовое изделие прикрепляют специальными клеящими составами.

Протезирование передних зубов металлокерамикой

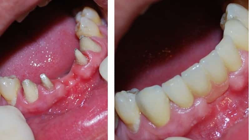
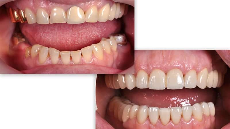
При потере передних зубов пациент осознает важность этой проблемы. Ведь передние зубы являются визитной карточкой каждого человека, и красота улыбки может играть ключевую роль во всех важных моментах жизни. Для тех, кто столкнулся с отсутствием или серьезным повреждением передних зубов, вопрос протезирования металлокерамикой имеет большое значение.
Фотографии до и после протезирования металлокерамикой наглядно демонстрируют правильную и красивую технику выполнения. Процедура должна воссоздать функции, форму, цвет и эстетику десны.

Металлокерамические коронки отлично имитируют натуральный оттенок ткани и структуру зуба.
Для протезирования передних зубов используется керамика цельной формы или на каркасе, изготовленном из материалов, таких как диоксид, цирконий или оксид. Это связано с тем, что неблагородные металлы могут просвечивать сквозь керамическое покрытие и создавать нежелательный эстетический эффект. Протезирование металлокерамикой двух отсутствующих передних зубов является распространенным методом благодаря приемлемой стоимости и эстетичности. Однако перед протезированием необходимо сильно обработать зубные ткани, провести депульпацию и пломбирование, а также удалить нерв.

image

Показания

Металлокерамические коронки считаются универсальными и могут быть использованы в различных случаях, однако это мнение неверно и может иметь негативные последствия. Перед установкой таких коронок необходимо проконсультироваться с лечащим врачом. Основные показания для установки металлокерамических коронок включают: существенные дефекты передних зубов, кариозное и некариозное поражение, патологии эмали и дентина, увеличенное стирание твердых тканей, аллергические реакции на пластмассу в облицовке несъемного протеза. Одним из частых показаний для применения металлокерамических протезов является аллергическая реакция на пластмассу в облицовке несъемного протеза. Важным условием при установке коронок является достаточная толщина зубных стенок, соответствующая показаниям. Если стираемость зубов слишком высока, это может привести к потере нескольких зубов за короткое время. В таких случаях рекомендуется немедленно принять радикальные меры, включая использование металлокерамических коронок. Также следует учесть, что коронки имеют определенную форму, что позволяет избежать травмирования пульпы и не требует последующего вскрытия полости зуба.

image

Противопоказания

Установка металлокерамических коронок имеет свои противопоказания, которые важно учитывать. Абсолютные противопоказания включают:

  • зубы с тонкими стенками или плоской формой, а также мелкие коронки опорных единиц;
  • протезирование с живой пульпой зуба у детей и подростков;
  • отсутствие трех или более зубов;
  • наличие тяжелого пародонтита.
    Относительные противопоказания, которые могут быть устранены или частично устранены со временем, включают:
  • небольшие коронки и наличие живой пульпы в резцах нижней челюсти;
  • аномалии прикуса;
  • повышенная стираемость твердых зубных тканей.

При осмотре специалист может также обнаружить другие противопоказания, которые могут помешать проведению протезирования.

Преимущества

Коронки металлокерамики имеют несколько преимуществ. Во-первых, они обеспечивают высокую эстетику и максимально приближаются к натуральному виду зубов. Кроме того, они идеально прилегают к десне, что предотвращает попадание пищи и снижает риск развития кариеса. Функциональность коронок также на высоком уровне, они обеспечивают отличное пережевывание пищи. Еще одно преимущество металлокерамических коронок — их долговечность. Они превосходят современные виды протезов и могут служить более 15 лет. Кроме того, металлокерамика является гигиенической конструкцией, так как на ней меньше оседает микробов по сравнению с металлом или зубными тканями. И наконец, металлокерамические коронки эффективно используются, когда другие методы коррекции зубных форм не дают результатов.

image

Ссылка на основную публикацию
Похожие публикации