Цельнолитые коронки

Современная стоматология стремительно развивается, и сейчас есть возможность восстановить даже сильно поврежденные зубы. Одним из самых простых методов является установка коронки. В стоматологических клиниках предлагается широкий выбор таких протезов. Как определиться с выбором и не запутаться во всем многообразии?

Какие существуют виды коронок

Керамические коронки изготавливаются из фарфоровой основы и не имеют металлического каркаса. Внешне они очень похожи на естественную зубную эмаль и обладают светоотражающими свойствами. Однако они имеют высокую стоимость и не подходят для мостовидных конструкций. Некоторые пациенты жалуются на откалывание керамики, особенно если они постоянно употребляют твердую пищу. Существуют также протезы на циркониевом каркасе, покрытые фарфоровой массой, которые являются одним из самых современных видов зубных коронок. Они хорошо прилегают к десне и достаточно прочные, но их стоимость довольно высока.

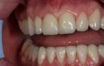
Цельнолитые коронки являются одними из самых популярных и доступных видов протезов. Они изготавливаются из одного материала и обладают хорошей имитацией натуральной эмали. Они не меняют цвет и не блекнут под воздействием пищевых кислот. Однако у них есть недостатки, такие как возможное оголение металлического каркаса в процессе эксплуатации. Они также могут иметь сколы и трещины со временем, а металлический каркас может просвечиваться, что делает их непригодными для зоны улыбки. Они подходят для временного протезирования и имеют доступную стоимость.

Выбор коронок зависит от личных предпочтений каждого человека. Некоторым важна стоимость, а другим важна эстетическая сторона. Однако высокая стоимость не всегда гарантирует долговечность коронки. Также важен профессионализм стоматолога.

Цельнолитые коронки являются самыми популярными и доступными для простых людей зубными протезами.

image

Материалы для изготовления

Металлические цельнолитые протезы широко применяются для сохранения или восстановления жевательных функций челюстного аппарата. Они изготавливаются методом одномоментного цельного литья из высокопрочных металлов, что позволяет не соединять их друг с другом. Для повышения прочности таких протезов обычно используется сплав хрома с никелем или кобальтом. Тем не менее, для изготовления зубных протезов также отлично подходит титан. Этот металл не меняет своего цвета со временем и не реагирует на агрессивную среду во рту. Кроме того, титан безопасен для организма и не вызывает отторжения тканей. Некоторые пациенты могут захотеть нанести напыление из драгоценного металла, обычно золота, на свои протезы. Это позволяет обеспечить более плотное прилегание коронок и увеличить их срок службы. Однако, стоимость таких протезов может быть довольно высокой, поэтому не все пациенты могут себе позволить такую опцию.

image

Какие бывают виды цельнолитых коронок

Современные стоматологические технологии позволяют использовать различные виды цельных коронок, включая:

  • Коронки, изготовленные из металлических сплавов и тщательно отполированные, без напыления.
  • Зубные коронки из металла с напылением благородных металлов, таких как платина, золото или серебро.
  • Коронки с применением облицовки. Для улучшения внешнего вида коронки на их поверхности могут быть добавлены специальные керамические или пластмассовые накладки. Однако следует учесть, что такие коронки могут иметь сколы на облицовке и быть более дорогими.
  • Мостовидные протезы комбинированного типа, которые могут использоваться для одновременного протезирования передних и боковых зубов. При этом передние зубы могут быть облицованы для улучшения их внешнего вида, в то время как остальные зубы останутся металлическими.

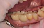
Этапы производства

Для получения качественной цельнолитой коронки необходимо пройти несколько этапов производства. Сначала проводится осмотр и санация ротовой полости, а затем делается слепок зуба, который требует протезирования. Стоматологи используют безопасные слепочные массы из силикона, которые точно отображают анатомические особенности челюстного аппарата. Для комфорта пациентов и привыкания к протезам, им устанавливают временные коронки. Затем создается гипсовая модель будущего протеза, на основе которой изготавливают восковую заготовку, затем заменяемую на металлический сплав.
На втором этапе производится санация и подготовка ротовой полости для установки цельнолитых коронок. Зубы шлифуются, чтобы протезы плотно и точно прилегали. Затем протез одевается на зуб, а лишний воск удаляется через отверстия. Протез осматривается врачом и отправляется на доработку при необходимости.
На третьем этапе происходит примерка изделия, чтобы убедиться, что оно идеально подходит. Если есть неточности или несоответствия, коронка возвращается в лабораторию для доработки. После этого протез фиксируется при помощи специального цемента. Пациенты не должны испытывать неприятных ощущений и их жевательные функции не должны быть ограничены. Изготовление цельнолитой коронки может занять больше месяца, так как требуется внимательность и точность на всех этапах процесса.

image
image

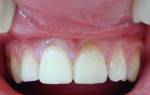
Преимущества цельнолитых конструкций

Цельнолитые коронки представляют собой более превосходную альтернативу штампованным протезам, которые ранее были популярны, но сейчас практически не используются. Штамповка протезов осуществлялась с помощью специальных гильз, которые надевались на столбик, похожий на человеческий зуб. Затем гильзу простукивали, чтобы придать ей форму зуба. Однако такие протезы были неточными и могли неплотно прилегать к челюстным элементам, что приводило к загниванию тканей зубов. Кроме того, штампованные мостовидные протезы соединялись друг с другом с помощью спайки, что сокращало их срок службы и часто вызывало воспалительные процессы на слизистых оболочках ротовой полости из-за применения разных металлов.

В отличие от штампованных протезов, цельнолитые коронки имеют множество преимуществ:

  • Длительный срок службы, превышающий десятилетия. При их изготовлении учитываются анатомические особенности челюсти пациента, что обеспечивает плотное прилегание протеза к поверхности зуба и предотвращает попадание пищи под протез.
  • Мостовидные конструкции изготавливаются без спаек методом цельного литья, что также обеспечивает длительный срок службы.
  • Для протезирования жевательных зубов наиболее предпочтительны цельнолитые элементы.
  • При установке цельнолитых коронок зубная ткань сокращенно шлифуется по сравнению с установкой металлокерамических протезов.
  • Цельнолитые коронки изготавливаются относительно недорого.

Таким образом, цельнолитые коронки являются более эстетичным, долговечным и экономически выгодным вариантом протезирования, особенно для жевательных зубов.

image

Недостатки цельнолитых конструкций

Цельнолитые коронки для жевательных зубов имеют свои преимущества, но также сопровождаются некоторыми недостатками. Например, при использовании для протезирования передних зубов они могут выглядеть неэстетично. Кроме того, из-за твердой поверхности такого протеза противоположные зубы могут быстро стираться. Изготовление цельнолитых коронок требует времени, а также они могут вызывать металлический привкус во рту и быть противопоказаны при аллергических реакциях на металлы. Кроме того, их нельзя использовать, если есть риск повреждения здорового зуба или при наличии Заболевания Брукса, которое сопровождается сжатием челюсти, скрежетом и быстрым стиранием зубов. Процедура протезирования с использованием цельнолитых коронок является довольно дорогостоящей, поэтому выбор таких коронок должен быть осознанным, учитывая не только их стоимость, но и надежность и эстетичность.

Ссылка на основную публикацию
Похожие публикации